相关产品推荐更多 >
万千商家帮你免费找货
0 人在求购买到急需产品
- 详细信息
- 技术资料
- 免疫原:
This antibody was raised against a His-tagged full-length human IKK alpha protein.
- 亚型:
IgG1
- 形态:
Liquid
- 保存条件:
Store as concentrated solution. Centrifuge briefly prior to opening vial. For short-term storage (1-2 weeks), store at 4ºC. For long-term storage, aliquot and store at -20ºC or below. Avoid multiple freeze-thaw cycles.
- 克隆性:
Monoclonal
- 标记物:
Unconjugated
- 适应物种:
Human, Mouse, Rat, Primate
- 保质期:
12 months from the shipping date of the product.
- 抗原来源:
Human
- 目录编号:
GTX12138
- 级别:
Primary Antibodies
- 库存:
Available
- 供应商:
GeneTex
- 宿主:
Mouse
- 应用范围:
WB, ICC/IF, IHC-P, IHC-Fr, FACS, IP, ChIP assay
- 浓度:
1 mg/ml (Please refer to the vial label for the specific concentration.)
- 靶点:
IKK alpha
- 抗体英文名:
IKK alpha antibody [14A231]
- 抗体名:
IKK alpha 抗体 [14A231]
- 规格:
50 μg
WB analysis of Daudi (left) and U937 (right) cell lysate using GTX12138 IKK alpha antibody [14A231].
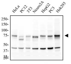
WB analysis of multiple samples using GTX12138 IKK alpha antibody [14A231].
Dilution : 1 μg/ml
ICC/IF analysis of HeLa cells using GTX12138 IKK alpha antibody [14A231].
Green : primary antibody
Red : Tubulin
Blue : DAPI
Dilution : 1:10
FACS (Intracellular staining) analysis of HEK293 cells using GTX12138 IKK alpha antibody [14A231].
Red : primary antibody
Green : isotype control
Antibody amount : 0.5μg
WB analysis of Daudi cell lysate using GTX12138 IKK alpha antibody [14A231].
Dilution : 1 μg/ml
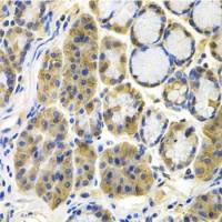
IHC-P analysis of human kidney tissue using GTX12138 IKK alpha antibody [14A231].
Dilution : 5 μg/ml
Antigen retrieval : 10 mM sodium citrate buffer, pH 6.0
风险提示:丁香通仅作为第三方平台,为商家信息发布提供平台空间。用户咨询产品时请注意保护个人信息及财产安全,合理判断,谨慎选购商品,商家和用户对交易行为负责。对于医疗器械类产品,请先查证核实企业经营资质和医疗器械产品注册证情况。
技术资料暂无技术资料 索取技术资料


![IKK alpha antibody [14A231]](https://img1.dxycdn.com/2022/0328/402/6406079526793300453-14.jpg)


![CIP2A antibody [OTI9E6]](https://custom.dxycdn.com/trademd/upload/pic/2013/11/12/A1383891150.jpg!small.t.1)



![GATA5 antibody [1B11]](https://img1.dxycdn.com/2022/0328/081/6574407856203500453-14.jpg!wh200)
