相关产品推荐更多 >
万千商家帮你免费找货
0 人在求购买到急需产品
- 详细信息
- 文献和实验
- 技术资料
- 免疫原:
Carrier-protein conjugated synthetic peptide surrounding asymmetric di-methyl Arg17 of human Histone H3. The exact sequence is proprietary.
- 亚型:
IgG
- 形态:
Liquid
- 保存条件:
Store as concentrated solution. Centrifuge briefly prior to opening vial. For short-term storage (1-2 weeks), store at 4ºC. For long-term storage, aliquot and store at -20ºC or below. Avoid multiple freeze-thaw cycles.
- 克隆性:
Polyclonal
- 标记物:
Unconjugated
- 适应物种:
Human, Mouse
- 保质期:
12 months from the shipping date of the product.
- 抗原来源:
Human
- 目录编号:
GTX124113
- 级别:
Primary Antibodies
- 库存:
Available
- 供应商:
GeneTex
- 宿主:
Rabbit
- 应用范围:
WB, IHC-P, Dot
- 浓度:
0.62 mg/ml (Please refer to the vial label for the specific concentration.)
- 靶点:
Histone H3R17me2 (Asymmetric Di-methyl Arg17)
- 抗体英文名:
Histone H3R17me2 (Asymmetric Di-methyl Arg17) antibody
- 抗体名:
Histone H3R17me2 (Asymmetric Di-methyl Arg17) 抗体
- 规格:
100 μl/25 μl
| 规格: | 100 μl | 产品价格: | ¥4000.0 |
|---|---|---|---|
| 规格: | 25 μl | 产品价格: | ¥1700.0 |
Histone3 (di-methyl Arg17) antibody detects HIST1H3A protein by Western blot analysis.
A. 30 μg 293T whole cell lysate/extract
B. 30 μg A431 whole cell lysate/extract
C. 30 μg HeLa whole cell lysate/extract
D. 30 μg HepG2 whole cell lysate/extract
15 % SDS-PAGE
Histone3 (di-methyl Arg17) antibody (GTX124113) dilution: 1:1000
Histone H3R17me2 (dimethyl Arg17) antibody detects Histone H3R17me2 (dimethyl Arg17) protein at nucleus on mouse muscle by immunohistochemical analysis.
Sample: Paraffin-embedded mouse muscle.
Histone H3R17me2 (dimethyl Arg17) antibody (GTX124113) dilution: 1:500.
Antigen Retrieval: Trilogy™ (EDTA based, pH 8.0) buffer, 15min
Histone3 (di-methyl Arg17) antibody detects HIST1H3A protein at nucleus on AGS xenograft by immunohistochemical analysis.
Sample: Paraffin-embedded AGS xenograft.
Histone3 (di-methyl Arg17) antibody (GTX124113) dilution: 1:500.
Antigen Retrieval: Trilogy™ (EDTA based, pH 8.0) buffer, 15min
Histone H3R17me2 (dimethyl Arg17) antibody detects Histone H3R17me2 (dimethyl Arg17) protein at nucleus on mouse middle brain by immunohistochemical analysis.
Sample: Paraffin-embedded mouse middle brain.
Histone H3R17me2 (dimethyl Arg17) antibody (GTX124113) dilution: 1:500.
Antigen Retrieval: Trilogy™ (EDTA based, pH 8.0) buffer, 15min
Dotblot analysis of anti-Histone3 (di-methyl Arg17) antibody with peptide samples.
Peptide samples (0.1 μg) were spotted onto positively charged nylon membrane and blotted with Histone3 (di-methyl Arg17) antibody (GTX124113) at different dilution as indicated.
A: Peptide samples of Histone3 (di-methyl Arg17)
B: Peptide samples of Histone H3.1
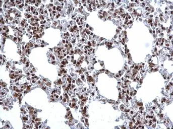
Histone H3R17me2 (dimethyl Arg17) antibody detects Histone H3R17me2 (dimethyl Arg17) protein at nucleus on mouse lung by immunohistochemical analysis.
Sample: Paraffin-embedded mouse lung.
Histone H3R17me2 (dimethyl Arg17) antibody (GTX124113) dilution: 1:500.
Antigen Retrieval: Trilogy™ (EDTA based, pH 8.0) buffer, 15min
风险提示:丁香通仅作为第三方平台,为商家信息发布提供平台空间。用户咨询产品时请注意保护个人信息及财产安全,合理判断,谨慎选购商品,商家和用户对交易行为负责。对于医疗器械类产品,请先查证核实企业经营资质和医疗器械产品注册证情况。
文献和实验Zhou Y et al., Oncol Lett 2020 (PMID:33101492)
Methyl DNA Immunoprecipitation
can be done. This methylation analysis is highly specific due to the use of a well-characterized monoclonal antibody and each IP is directly quality controlled: two essential keys for reliable results. In addition, the kit protocol is fast and user-friendly. The METHYL kit
组蛋白是和染色体相联的最主要的蛋白质。它的作用是和染色体中的 DNA 的负电荷结合。组蛋白是比较小的碱性蛋白;在细胞正常 pH 值时,组蛋白带有正电荷,这样它们就可以和 DNA 结合,这个正电荷主要存在于碱性氨基酸 Lys 和 Arg 的 -NH3 上。其实,组蛋白约含 25% 的 Arg 和 Lys 。比其他蛋白的 Arg , Lys 的含量都多。和真核 DNA 结合的有 5 种类型的组蛋白: H1 , H2A , H2B , H3
Histone lysine and arginine methylation involved in gene activation and silencing is dynamically regulated. However, partly limited to the research technologies previously available, the dynamics of global histone methylation on a site
技术资料暂无技术资料 索取技术资料










