相关产品推荐更多 >
万千商家帮你免费找货
0 人在求购买到急需产品
- 详细信息
- 文献和实验
- 技术资料
- 免疫原:
Carrier-protein conjugated synthetic peptide surrounding phospho Ser35 of human Histone H1. The exact sequence is proprietary.
- 亚型:
IgG
- 形态:
Liquid
- 保存条件:
Store as concentrated solution. Centrifuge briefly prior to opening vial. For short-term storage (1-2 weeks), store at 4ºC. For long-term storage, aliquot and store at -20ºC or below. Avoid multiple freeze-thaw cycles.
- 克隆性:
Polyclonal
- 标记物:
Unconjugated
- 适应物种:
Human
- 保质期:
12 months from the shipping date of the product.
- 抗原来源:
Human
- 目录编号:
GTX121669
- 级别:
Primary Antibodies
- 库存:
Available
- 供应商:
GeneTex
- 宿主:
Rabbit
- 应用范围:
WB, ICC/IF, IHC-P
- 浓度:
0.93 mg/ml (Please refer to the vial label for the specific concentration.)
- 靶点:
Histone H1S35ph (phospho Ser35)
- 抗体英文名:
Histone H1S35ph (phospho Ser35) antibody
- 抗体名:
Histone H1S35ph (phospho Ser35) 抗体
- 规格:
100 μl/25 μl
| 规格: | 100 μl | 产品价格: | ¥4000.0 |
|---|---|---|---|
| 规格: | 25 μl | 产品价格: | ¥1700.0 |
Sample (5 ug of whole cell lysate)
A: Acid-extracted histones from HeLa cell
B: Acid-extracted histones from HeLa cell treated Nocodazole
12% SDS PAGE
GTX121669 diluted at 1:1000
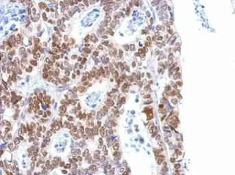
Immunohistochemical analysis of paraffin-embedded human gastric cancer, using Histone H1S35ph (phospho Ser35)(GTX121669) antibody at 1:500 dilution.
Antigen Retrieval: Trilogy™ (EDTA based, pH 8.0) buffer, 15min
Immunofluorescence analysis of PFA-fixed HeLa, using Histone H1S35ph (phospho Ser35)(GTX121669) antibody at 1:500 dilution.
风险提示:丁香通仅作为第三方平台,为商家信息发布提供平台空间。用户咨询产品时请注意保护个人信息及财产安全,合理判断,谨慎选购商品,商家和用户对交易行为负责。对于医疗器械类产品,请先查证核实企业经营资质和医疗器械产品注册证情况。
文献和实验Chu CS et al., J Biol Chem 2011 (PMID:21852232)
Krishnan S et al., Mol Cell 2017 (PMID:28781233)
35 Expression of Antibody Fab Fragments and Whole Immunoglobulin in Mammalian Cells
The technologies described in this volume enable the isolation of recombi- nant antibodies (Abs) from libraries of variable regions (Fvs) or Fabs displayed on the surface of filamentous phage by fusion to a structural protein
The optimal exposure time will depend on the amount of 32 P used and the amount of kinase activity. Generally a few hours should be fine. SOLUTIONS Histone Wash Buffer 25 mM Tris HCl, pH7.5 70 mM NaCl 10 mM MgCl2 1 mM DTT
Using Phospho‐Motif Antibodies to Determine Kinase Substrates
comprising both the phosphorylated residue and the surrounding residues that determine kinase specificity, with degenerate residues taking up the remaining positions. Currently, several categories of phospho?motif antibody are commercially available
技术资料暂无技术资料 索取技术资料









![Elastin antibody [BA-4]](https://img1.dxycdn.com/2022/0328/248/4661418622140400453-14.jpg!wh200)

