相关产品推荐更多 >
万千商家帮你免费找货
0 人在求购买到急需产品
- 详细信息
- 文献和实验
- 技术资料
- 免疫原:
Recombinant protein encompassing a sequence within the center region of human alpha Actinin 2. The exact sequence is proprietary.
- 亚型:
IgG
- 形态:
Liquid
- 保存条件:
Store as concentrated solution. Centrifuge briefly prior to opening vial. For short-term storage (1-2 weeks), store at 4ºC. For long-term storage, aliquot and store at -20ºC or below. Avoid multiple freeze-thaw cycles.
- 克隆性:
Polyclonal
- 标记物:
Unconjugated
- 适应物种:
Human, Mouse, Rat, Zebrafish
- 保质期:
12 months from the shipping date of the product.
- 抗原来源:
Human
- 目录编号:
GTX111167
- 级别:
Primary Antibodies
- 库存:
Available
- 供应商:
GeneTex
- 宿主:
Rabbit
- 应用范围:
WB, ICC/IF, IHC-P
- 浓度:
1 mg/ml (Please refer to the vial label for the specific concentration.)
- 靶点:
Based on sequence homology, this antibody may cross react with ACTN1 protein.
- 抗体英文名:
alpha Actinin 2 antibody [N2C1], Internal
- 抗体名:
alpha Actinin 2 抗体 [N2C1], Internal
- 规格:
100 μl/25 μl
| 规格: | 100 μl | 产品价格: | ¥4000.0 |
|---|---|---|---|
| 规格: | 25 μl | 产品价格: | ¥1700.0 |
Mouse tissue extract (50 μg) were separated by 7.5% SDS-PAGE, and the membrane was blotted with alpha Actinin 2 antibody [N2C1], Internal (GTX111167) diluted at 1:1000. The HRP-conjugated anti-rabbit IgG antibody (GTX213110-01) was used to detect the primary antibody.
Immunohistochemical analysis of paraffin-embedded zebrafish tissue, using alpha Actinin 2 antibody [N2C1], Internal (GTX111167) at 1:300 dilution.
Sample (10 μg of whole cell lysate)
A: adult zebrafish
7.5% SDS PAGE
GTX111167 diluted at 1:3000
Sample (30 ug of whole cell lysate)
A: A431 (GTX27909)
B: H1299
7.5% SDS PAGE
GTX111167 diluted at 1:1000
alpha Actinin 2 antibody detects alpha Actinin 2 protein by western blot analysis. Rat tissue extracts (50 μg) was separated by 7.5% SDS-PAGE, and the membrane was blotted with alpha Actinin 2 antibody (GTX111167) diluted at 1:5000.
Immunofluorescence analysis of PFA-fixed HeLa, using actinin, alpha 2(GTX111167) antibody at 1:200 dilution.
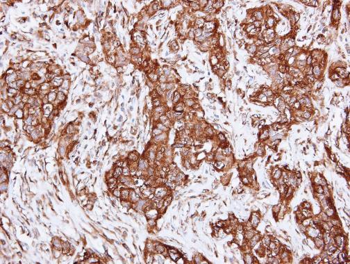
alpha Actinin 2 antibody [N2C1], Internal detects alpha Actinin 2 protein at cytoplasm and membrane on human breast carcinoma by immunohistochemical analysis.
Sample: Paraffin-embedded human breast carcinoma.
alpha Actinin 2 antibody [N2C1], Internal (GTX111167) diluted at 1:250.
Antigen Retrieval: Trilogy™ (EDTA based, pH 8.0) buffer, 15min
Sample (30 ug of whole cell lysate)
A: NIH-3T3
7.5% SDS PAGE
GTX111167 diluted at 1:3000
风险提示:丁香通仅作为第三方平台,为商家信息发布提供平台空间。用户咨询产品时请注意保护个人信息及财产安全,合理判断,谨慎选购商品,商家和用户对交易行为负责。对于医疗器械类产品,请先查证核实企业经营资质和医疗器械产品注册证情况。
文献和实验Protocol for anti-HA antibody Western Blotting
of interest. 2) Transfer proteins in acrylamide gel to nylon membrane. 3) Block overnight @4℃ in PBS (or TBS, it doesn't matter) with 5% non-fat dry milk. I dilute 2.5 mg in 50 ml. 4) Wash off excess milk sol'n with PBS x3 .(important if you are re-using your antibody
secondary antibody review -- data from 99 publications
cytometry used as a control to detect cell responses targeted antigen 7 Alexa Fluor 488 7 Cy3 8 goat IgG Alexa Fluor 488 1:2000 detect antibody binding in human embryonic kidney 293T cells Invitrogen 9 donkey
Protocol for anti-HA antibody Western Blotting
of interest. 2) Transfer proteins in acrylamide gel to nylon membrane 3) Block overnight @4C in PBS (or TBS, it doesn't matter) with 5% non-fat dry milk. I dilute 2.5 mg in 50 ml. 4) Wash off excess milk sol'n with PBS x3 (important if you are re-using
技术资料暂无技术资料 索取技术资料










