相关产品推荐更多 >
万千商家帮你免费找货
0 人在求购买到急需产品
- 详细信息
- 文献和实验
- 技术资料
- 免疫原:
Recombinant protein encompassing a sequence within the center region of human STX17. The exact sequence is proprietary.
- 亚型:
IgG
- 形态:
Liquid
- 保存条件:
Store as concentrated solution. Centrifuge briefly prior to opening vial. For short-term storage (1-2 weeks), store at 4ºC. For long-term storage, aliquot and store at -20ºC or below. Avoid multiple freeze-thaw cycles.
- 克隆性:
Polyclonal
- 标记物:
Unconjugated
- 适应物种:
Human, Mouse, Rat
- 保质期:
12 months from the shipping date of the product.
- 抗原来源:
Human
- 目录编号:
GTX130212
- 级别:
Primary Antibodies
- 库存:
Available
- 供应商:
GeneTex
- 宿主:
Rabbit
- 应用范围:
WB, ICC/IF, IHC-P, IP
- 浓度:
1.33 mg/ml (Please refer to the vial label for the specific concentration.)
- 靶点:
STX17
- 抗体英文名:
STX17 antibody
- 抗体名:
STX17 抗体
- 规格:
100 μl/25 μl
| 规格: | 100 μl | 产品价格: | ¥4000.0 |
|---|---|---|---|
| 规格: | 25 μl | 产品价格: | ¥1700.0 |
Wild-type (WT) and STX17 knockout (KO) HeLa cell extracts (30 μg) were separated by 12% SDS-PAGE, and the membrane was blotted with STX17 antibody (GTX130212) diluted at 1:1000. The HRP-conjugated anti-rabbit IgG antibody (GTX213110-01) was used to detect the primary antibody.
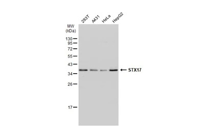
Various whole cell extracts (30 μg) were separated by 12% SDS-PAGE, and the membrane was blotted with STX17 antibody (GTX130212) diluted at 1:1000. The HRP-conjugated anti-rabbit IgG antibody (GTX213110-01) was used to detect the primary antibody.
STX17 antibody detects STX17 protein by immunofluorescent analysis.
Sample: DIV9 rat E18 primary cortical neurons were fixed in 4% PFA at RT for 15 min.
Green: STX17 protein stained by STX17 antibody (GTX130212) diluted at 1:500.
Red: beta Tubulin 3/ Tuj1, stained by beta Tubulin 3/ Tuj1 antibody [GT886] (GTX631830) diluted at 1:500.
Blue: Fluoroshield with DAPI (GTX30920).
Non-transfected (–) and transfected (+) 293T whole cell extracts (30 μg) were separated by 12% SDS-PAGE, and the membrane was blotted with STX17 antibody (GTX130212) diluted at 1:5000. The HRP-conjugated anti-rabbit IgG antibody (GTX213110-01) was used to detect the primary antibody.
STX17 antibody detects STX17 protein by immunofluorescent analysis.
Sample: HeLa cells were fixed in 4% PFA at RT for 15 min.
Green: STX17 stained by STX17 antibody (GTX130212) diluted at 1:500.
Blue: Fluoroshield with DAPI (GTX30920).
Scale bar= 10 μm.
STX17 antibody detects STX17 protein at cytoplasm in mouse prostate by immunohistochemical analysis.
Sample: Paraffin-embedded mouse prostate.
STX17 antibody (GTX130212) diluted at 1:500.
Antigen Retrieval: Citrate buffer, pH 6.0, 15 min
风险提示:丁香通仅作为第三方平台,为商家信息发布提供平台空间。用户咨询产品时请注意保护个人信息及财产安全,合理判断,谨慎选购商品,商家和用户对交易行为负责。对于医疗器械类产品,请先查证核实企业经营资质和医疗器械产品注册证情况。
文献和实验Maharjan Y et al., Cell Commun Signal 2022 (PMID:36434621)
Wetzel L et al., Nat Commun 2020 (PMID:32532970)
Dai S et al., Autophagy 2017 (PMID:28613987)
技术资料暂无技术资料 索取技术资料







![FAAH antibody [C2C3], C-term](https://img1.dxycdn.com/2022/0328/127/0782880361184300453-14.jpg!wh200)


