相关产品推荐更多 >
万千商家帮你免费找货
0 人在求购买到急需产品
- 详细信息
- 文献和实验
- 技术资料
- 免疫原:
Recombinant protein encompassing a sequence within the N-terminus region of human IRE1 alpha. The exact sequence is proprietary.
- 亚型:
IgG
- 形态:
Liquid
- 保存条件:
Store as concentrated solution. Centrifuge briefly prior to opening vial. For short-term storage (1-2 weeks), store at 4ºC. For long-term storage, aliquot and store at -20ºC or below. Avoid multiple freeze-thaw cycles.
- 克隆性:
Polyclonal
- 标记物:
Unconjugated
- 适应物种:
Human, Rat, Chicken
- 保质期:
12 months from the shipping date of the product.
- 抗原来源:
Human
- 目录编号:
GTX113682
- 级别:
Primary Antibodies
- 库存:
Available
- 供应商:
GeneTex
- 宿主:
Rabbit
- 应用范围:
WB, IHC-P, IP
- 浓度:
0.5 mg/ml (Please refer to the vial label for the specific concentration.)
- 靶点:
IRE1 alpha
- 抗体英文名:
IRE1 alpha antibody [N1N2], N-term
- 抗体名:
IRE1 alpha 抗体 [N1N2], N-term
- 规格:
100 μl/25 μl
| 规格: | 100 μl | 产品价格: | ¥4000.0 |
|---|---|---|---|
| 规格: | 25 μl | 产品价格: | ¥1700.0 |
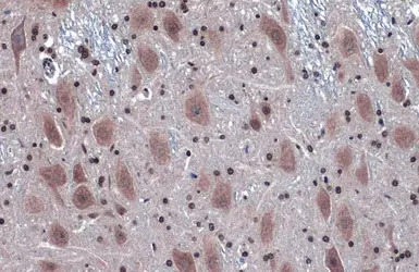
IRE1 alpha antibody [N1N2], N-term detects IRE1 alpha protein at cytoplasm by immunohistochemical analysis.
Sample: Paraffin-embedded rat brain.
IRE1 alpha stained by IRE1 alpha antibody [N1N2], N-term (GTX113682) diluted at 1:500.
Antigen Retrieval: Citrate buffer, pH 6.0, 15 min
IRE1 alpha antibody detects IRE1 alpha protein by western blot analysis. Various whole cell extracts (30 μg) were separated by 7.5% SDS-PAGE, and the membrane was blotted with IRE1 alpha antibody (GTX113682) diluted by 1:1000.
风险提示:丁香通仅作为第三方平台,为商家信息发布提供平台空间。用户咨询产品时请注意保护个人信息及财产安全,合理判断,谨慎选购商品,商家和用户对交易行为负责。对于医疗器械类产品,请先查证核实企业经营资质和医疗器械产品注册证情况。
文献和实验Wang SH et al., Anim Biotechnol 2018 (PMID:29553885)
Sundararaman B et al., Mol Cell 2016 (PMID:26990993)
domesticus x Mus spretus] F1 DNA). In the analysis of the antibody bound (B) and unbound (U) fractions (right panel), the bands representing the maternal and paternal alleles are indicated.MATERIALS Reagents100-bp DNA step ladder (for duplex PCR
hydroxylaseAssociation of a 14-3-3 protein with CMP-NeuAc:GM1 alpha 2,3-sialyltransferaseInteraction of 14-3-3 with signaling proteins is mediated by phosphoserineActivation-modulated association of 14-3-3 proteins with Cbl14-3-3 binding sequence in cytoplasmic domain
Antigen Design Sera Purification Tech Sheet
, the N-terminus is also frequently exposed and on the surface of the protein making it an ideal candidate for antibody generation. If a protein sequence is derived from the cDNA sequence, the leader sequence should not be included in the sequence selected
技术资料暂无技术资料 索取技术资料









![HSDL2 antibody [2A11BG6AH6]](https://img1.dxycdn.com/2022/0328/365/2092002952650400453-14.jpg!wh200)
