相关产品推荐更多 >
万千商家帮你免费找货
0 人在求购买到急需产品
- 详细信息
- 文献和实验
- 技术资料
- 免疫原:
Recombinant protein encompassing a sequence within the center region of human Coronin 1A. The exact sequence is proprietary.
- 亚型:
IgG
- 形态:
Liquid
- 保存条件:
Store as concentrated solution. Centrifuge briefly prior to opening vial. For short-term storage (1-2 weeks), store at 4ºC. For long-term storage, aliquot and store at -20ºC or below. Avoid multiple freeze-thaw cycles.
- 克隆性:
Polyclonal
- 标记物:
Unconjugated
- 适应物种:
Human, Mouse, Rat
- 保质期:
12 months from the shipping date of the product.
- 抗原来源:
Human
- 目录编号:
GTX113931
- 级别:
Primary Antibodies
- 库存:
Available
- 供应商:
GeneTex
- 宿主:
Rabbit
- 应用范围:
WB, IHC-P
- 浓度:
0.91 mg/ml (Please refer to the vial label for the specific concentration.)
- 靶点:
Coronin 1A
- 抗体英文名:
Coronin 1A antibody [N1N3]
- 抗体名:
Coronin 1A 抗体 [N1N3]
- 规格:
100 μl/25 μl
| 规格: | 100 μl | 产品价格: | ¥4000.0 |
|---|---|---|---|
| 规格: | 25 μl | 产品价格: | ¥1700.0 |
Coronin 1A antibody [N1N3] detects Coronin 1A protein at cytoplasm in rat spleen by immunohistochemical analysis.
Sample: Paraffin-embedded rat spleen.
Coronin 1A antibody [N1N3] (GTX113931) diluted at 1:200.
Mouse tissue extract (50 μg) was separated by 10% SDS-PAGE, and the membrane was blotted with Coronin 1A antibody [N1N3] (GTX113931) diluted at 1:1000. The HRP-conjugated anti-rabbit IgG antibody (GTX213110-01) was used to detect the primary antibody.
Coronin 1A antibody [N1N3] detects Coronin 1A protein at cytoplasm in mouse duodenum by immunohistochemical analysis.
Sample: Paraffin-embedded mouse duodenum.
Coronin 1A antibody [N1N3] (GTX113931) diluted at 1:200.
Various whole cell extracts (30 μg) were separated by 10% SDS-PAGE, and the membrane was blotted with Coronin 1A antibody [N1N3] (GTX113931) diluted at 1:1000.
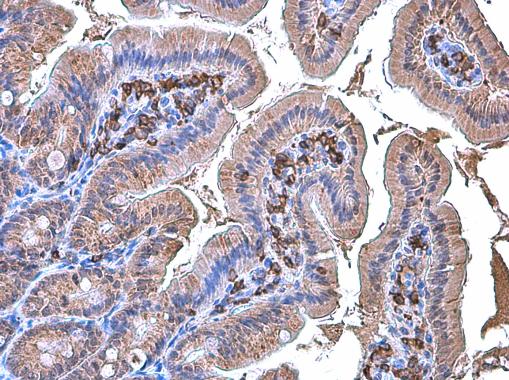
Coronin 1A antibody [N1N3] detects Coronin 1A protein at cytoplasm in rat intestine by immunohistochemical analysis.
Sample: Paraffin-embedded rat intestine.
Coronin 1A antibody [N1N3] (GTX113931) diluted at 1:200.
风险提示:丁香通仅作为第三方平台,为商家信息发布提供平台空间。用户咨询产品时请注意保护个人信息及财产安全,合理判断,谨慎选购商品,商家和用户对交易行为负责。对于医疗器械类产品,请先查证核实企业经营资质和医疗器械产品注册证情况。
文献和实验In the field of therapeutic recombinant proteins, monoclonal antibodies (mAbs) have achieved a rising success with more than 30 mAbs that have reached the market in the past 20 years. From a structural standpoint, one of the most important
人 CYP1A2酶联免疫 分析 试剂 盒使用说明书 本试剂仅供研究使用 目的:本试剂盒用于测定人血清,血浆及相关液体样本中 CYP1A2 的含量。 实验原理 : 本试剂盒应用双抗体夹心法测定 标本 中 人 CYP1A2 水平。用纯化的 人 CYP1A2 抗体包被微孔板,制成固相抗体,往包被单抗的微孔中依次加入 CYP1A2 ,再与HRP 标记的 CYP1A2 抗体结合,形成抗体- 抗原 - 酶标抗体复合物 ,经过彻底
ng/ 瓶 2 瓶 底物工作液( TMB Solution ) 12ml 第一抗体工作液( Biotinylated Antibody ) 12ml 终止液 ( Stop Solution
技术资料暂无技术资料 索取技术资料








![ARID1A antibody [GT3611]](https://img1.dxycdn.com/2022/0329/881/8140229955706020453-14.jpg!wh200)


