相关产品推荐更多 >
万千商家帮你免费找货
0 人在求购买到急需产品
- 详细信息
- 文献和实验
- 技术资料
- 免疫原:
Microsomal fraction of transformed mouse T-cell transfected with rat heme oxygenase- 1 (WR19LrHO-1).
- 亚型:
IgG1
- 形态:
Liquid
- 保存条件:
Store as concentrated solution. Centrifuge briefly prior to opening vial. For short-term storage (1-2 weeks), store at 4ºC. For long-term storage, aliquot and store at -20ºC or below. Avoid multiple freeze-thaw cycles.
- 克隆性:
Monoclonal
- 标记物:
Unconjugated
- 适应物种:
Human, Mouse, Rat
- 保质期:
12 months from the shipping date of the product.
- 抗原来源:
Rat
- 目录编号:
GTX12220
- 级别:
Primary Antibodies
- 库存:
Available
- 供应商:
GeneTex
- 宿主:
Mouse
- 应用范围:
WB, IHC-P, IHC-Fr
- 浓度:
2 mg/ml (Please refer to the vial label for the specific concentration.)
- 靶点:
This antibody does not cross-react with HO-2.
- 抗体英文名:
Heme Oxygenase 1 antibody [GTS-1]
- 抗体名:
Heme Oxygenase 1 抗体 [GTS-1]
- 规格:
50 μg
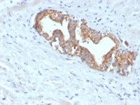
IHC-P analysis of various human cancer tissues using GTX12220 Heme Oxygenase 1 antibody [GTS-1].
风险提示:丁香通仅作为第三方平台,为商家信息发布提供平台空间。用户咨询产品时请注意保护个人信息及财产安全,合理判断,谨慎选购商品,商家和用户对交易行为负责。对于医疗器械类产品,请先查证核实企业经营资质和医疗器械产品注册证情况。
文献和实验oxygenase-1 (HO-1) induction is coincident with the formation of neurofibrillary tangles. This enzyme that converts heme, a prooxidant, to biliverdin/bilirubin (antioxidants) and free iron has been considered an antioxidant enzyme. But seen in the context
targeting heme oxygenase-1 enhances ischemia-reperfusion-induced lung apoptosis. J. Biol. Chem. 279, 10677–10684 (2004) | Article | PubMed | ChemPort | 6. Dorn, G. et al. siRNA relieves chronic neuropathic pain. Nucleic Acids Res. 32, e49 (2004) | Article
-inflammatory Compounds in Transgenic Mice. The Journal of Immunology, 2003, 170: 6307�631 15. 药物毒理评价模型 In vivo bioluminescent monitoring of chemical toxicity using heme oxygenase-luciferase transgenic mice Toxicology and Applied Pharmacology 200(3):219-28
技术资料暂无技术资料 索取技术资料





![NOD2 antibody [2D9]](https://img1.dxycdn.com/2022/0328/992/6161305854280400453-14.jpg!wh200)
![TRIM49 antibody [N1C1]](https://img1.dxycdn.com/2022/0328/255/2507956275603300453-14.jpg!wh200)
![alpha Tubulin 8 antibody [2C2]](https://img1.dxycdn.com/2022/0328/530/9020345248587500453-14.jpg!wh200)



