相关产品推荐更多 >
万千商家帮你免费找货
0 人在求购买到急需产品
- 详细信息
- 文献和实验
- 技术资料
- 免疫原:
Recombinant protein encompassing a sequence within the center region of human Hexokinase II. The exact sequence is proprietary.
- 亚型:
IgG
- 形态:
Liquid
- 保存条件:
Store as concentrated solution. Centrifuge briefly prior to opening vial. For short-term storage (1-2 weeks), store at 4ºC. For long-term storage, aliquot and store at -20ºC or below. Avoid multiple freeze-thaw cycles.
- 克隆性:
Polyclonal
- 标记物:
Unconjugated
- 适应物种:
Human, Mouse, Rat
- 保质期:
12 months from the shipping date of the product.
- 抗原来源:
Human
- 目录编号:
GTX111525
- 级别:
Primary Antibodies
- 库存:
Available
- 供应商:
GeneTex
- 宿主:
Rabbit
- 应用范围:
WB, ICC/IF, IHC-P
- 浓度:
0.76 mg/ml (Please refer to the vial label for the specific concentration.)
- 靶点:
Hexokinase II
- 抗体英文名:
Hexokinase II antibody
- 抗体名:
Hexokinase II 抗体
- 规格:
100 μl/25 μl
| 规格: | 100 μl | 产品价格: | ¥4000.0 |
|---|---|---|---|
| 规格: | 25 μl | 产品价格: | ¥1700.0 |
Mouse tissue extract (50 μg) was separated by 7.5% SDS-PAGE, and the membrane was blotted with Hk2 antibody (GTX111525) diluted at 1:10000. The HRP-conjugated anti-rabbit IgG antibody (GTX213110-01) was used to detect the primary antibody.
Hexokinase II antibody detects Hexokinase II protein at cytoplasm by immunohistochemical analysis.
Sample: Paraffin-embedded rat colon.
Hexokinase II stained by Hexokinase II antibody (GTX111525) diluted at 1:2000.
Antigen Retrieval: Citrate buffer, pH 6.0, 15 min
Hexokinase II antibody detects Hexokinase II protein at cytoplasm by immunohistochemical analysis.
Sample: Paraffin-embedded rat muscle.
Hexokinase II stained by Hexokinase II antibody (GTX111525) diluted at 1:1000.
Antigen Retrieval: Citrate buffer, pH 6.0, 15 min
Hexokinase II antibody detects Hexokinase II protein at cytoplasm by immunohistochemical analysis.
Sample: Paraffin-embedded mouse heart.
Hexokinase II stained by Hexokinase II antibody (GTX111525) diluted at 1:2000.
Antigen Retrieval: Citrate buffer, pH 6.0, 15 min
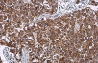
Hexokinase II antibody detects HK2 protein at cytosol on U87 xenograft by immunohistochemical analysis.
Sample: Paraffin-embedded U87 xenograft.
Hexokinase II antibody (GTX111525) dilution: 1:500.
Antigen Retrieval: Trilogy™ (EDTA based, pH 8.0) buffer, 15min
Hexokinase II antibody detects Hexokinase II protein at cytoplasm in rat heart by immunohistochemical analysis.
Sample: Paraffin-embedded rat heart.
Hexokinase II antibody (GTX111525) diluted at 1:500.
Antigen Retrieval: Citrate buffer, pH 6.0, 15 min
Hexokinase II antibody detects Hexokinase II protein at cytoplasm in rat stomach by immunohistochemical analysis.
Sample: Paraffin-embedded rat stomach.
Hexokinase II antibody (GTX111525) diluted at 1:500.
Antigen Retrieval: Citrate buffer, pH 6.0, 15 min
Hexokinase II antibody detects Hexokinase II protein at cytosol on mouse muscle by immunohistochemical analysis.
Sample: Paraffin-embedded mouse muscle.
Hexokinase II antibody (GTX111525) dilution: 1:500.
Antigen Retrieval: Trilogy™ (EDTA based, pH 8.0) buffer, 15min
Various whole cell extracts (30 μg) were separated by 7.5% SDS-PAGE, and the membrane was blotted with Hexokinase II antibody (GTX111525) diluted at 1:10000. The HRP-conjugated anti-rabbit IgG antibody (GTX213110-01) was used to detect the primary antibody.
Hexokinase II antibody detects Hexokinase II protein at cytoplasm by immunohistochemical analysis.
Sample: Paraffin-embedded mouse muscle.
Hexokinase II stained by Hexokinase II antibody (GTX111525) diluted at 1:500.
Antigen Retrieval: Citrate buffer, pH 6.0, 15 min
Hexokinase II antibody detects Hexokinase II protein at cytoplasm by immunohistochemical analysis.
Sample: Paraffin-embedded rat kidney.
Hexokinase II stained by Hexokinase II antibody (GTX111525) diluted at 1:2000.
Antigen Retrieval: Citrate buffer, pH 6.0, 15 min
风险提示:丁香通仅作为第三方平台,为商家信息发布提供平台空间。用户咨询产品时请注意保护个人信息及财产安全,合理判断,谨慎选购商品,商家和用户对交易行为负责。对于医疗器械类产品,请先查证核实企业经营资质和医疗器械产品注册证情况。
文献和实验Huang YP et al., Clin Exp Pharmacol Physiol 2017 (PMID:28453233)
Jan CI et al., Int J Biol Sci? 2016;12(7)
Izabela Bary?a et al., Int J Mol Sci 2022 (PMID:35328751)
Huang CY et al., Life (Basel) 2021 (PMID:34575112)
Harada Y et al., Cell Rep 2020 (PMID:33053347)
Lee YR et al., Kaohsiung J Med Sci 2020 (PMID:32783363)
Takino JI et al., Sci Rep 2019 (PMID:31723205)
Lee CH et al., Mol Imaging Biol 2018 (PMID:30225759)
Yang T et al., Oncogene 2018 (PMID:29985480)
Protein A Purification of Antibody
1. Reagents(1) Affi-gel Protein-A Agarose (BioRad #153-6153)(2) MAPS II Binding Buffer (BioRad # 153-6161)(3) 0.314 g/ml diH2O(4) MAPS II Elution Buffer (BioRad #153-6162)(5) 0.023 g/ml diH2O(6) MAPS II Regeneration Buffer (BioRad #153-6166(7) 1M
Identification of MHC Class II Binding Peptides: Microarray and Soluble MHC Class II Molecules
antibody (mAb). Positive events (MHC class II/peptide complexes) are normalized and available for pattern analysis.
Immunohistochemical Detection of Angiotensin II Receptor
for cell-specific localization of receptor expression within tissue. The resolution and sensitivity achieved with IHC is far greater than that obtained with classic autoradiography techniques although antireceptor antibody
技术资料暂无技术资料 索取技术资料





![DECR1 antibody [8B1AD10]](https://img1.dxycdn.com/2022/0328/688/8867484610401500453-14.jpg!wh200)


![Melanoma antibody [HMB45] (ready-to-use)](https://img1.dxycdn.com/2022/0328/638/1790102021958300453-14.jpg!wh200)
![HSD3B1 antibody [N1C1]](https://img1.dxycdn.com/2022/0328/851/7231043618120300453-14.jpg!wh200)
