相关产品推荐更多 >
万千商家帮你免费找货
0 人在求购买到急需产品
- 详细信息
- 文献和实验
- 技术资料
- 免疫原:
Recombinant protein encompassing a sequence within the C-terminus region of human ARID1A. The exact sequence is proprietary.
- 亚型:
IgG
- 形态:
Liquid
- 保存条件:
Store as concentrated solution. Centrifuge briefly prior to opening vial. For short-term storage (1-2 weeks), store at 4ºC. For long-term storage, aliquot and store at -20ºC or below. Avoid multiple freeze-thaw cycles.
- 克隆性:
Polyclonal
- 标记物:
Unconjugated
- 适应物种:
Human, Mouse
- 保质期:
12 months from the shipping date of the product.
- 抗原来源:
Human
- 目录编号:
GTX129433
- 级别:
Primary Antibodies
- 库存:
Available
- 供应商:
GeneTex
- 宿主:
Rabbit
- 应用范围:
WB, ICC/IF, IHC-P, IP, ChIP assay
- 浓度:
0.53 mg/ml (Please refer to the vial label for the specific concentration.)
- 靶点:
ARID1A
- 抗体英文名:
ARID1A antibody
- 抗体名:
ARID1A 抗体
- 规格:
100 μl/25 μl
| 规格: | 100 μl | 产品价格: | ¥4000.0 |
|---|---|---|---|
| 规格: | 25 μl | 产品价格: | ¥1700.0 |
Various whole cell extracts (30 μg) were separated by 5% SDS-PAGE, and the membrane was blotted with ARID1A antibody (GTX129433) diluted at 1:1000. The HRP-conjugated anti-rabbit IgG antibody (GTX213110-01) was used to detect the primary antibody.
ARID1A antibody detects ARID1A protein at nucleus by immunofluorescent analysis.
Sample: HeLa cells were fixed in 4% PFA at RT for 15 min.
Green: ARID1A stained by ARID1A antibody (GTX129433) diluted at 1:500.
Red: alpha Tubulin, a cytoskeleton marker, stained by alpha Tubulin antibody [GT114] (GTX628802) diluted at 1:1000.
Scale bar= 10μm.
ARID1A antibody detects ARID1A protein at nucleus by immunohistochemical analysis.
Sample: Paraffin-embedded human lung cancer.
ARID1A stained by ARID1A antibody (GTX129433) diluted at 1:500.
Antigen Retrieval: Citrate buffer, pH 6.0, 15 min
ARID1A antibody detects ARID1A protein at nucleus on human endometrial carcinoma by immunohistochemical analysis.
Sample: Paraffin-embedded human endometrial carcinoma.
ARID1A antibody (GTX129433) diluted at 1:500.
Antigen Retrieval: Trilogy™ (EDTA based, pH 8.0) buffer, 15min
ARID1A antibody detects ARID1A protein by western blot analysis. Whole cell extracts (30 μg) was separated by 5% SDS-PAGE, and the membrane was blotted with ARID1A antibody (GTX129433) diluted by 1:1000.
ARID1A antibody detects ARID1A protein by Western blot analysis.
A. 30 μg HepG2 whole cell extract
B. 30 μg HepG2 nuclear extract
5 % SDS-PAGE
ARID1A antibody (GTX129433) dilution: 1:1000
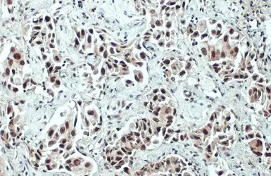
ARID1A antibody detects ARID1A protein at nucleus on human cervical carcinoma by immunohistochemical analysis.
Sample: Paraffin-embedded human cervical carcinoma.
ARID1A antibody (GTX129433) dilution: 1:500.
Antigen Retrieval: Trilogy™ (EDTA based, pH 8.0) buffer, 15min
ARID1A antibody immunoprecipitates ARID1A protein in IP experiments.
IP samples: HepG2 whole cell extract
A. Control with 4 μg of preimmune Rabbit IgG
B. Immunoprecipitation of ARID1A protein by 4 μg ARID1A antibody (GTX129433)
5 % SDS-PAGE
The immunoprecipitated ARID1A protein was detected by ARID1A antibody (GTX129433) diluted at 1:500.
[EasyBlot anti-rabbit IgG (GTX221666-01) was used as a secondary reagent]
风险提示:丁香通仅作为第三方平台,为商家信息发布提供平台空间。用户咨询产品时请注意保护个人信息及财产安全,合理判断,谨慎选购商品,商家和用户对交易行为负责。对于医疗器械类产品,请先查证核实企业经营资质和医疗器械产品注册证情况。
文献和实验Luca Pagliaroli et al., Nat Commun 2021 (PMID:34753942)
Sakuratani T et al., Virchows Arch 2020 (PMID:32789692)
Han L et al., Leukemia 2019 (PMID:30858552)
Takao C et al., Journal of Cancer 2017;8(1)
Zhiqiang Fu et al., Mol Cell Proteomics 2021 (PMID:33771697)
Kiminori Kurashima et al., NAR Cancer 2020 (PMID:34316685)
技术资料暂无技术资料 索取技术资料









![CD16 + CD32 antibody [FCR4G8] (FITC)](https://img1.dxycdn.com/2022/0328/751/0903764223054400453-14.jpg!wh200)
