相关产品推荐更多 >
万千商家帮你免费找货
0 人在求购买到急需产品
- 详细信息
- 文献和实验
- 技术资料
- 免疫原:
Recombinant protein encompassing a sequence within the center region of human Hsp90 alpha. The exact sequence is proprietary.
- 亚型:
IgG
- 形态:
Liquid
- 保存条件:
Store as concentrated solution. Centrifuge briefly prior to opening vial. For short-term storage (1-2 weeks), store at 4ºC. For long-term storage, aliquot and store at -20ºC or below. Avoid multiple freeze-thaw cycles.
- 克隆性:
Polyclonal
- 标记物:
Unconjugated
- 适应物种:
Human, Mouse, Rat, Drosophila, Monkey, Nematode
- 保质期:
12 months from the shipping date of the product.
- 抗原来源:
Human
- 目录编号:
GTX109753
- 级别:
Primary Antibodies
- 库存:
Available
- 供应商:
GeneTex
- 宿主:
Rabbit
- 应用范围:
WB, ICC/IF, IHC-P, IP
- 浓度:
0.27 mg/ml (Please refer to the vial label for the specific concentration.)
- 靶点:
Knockdown/Knockout validation was supported by customer review data.
- 抗体英文名:
Hsp90 alpha antibody
- 抗体名:
Hsp90 alpha 抗体
- 规格:
100 μl/25 μl
| 规格: | 100 μl | 产品价格: | ¥4000.0 |
|---|---|---|---|
| 规格: | 25 μl | 产品价格: | ¥1700.0 |
Whole cell extract (30 μg) was separated by 7.5% SDS-PAGE, and the membrane was blotted with Hsp90 alpha antibody (GTX109753) diluted at 1:1000. The HRP-conjugated anti-rabbit IgG antibody (GTX213110-01) was used to detect the primary antibody.
Various whole cell extracts (30 μg) were separated by 7.5% SDS-PAGE, and the membrane was blotted with Hsp90 alpha antibody (GTX109753) diluted at 1:10000. The HRP-conjugated anti-rabbit IgG antibody (GTX213110-01) was used to detect the primary antibody.
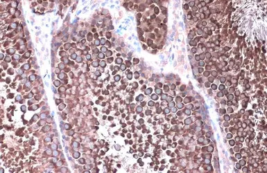
Hsp90 alpha antibody detects Hsp90 alpha protein at cytoplasm by immunohistochemical analysis.
Sample: Paraffin-embedded rat testis.
Hsp90 alpha stained by Hsp90 alpha antibody (GTX109753) diluted at 1:1000.
Antigen Retrieval: Citrate buffer, pH 6.0, 15 min
Immunoprecipitation of Hsp90 alpha protein from 293T whole cell extracts using 5 μg of Hsp90 alpha antibody (GTX109753).
Western blot analysis was performed using Hsp90 alpha antibody (GTX109753).
EasyBlot anti-Rabbit IgG (GTX221666-01) was used as a secondary reagent.
Various tissue extracts (50 μg) were separated by 7.5% SDS-PAGE, and the membrane was blotted with Hsp90 alpha antibody (GTX109753) diluted at 1:10000. The HRP-conjugated anti-rabbit IgG antibody (GTX213110-01) was used to detect the primary antibody.
Hsp90 alpha antibody detects Hsp90 alpha protein at cytoplasm in human colon carcinoma by immunohistochemical analysis.
Sample: Paraffin-embedded human colon carcinoma.
Hsp90 alpha antibody (GTX109753) diluted at 1:500.
Antigen Retrieval: Citrate buffer, pH 6.0, 15 min
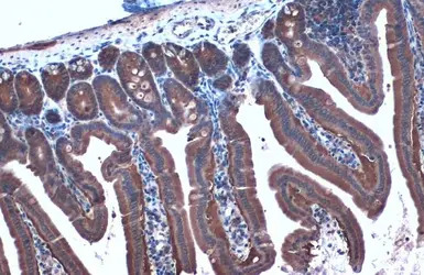
Hsp90 alpha antibody detects Hsp90 alpha protein at cytoplasm by immunohistochemical analysis.
Sample: Paraffin-embedded mouse intestine.
Hsp90 alpha stained by Hsp90 alpha antibody (GTX109753) diluted at 1:1000.
