相关产品推荐更多 >
万千商家帮你免费找货
0 人在求购买到急需产品
- 详细信息
- 询价记录
- 文献和实验
- 技术资料
- 免疫原:
Recombinant protein encompassing a sequence within the center region of human SNAI1. The exact sequence is proprietary.
- 亚型:
IgG
- 形态:
Liquid
- 保存条件:
Store as concentrated solution. Centrifuge briefly prior to opening vial. For short-term storage (1-2 weeks), store at 4ºC. For long-term storage, aliquot and store at -20ºC or below. Avoid multiple freeze-thaw cycles.
- 克隆性:
Polyclonal
- 标记物:
Unconjugated
- 适应物种:
Human, Mouse, Rat
- 保质期:
12 months from the shipping date of the product.
- 抗原来源:
Human
- 目录编号:
GTX125918
- 级别:
Primary Antibodies
- 库存:
Available
- 供应商:
GeneTex
- 宿主:
Rabbit
- 应用范围:
WB, ICC/IF, IHC-P, IHC
- 浓度:
0.68 mg/ml (Please refer to the vial label for the specific concentration.)
- 靶点:
SNAI1
- 抗体英文名:
SNAI1 antibody
- 抗体名:
SNAI1 抗体
- 规格:
100 μl/25 μl
| 规格: | 100 μl | 产品价格: | ¥4000.0 |
|---|---|---|---|
| 规格: | 25 μl | 产品价格: | ¥1700.0 |
Untreated (–) and treated (+) HeLa whole cell extracts (50 μg) were separated by 10% SDS-PAGE, and the membranes were blotted with SNAI1 antibody (GTX125918) diluted at 1:1000 and competitor's antibody (#3879) diluted at 1:1000. The HRP-conjugated anti-rabbit IgG antibody (GTX213110-01) was used to detect the primary antibody, and the signal was developed with Trident ECL plus-Enhanced.
*The competitor is not affiliated with GeneTex and does not endorse this product.
Untreated (–) and treated (+) HeLa whole cell extract (30 μg) were separated by 12% SDS-PAGE, and the membrane was blotted with SNAI1 antibody (GTX125918) diluted at 1:500. The HRP-conjugated anti-rabbit IgG antibody (GTX213110-01) was used to detect the primary antibody.
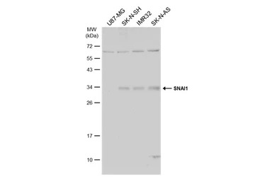
Various whole cell extracts (30 μg) were separated by 12% SDS-PAGE, and the membrane was blotted with SNAI1 antibody (GTX125918) diluted at 1:500. The HRP-conjugated anti-rabbit IgG antibody (GTX213110-01) was used to detect the primary antibody, and the signal was developed with Trident femto Western HRP Substrate. Corresponding RNA expression data for the same cell lines are based on Human Protein Atlas program.
Various whole cell extracts (30 μg) were separated by 12% SDS-PAGE, and the membrane was blotted with SNAI1 antibody (GTX125918) diluted at 1:500. The HRP-conjugated anti-rabbit IgG antibody (GTX213110-01) was used to detect the primary antibody, and the signal was developed with Trident ECL plus-Enhanced.
SNAI1 antibody detects SNAI1 protein at nucleus and cytosol on human breast carcinoma by immunohistochemical analysis.
Sample: Paraffin-embedded human breast carcinoma.
SNAI1 antibody (GTX125918) dilution: 1:500.
Antigen Retrieval: Trilogy™ (EDTA based, pH 8.0) buffer, 15min
Non-transfected (–) and transfected (+) 293T whole cell extracts (30 μg) were separated by 12% SDS-PAGE, and the membrane was blotted with SNAI1 antibody (GTX125918) diluted at 1:5000. The HRP-conjugated anti-rabbit IgG antibody (GTX213110-01) was used to detect the primary antibody.
Wild-type (WT) and SNAI1 knockout (KO) HeLa cell extracts (30 μg) were separated by 12% SDS-PAGE, and the membrane was blotted with SNAI1 antibody (GTX125918) diluted at 1:500. The HRP-conjugated anti-rabbit IgG antibody (GTX213110-01) was used to detect the primary antibody, and the signal was developed with Trident ECL plus-Enhanced.
SNAI1 antibody detects SNAI1 protein at cytoplasm and nucleus by immunofluorescent analysis.
Sample: HeLa cells were fixed in 4% PFA at RT for 15 min.
Green: SNAI1 protein stained by SNAI1 antibody (GTX125918) diluted at 1:1000.
Blue: Hoechst 33342 staining.
Scale bar = 10 μm.
风险提示:丁香通仅作为第三方平台,为商家信息发布提供平台空间。用户咨询产品时请注意保护个人信息及财产安全,合理判断,谨慎选购商品,商家和用户对交易行为负责。对于医疗器械类产品,请先查证核实企业经营资质和医疗器械产品注册证情况。
- 作者
- 内容
- 询问日期
文献和实验Kuo WY et al., Theranostics 2017 (PMID:28255357)
Ling HH et al., Exp Cell Res 2016 (PMID:27914787)
Horvay K et al., EMBO J 2015 (PMID:25759216)
Wai-Theng Lee et al., Food and Chemical Toxicology 2015 (PMID:25656647)
Wang L et al., Bioengineered 2022 (PMID:35609330)
Wang LT et al., Cancer Lett 2021 (PMID:34265398)
Kim BN et al., Sci Rep 2020 (PMID:32606331)
Lv F et al., Eur J Pharmacol 2021 (PMID:33811837)
Jao TM et al., Cancer Lett 2021 (PMID:33271263)
Lee KY et al., Cells 2020 (PMID:33375719)
Kuo CH et al., Cell Biochem Funct 2020 (PMID:33135206)
Huang HY et al., J Cell Mol Med 2020 (PMID:32672400)
Liu YP et al., Cancer Sci 2018 (PMID:30099830)
Harada H et al., Oncol Lett 2019 (PMID:30655804)
Bacci L et al., Int J Mol Sci 2019 (PMID:31426484)
Hiroki Harada et al., Oncology Letters 2018;17(1)
Lai YJ et al., J Cell Physiol 2018 (PMID:30341909)
Zhenzhen L et al., Clinical Science 2018;132(21)
Yin K et al., Oncotarget 2016 (PMID:27014911)
Chung IH et al., Oncotarget 2016 (PMID:26840566)
Micati DJ et al., Andrology 2018 (PMID:29381885)
Lee J et al., J Biol Chem 2018 (PMID:29363574)
Generation of Antibody Molecules Through Antibody Engineering
been overcome to a large extent using genetic-engineering techniques to produce chimeric mouse/human and completely human antibodies. Such an approach is particularly suitable because of the domain structure of the antibody molecule ( 2 ), where functional
The importance of antibody molecules was first recognized in the 1890s, when it was shown that immunity to tetanus and diphtheria was caused by antibodies against the bacterial exotoxins (1 ). Around the same time, it was shown that antisera
General comments: Antibodies, like most proteins, do not like to be freeze-thawed. Avoid repetitive freezing of your solution. The best way to store your antibody is to keep a high protein concentration (>1 mg/ml), add some protease
技术资料暂无技术资料 索取技术资料





![DUSP8 antibody [HL2338]](https://custom.dxycdn.com/trademd/upload/pic/2013/11/12/A1383891150.jpg!small.t.1)



