相关产品推荐更多 >
万千商家帮你免费找货
0 人在求购买到急需产品
- 详细信息
- 询价记录
- 文献和实验
- 技术资料
- 免疫原:
Recombinant protein encompassing a sequence within the center region of human CaMKII delta. The exact sequence is proprietary.
- 亚型:
IgG
- 形态:
Liquid
- 保存条件:
Store as concentrated solution. Centrifuge briefly prior to opening vial. For short-term storage (1-2 weeks), store at 4ºC. For long-term storage, aliquot and store at -20ºC or below. Avoid multiple freeze-thaw cycles.
- 克隆性:
Polyclonal
- 标记物:
Unconjugated
- 适应物种:
Human, Mouse, Rat, Zebrafish, Rabbit
- 保质期:
12 months from the shipping date of the product.
- 抗原来源:
Human
- 目录编号:
GTX111401
- 级别:
Primary Antibodies
- 库存:
Available
- 供应商:
GeneTex
- 宿主:
Rabbit
- 应用范围:
WB, ICC/IF, IHC-P, IP
- 浓度:
0.62 mg/ml (Please refer to the vial label for the specific concentration.)
- 靶点:
Cross-reactivity may occur with other CaM kinase II subunits.
- 抗体英文名:
CaMKII delta antibody
- 抗体名:
CaMKII delta 抗体
- 规格:
100 μl/25 μl
| 规格: | 100 μl | 产品价格: | ¥4000.0 |
|---|---|---|---|
| 规格: | 25 μl | 产品价格: | ¥1700.0 |
Non-transfected (–) and transfected (+) 293T whole cell extracts (50 μg) were separated by 10% SDS-PAGE, and the membrane was blotted with CaMKII delta antibody (GTX111401) diluted at 1:10000. The HRP-conjugated anti-rabbit IgG antibody (GTX213110-01) was used to detect the primary antibody.
CaMKII delta antibody detects CaMKII delta protein at cytoplasm by immunofluorescent analysis.
Sample: HCT116 cells were fixed in 4% PFA at RT for 15 min.
Green: CaMKII delta protein stained by CaMKII delta antibody (GTX111401) diluted at 1:500.
Blue: Hoechst 33342 staining.
Various tissue extracts (50 μg) were separated by 10% SDS-PAGE, and the membrane was blotted with CaMKII delta antibody (GTX111401) diluted at 1:50000. The HRP-conjugated anti-rabbit IgG antibody (GTX213110-01) was used to detect the primary antibody.
CaMKII delta antibody detects CaMKII delta protein at cytoplasm in rat heart by immunohistochemical analysis.
Sample: Paraffin-embedded rat heart.
CaMKII delta antibody (GTX111401) diluted at 1:400.
Antigen Retrieval: Citrate buffer, pH 6.0, 15 min
Immunohistochemical analysis of paraffin-embedded zebrafish tissue, using CaMKII delta antibody (GTX111401) at 1:300 dilution.
Zebrafish tissue extract (30 μg) was separated by 10% SDS-PAGE, and the membrane was blotted with CaMKII delta antibody (GTX111401) diluted at 1:40000.
Immunoprecipitation of CaMKII delta protein from HepG2 whole cell extracts using 5 μg of CaMKII delta antibody (GTX111401).
Western blot analysis was performed using CaMKII delta antibody (GTX111401).
EasyBlot anti-Rabbit IgG (GTX221666-01) was used as a secondary reagent.
CaMK2D antibody detects CaMK2D protein by western blot analysis.
A. 30 μg A549 whole cell lysate/extract
B. 30 μg H1299 whole cell lysate/extract
C. 30 μg HCT116 whole cell lysate/extract
10% SDS-PAGE
CaMK2D antibody (GTX111401) dilution: 1:1000
The HRP-conjugated anti-rabbit IgG antibody (GTX213110-01) was used to detect the primary antibody.
Various whole cell extracts (30 μg) were separated by 10% SDS-PAGE, and the membrane was blotted with CaMKII delta antibody (GTX111401) diluted at 1:1000. The HRP-conjugated anti-rabbit IgG antibody (GTX213110-01) was used to detect the primary antibody.
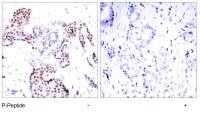
CaMKII delta antibody detects CaMKII delta protein at cytoplasm in mouse muscle by immunohistochemical analysis.
Sample: Paraffin-embedded mouse muscle.
CaMKII delta antibody (GTX111401) diluted at 1:400.
Antigen Retrieval: Citrate buffer, pH 6.0, 15 min
风险提示:丁香通仅作为第三方平台,为商家信息发布提供平台空间。用户咨询产品时请注意保护个人信息及财产安全,合理判断,谨慎选购商品,商家和用户对交易行为负责。对于医疗器械类产品,请先查证核实企业经营资质和医疗器械产品注册证情况。
- 作者
- 内容
- 询问日期
文献和实验Morita T et al., J Vet Med Sci 2014 (PMID:24694942)
Hayashi T et al., FEBS J 2014 (PMID:25158681)
Kao YH et al., Eur J Clin Invest 2014 (PMID:24942561)
Kao YH et al., Int J Cardiol 2013 (PMID:23931972)
Rocco-Machado N et al., J Biol Chem 2022 (PMID:36220393)
Mao Zhang et al., Front Cardiovasc Med 2021 (PMID:35127874)
Lee TW et al., Int J Mol Sci 2021 (PMID:35008591)
Zhong G et al., Front Cell Dev Biol 2021 (PMID:34733849)
Joseph LC et al., Sci Rep 2021 (PMID:34497331)
Himelman E et al., J Clin Invest 2020 (PMID:31910160)
Hung Y et al., Europace 2020 (PMID:32627831)
Liu C et al., Cell Prolif 2020 (PMID:32101357)
Zhang M et al., Nat Cell Biol 2019 (PMID:31481791)
Cruz Junho CV et al., Braz J Med Biol Res 2019 (PMID:31314855)
Li J et al., Nat Commun 2019 (PMID:30962442)
Meese S et al., Front Synaptic Neurosci 2017 (PMID:29046633)
Xu S et al., Nat Commun 2016 (PMID:27739424)
Li S et al., Cell Physiol Biochem 2018 (PMID:29669320)
Jin L et al., J Cell Mol Med 2017 (PMID:29266709)
技术资料暂无技术资料 索取技术资料





![MSH3 antibody [HL2546]](https://custom.dxycdn.com/trademd/upload/pic/2013/11/12/A1383891150.jpg!small.t.1)
![CD86 antibody [BU63] (PE)](https://img1.dxycdn.com/2022/0328/817/6649698171706500453-14.jpg!wh200)
![Frizzled 5 antibody [2D12]](https://img1.dxycdn.com/2022/0328/451/7316199575033500453-14.jpg!wh200)

![Tollip antibody [k1B17]](https://img1.dxycdn.com/2022/0328/887/3798026462020500453-14.jpg!wh200)
