相关产品推荐更多 >
万千商家帮你免费找货
0 人在求购买到急需产品
- 详细信息
- 文献和实验
- 技术资料
- 免疫原:
Recombinant protein encompassing a sequence within the C-terminus region of human Her4 / ErbB4. The exact sequence is proprietary.
- 亚型:
IgG
- 形态:
Liquid
- 保存条件:
Store as concentrated solution. Centrifuge briefly prior to opening vial. For short-term storage (1-2 weeks), store at 4ºC. For long-term storage, aliquot and store at -20ºC or below. Avoid multiple freeze-thaw cycles.
- 克隆性:
Polyclonal
- 标记物:
Unconjugated
- 适应物种:
Human, Mouse, Rat
- 保质期:
12 months from the shipping date of the product.
- 抗原来源:
Human
- 目录编号:
GTX111276
- 级别:
Primary Antibodies
- 库存:
Available
- 供应商:
GeneTex
- 宿主:
Rabbit
- 应用范围:
WB, ICC/IF, IHC-P, IP
- 浓度:
0.97 mg/ml (Please refer to the vial label for the specific concentration.)
- 靶点:
Her4 / ErbB4
- 抗体英文名:
Her4 / ErbB4 antibody [C1C3]
- 抗体名:
Her4 / ErbB4 抗体 [C1C3]
- 规格:
100 μl/25 μl
| 规格: | 100 μl | 产品价格: | ¥4000.0 |
|---|---|---|---|
| 规格: | 25 μl | 产品价格: | ¥1700.0 |
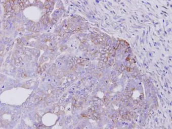
Immunohistochemical analysis of paraffin-embedded NCIN87 xenograft, using ERBB4(v-erb-A)(GTX111276) antibody at 1:500 dilution.
Antigen Retrieval: Trilogy™ (EDTA based, pH 8.0) buffer, 15min
Immunoprecipitation of Her4 / ErbB4 protein from MCF-7 whole cell extract using 4.5 μg of Her4 / ErbB4 antibody [C1C3] (GTX111276).
Western blot analysis was performed using Her4 / ErbB4 antibody [C1C3] (GTX111276) and diluted at 1:500.
EasyBlot HRP-conjugated anti rabbit IgG antibody (GTX221666-01) was used to detect the primary antibody.
ERBB4 antibody [C1C3] detects ERBB4 protein at cytoplasm and nucleus by immunofluorescent analysis.
Sample: MCF-7 cells were fixed in ice-cold MeOH for 5 min.
Green: ERBB4 protein stained by ERBB4 antibody [C1C3] (GTX111276) diluted at 1:500.
Blue: Hoechst 33342 staining.
Various tissue extracts (50 μg) were separated by 5% SDS-PAGE, and the membrane was blotted with Her4 / ErbB4 antibody [C1C3] (GTX111276) diluted at 1:1000. The HRP-conjugated anti-rabbit IgG antibody (GTX213110-01) was used to detect the primary antibody.
Non-transfected (–) and transfected (+) 293T whole cell extracts (30 μg) were separated by 5% SDS-PAGE, and the membrane was blotted with Her4 / ErbB4 antibody [C1C3] (GTX111276) diluted at 1:5000. The HRP-conjugated anti-rabbit IgG antibody (GTX213110-01) was used to detect the primary antibody.
Whole cell extract (30 μg) was separated by 5% SDS-PAGE, and the membrane was blotted with Her4 / ErbB4 antibody [C1C3] (GTX111276) diluted at 1:1000. The HRP-conjugated anti-rabbit IgG antibody (GTX213110-01) was used to detect the primary antibody.
风险提示:丁香通仅作为第三方平台,为商家信息发布提供平台空间。用户咨询产品时请注意保护个人信息及财产安全,合理判断,谨慎选购商品,商家和用户对交易行为负责。对于医疗器械类产品,请先查证核实企业经营资质和医疗器械产品注册证情况。
文献和实验Hsu FN et al., Am J Physiol Endocrinol Metab 2011 (PMID:21364123)
Section.03 小结 好啦,今天关于肿瘤标志物就先介绍到这里了~MCE 提供大量肿瘤标志物抗体,快来 MCE 官网挑选你心仪的抗体吧!点击直达官网。 小伙伴还需要注意:每一个肿瘤标志物,都不是孤立的“判决书”,一定要结合多种检测指标联合判断,才能更准确。 产品推荐 PD-L1 Antibody (YA4674) (HY-P84982) www.medchemexpress.cn/antibody/cd274-pd
技术资料暂无技术资料 索取技术资料





![MEK6 antibody [3H12C8]](https://img1.dxycdn.com/2022/0328/454/2326128691782500453-14.jpg!wh200)
![Aminoacylase 1 antibody [7A11C6C2]](https://img1.dxycdn.com/2022/0328/298/9714628999418700453-14.png!wh200)

![p53 antibody [DO-7]](https://img1.dxycdn.com/2022/0328/872/8609449378864500453-14.jpg!wh200)


