相关产品推荐更多 >
万千商家帮你免费找货
0 人在求购买到急需产品
- 详细信息
- 技术资料
- 免疫原:
Recombinant protein encompassing a sequence within the C-terminus region of human EDC4. The exact sequence is proprietary.
- 亚型:
IgG
- 形态:
Liquid
- 保存条件:
Store as concentrated solution. Centrifuge briefly prior to opening vial. For short-term storage (1-2 weeks), store at 4ºC. For long-term storage, aliquot and store at -20ºC or below. Avoid multiple freeze-thaw cycles.
- 克隆性:
Polyclonal
- 标记物:
Unconjugated
- 适应物种:
Human, Mouse
- 保质期:
12 months from the shipping date of the product.
- 抗原来源:
Human
- 目录编号:
GTX115745
- 级别:
Primary Antibodies
- 库存:
Available
- 供应商:
GeneTex
- 宿主:
Rabbit
- 应用范围:
WB, ICC/IF, IHC-P
- 浓度:
1 mg/ml (Please refer to the vial label for the specific concentration.)
- 靶点:
EDC4
- 抗体英文名:
EDC4 antibody
- 抗体名:
EDC4 抗体
- 规格:
100 μl/25 μl
| 规格: | 100 μl | 产品价格: | ¥4000.0 |
|---|---|---|---|
| 规格: | 25 μl | 产品价格: | ¥1700.0 |
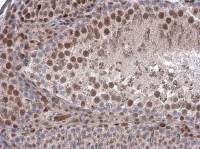
Immunohistochemical analysis of paraffin-embedded U87 xenograft, using EDC4(GTX115745) antibody at 1:100 dilution.
Antigen Retrieval: Trilogy™ (EDTA based, pH 8.0) buffer, 15min
Sample (30 ug of whole cell lysate)
A: MCF-7
5% SDS PAGE
GTX115745 diluted at 1:3000
Sample (50 ug of whole cell lysate)
A: mouse brain
5% SDS PAGE
GTX115745 diluted at 1:2000
EDC4 antibody detects EDC4 protein at cytosol and nucleus on mouse duodenum by immunohistochemical analysis.
Sample: Paraffin-embedded mouse duodenum.
EDC4 antibody (GTX115745) dilution: 1:500.
Antigen Retrieval: Trilogy™ (EDTA based, pH 8.0) buffer, 15min
EDC4 antibody detects EDC4 protein at P-body by confocal immunofluorescent analysis.
Sample: HeLa cells were fixed in 4% PFA at RT for 15 min.
Green: EDC4 protein stained by EDC4 antibody (GTX115745) diluted at 1:500.
Blue: Hoechst 33343 staining.
[Images captured by Olympus FV10i Confocal Laser Scanning Microscope]
风险提示:丁香通仅作为第三方平台,为商家信息发布提供平台空间。用户咨询产品时请注意保护个人信息及财产安全,合理判断,谨慎选购商品,商家和用户对交易行为负责。对于医疗器械类产品,请先查证核实企业经营资质和医疗器械产品注册证情况。
技术资料暂无技术资料 索取技术资料





![Muscle Actin antibody [3F10]](https://img1.dxycdn.com/2022/0328/313/2753917686328300453-14.jpg!wh200)

![Cyclin D1 antibody [CCND1/809]](https://img1.dxycdn.com/2022/0328/698/7335020735630700453-14.jpg!wh200)

![PSD95 antibody [7E3-1B8]](https://img1.dxycdn.com/2022/0329/618/1504854738404020453-14.jpg!wh200)
