相关产品推荐更多 >
万千商家帮你免费找货
0 人在求购买到急需产品
- 详细信息
- 文献和实验
- 技术资料
- 免疫原:
Recombinant protein encompassing a sequence within the center region of human Cytokeratin 18. The exact sequence is proprietary.
- 亚型:
IgG
- 形态:
Liquid
- 保存条件:
Store as concentrated solution. Centrifuge briefly prior to opening vial. For short-term storage (1-2 weeks), store at 4ºC. For long-term storage, aliquot and store at -20ºC or below. Avoid multiple freeze-thaw cycles.
- 克隆性:
Polyclonal
- 标记物:
Unconjugated
- 适应物种:
Human, Mouse, Zebrafish, Dog
- 保质期:
12 months from the shipping date of the product.
- 抗原来源:
Human
- 目录编号:
GTX112978
- 级别:
Primary Antibodies
- 库存:
Available
- 供应商:
GeneTex
- 宿主:
Rabbit
- 应用范围:
WB, ICC/IF, IHC-P, IHC-Wm
- 浓度:
1 mg/ml (Please refer to the vial label for the specific concentration.)
- 靶点:
Cytokeratin 18
- 抗体英文名:
Cytokeratin 18 antibody [N3C3]
- 抗体名:
Cytokeratin 18 抗体 [N3C3]
- 规格:
100 μl/25 μl
| 规格: | 100 μl | 产品价格: | ¥4000.0 |
|---|---|---|---|
| 规格: | 25 μl | 产品价格: | ¥1700.0 |
Non-transfected (–) and transfected (+) HeLa whole cell extracts (15 μg) were separated by 10% SDS-PAGE, and the membrane was blotted with Cytokeratin 18 antibody [N3C3] (GTX112978) diluted at 1:8000. The HRP-conjugated anti-rabbit IgG antibody (GTX213110-01) was used to detect the primary antibody.
Cytokeratin 18 antibody [N3C3] detects Cytokeratin 18 protein at cytoplasm in mouse urinary bladder by immunohistochemical analysis.
Sample: Paraffin-embedded mouse urinary bladder.
Cytokeratin 18 antibody [N3C3] (GTX112978) diluted at 1:500.
Antigen Retrieval: Citrate buffer, pH 6.0, 15 min
Immunofluorescence analysis of PFA-fixed HeLa, using Cytokeratin 18 (GTX112978) antibody at 1:200 dilution.
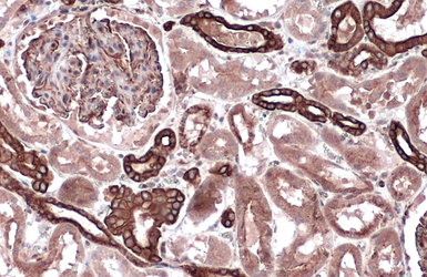
Cytokeratin 18 antibody detects Cytokeratin 18 protein at cell membrane and cytoplasm by immunohistochemical analysis.
Sample: Paraffin-embedded dog kidney.
Cytokeratin 18 stained by Cytokeratin 18 antibody (GTX112978) diluted at 1:500.
Antigen Retrieval: Citrate buffer, pH 6.0, 15 min
Cytokeratin 18 antibody detects Cytokeratin 18 protein at cytoplasm and nucleus by immunofluorescent analysis.
Sample: MDCK cells were fixed in 4% PFA at RT for 15 min.
Green: Cytokeratin 18 stained by Cytokeratin 18 antibody (GTX112978) diluted at 1:500.
Cytokeratin 18 antibody detects Cytokeratin 18 protein at cytoskeleton by immunohistochemical analysis.
Sample: Paraffin-embedded dog malignant nephroblastoma.
Cytokeratin 18 stained by Cytokeratin 18 antibody (GTX112978) diluted at 1:500.
Antigen Retrieval: Citrate buffer, pH 6.0, 15 min
Whole cell extract (30 μg) was separated by 10% SDS-PAGE, and the membrane was blotted with Cytokeratin 18 antibody (GTX112978) diluted at 1:8000. The HRP-conjugated anti-rabbit IgG antibody (GTX213110-01) was used to detect the primary antibody, and the signal was developed with Trident ECL plus-Enhanced.
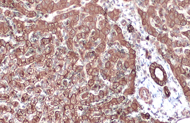
Cytokeratin 18 antibody detects Cytokeratin 18 protein at cell membrane and cytoplasm by immunohistochemical analysis.
Sample: Paraffin-embedded dog liver.
Cytokeratin 18 stained by Cytokeratin 18 antibody (GTX112978) diluted at 1:500.
Antigen Retrieval: Citrate buffer, pH 6.0, 15 min
Cytokeratin 18 antibody detects Cytokeratin 18 protein at cell membrane and cytoplasm by immunohistochemical analysis.
Sample: Paraffin-embedded dog intestine.
Cytokeratin 18 stained by Cytokeratin 18 antibody (GTX112978) diluted at 1:500.
Antigen Retrieval: Citrate buffer, pH 6.0, 15 min
Immunohistochemical analysis (whole mount) of zebrafish embryo, using Cytokeratin 18 antibody [N3C3] (GTX112978) at 1:200 dilution.
Cytokeratin 18 antibody detects Cytokeratin 18 protein at cell membrane and cytoplasm by immunohistochemical analysis.
Sample: Paraffin-embedded dog stomach.
Cytokeratin 18 stained by Cytokeratin 18 antibody (GTX112978) diluted at 1:500.
Antigen Retrieval: Citrate buffer, pH 6.0, 15 min
风险提示:丁香通仅作为第三方平台,为商家信息发布提供平台空间。用户咨询产品时请注意保护个人信息及财产安全,合理判断,谨慎选购商品,商家和用户对交易行为负责。对于医疗器械类产品,请先查证核实企业经营资质和医疗器械产品注册证情况。
文献和实验Nguyen QH et al., Nat Commun 2018 (PMID:29795293)
HOZAN/N-18/钢丝钳 HOZAN/N-18 钢丝钳 HOZAN/N-18/钢丝钳规格
人白细胞介素 -1 8( IL-1 8) 酶联免疫 分析( ELISA ) 试剂 盒使用说明书 本试剂仅供研究使用 目的:本试剂盒用于测定人血清,血浆及相关液体样本中 白细胞介素18(IL-18)的 含量。 实验原理 : 本试剂盒应用 双抗体 夹心法测定 标本 中 人白细胞介素 -1 8( IL-1 8) 水平。用纯化的 人白细胞介素 -1 8( IL-1 8)抗体 包被微孔板,制成固相 抗 体,往包被 单抗 的微孔
胞苷一磷酸-N-乙酰神经氨酸cytidine monophosphate N-acetylneuraminic acid
不稳定,即使是以干燥的铵盐形态在 -18℃下保存,也会逐渐分解成 CMP和 N-乙酰神经氨酸。
技术资料暂无技术资料 索取技术资料






![Osteocalcin antibody [OC4-30]](https://img1.dxycdn.com/2022/0329/185/2460832757004020453-14.jpg!wh200)

![Collagen II antibody [NA]](https://img1.dxycdn.com/2022/0329/189/5599698707577020453-14.jpg!wh200)
![Parathyroid Hormone antibody [105G7]](https://img1.dxycdn.com/2022/0328/909/2633518134387700453-14.jpg!wh200)