Antigen Retrieval: Citrate buffer, pH 6.0, 15 min
Hsp90 alpha antibody detects Hsp90 alpha protein at cytoplasm by immunofluorescent analysis.
Sample: HeLa cells were fixed in ice-cold MeOH for 5 min.
Green: Hsp90 alpha stained by Hsp90 alpha antibody (GTX109753) diluted at 1:500.
Blue: Hoechst 33342 staining.
Hsp90 alpha antibody detects Hsp90 alpha protein at cytoplasm by immunohistochemical analysis.
Sample: Paraffin-embedded rat testis.
Hsp90 alpha stained by Hsp90 alpha antibody (GTX109753) diluted at 1:1000.
Antigen Retrieval: Citrate buffer, pH 6.0, 15 min
Hsp90 alpha antibody detects Hsp90 alpha protein at cytoplasm by immunohistochemical analysis.
Sample: Paraffin-embedded mouse duodenum.
Hsp90 alpha stained by Hsp90 alpha antibody (GTX109753) diluted at 1:1000.
Antigen Retrieval: Citrate buffer, pH 6.0, 15 min
风险提示:丁香通仅作为第三方平台,为商家信息发布提供平台空间。用户咨询产品时请注意保护个人信息及财产安全,合理判断,谨慎选购商品,商家和用户对交易行为负责。对于医疗器械类产品,请先查证核实企业经营资质和医疗器械产品注册证情况。
文献和实验Chen HY et al., Vet Parasitol 2015 (PMID:26215928)
Chen HY et al., Vet Parasitol 2014 (PMID:25269988)
Lee WY et al., Toxicol Appl Pharmacol 2014 (PMID:24211270)
Liu SH et al., Biochem Pharmacol 2014 (PMID:24161787)
Lista MJ et al., J Virol 2023 (PMID:36633408)
Lista MJ et al., J Virol 2022 (PMID:36350154)
Pariollaud M et al., Sci Adv 2022 (PMID:36170373)
Xiaowei Song et al., Front Microbiol 2021 (PMID:35082770)
Hang Yuan et al., Int J Mol Sci 2021 (PMID:34445348)
Ono K et al., J Extracell Vesicles 2020 (PMID:33144925)
Winstone H et al., J Virol 2021 (PMID:33563656)
Lin TY et al., Phytomedicine 2021 (PMID:33113507)
Tung H et al., PLoS One 2016 (PMID:26863132)
Gunin AG et al., Adv Gerontol 2020 (PMID:32362082)
Kok BP et al., Nat Chem Biol 2020 (PMID:32514184)
Chen CC et al., Oncoimmunology 2018 (PMID:29721383)
Eguchi T et al., Cells 2020 (PMID:32204513)
Iida R et al., Oxid Med Cell Longev 2018 (PMID:30310528)
Chua KV et al., Cells 2019 (PMID:31905895)
Cai H et al., Int J Mol Med 2020 (PMID:31922237)
Ficarelli M et al., Elife 2019 (PMID:31284899)
Qin F et al., J Enzyme Inhib Med Chem 2019 (PMID:30957641)
Suzuki S et al., Sci Rep 2019 (PMID:30846715)
Shahabi S et al., Cancer Res 2019 (PMID:30796052)
Pei-Ying Li et al., RSC Adv. 2018 8()
Yuan SH et al., Hum Mol Genet 2018 (PMID:30137327)
Ono K et al., J Cell Biochem 2018 (PMID:29768689)
Fan CS et al., Oncotarget 2018 (PMID:29435158)
Luu BE et al., Cell Stress Chaperones 2017 (PMID:28676984)
Hiramatsu N et al., Mol Biol Cell 2014 (PMID:24623724)
Chen X et al., Redox Biol 2017 (PMID:28499253)
Chiang WC et al., Proc Natl Acad Sci U S A 2017 (PMID:28028229)
Wu DW et al., Cell Death Dis 2016 (PMID:27362807)
Succoio M et al., J Proteomics 2015 (PMID:26206181)
技术资料暂无技术资料 索取技术资料






![CD200R antibody [OX-110]](https://img1.dxycdn.com/2022/0328/982/6234549240024400453-14.jpg!wh200)



