相关产品推荐更多 >
万千商家帮你免费找货
0 人在求购买到急需产品
- 详细信息
- 文献和实验
- 技术资料
- 免疫原:
Recombinant protein encompassing a sequence within the center region of human Nucleoporin p62. The exact sequence is proprietary.
- 亚型:
IgG
- 形态:
Liquid
- 保存条件:
Store as concentrated solution. Centrifuge briefly prior to opening vial. For short-term storage (1-2 weeks), store at 4ºC. For long-term storage, aliquot and store at -20ºC or below. Avoid multiple freeze-thaw cycles.
- 克隆性:
Polyclonal
- 标记物:
Unconjugated
- 适应物种:
Human, Mouse, Rat
- 保质期:
12 months from the shipping date of the product.
- 抗原来源:
Human
- 目录编号:
GTX107973
- 级别:
Primary Antibodies
- 库存:
Available
- 供应商:
GeneTex
- 宿主:
Rabbit
- 应用范围:
WB, ICC/IF, IHC-P, IP
- 浓度:
1 mg/ml (Please refer to the vial label for the specific concentration.)
- 靶点:
Nucleoporin p62
- 抗体英文名:
Nucleoporin p62 antibody
- 抗体名:
Nucleoporin p62 抗体
- 规格:
100 μl/25 μl
| 规格: | 100 μl | 产品价格: | ¥4000.0 |
|---|---|---|---|
| 规格: | 25 μl | 产品价格: | ¥1700.0 |
Sample (30 μg of whole cell lysate)
A: NIH-3T3
B: JC
C: BCL-1
D: C2C12
7.5% SDS PAGE
GTX107973 diluted at 1:5000
The HRP-conjugated anti-rabbit IgG antibody (GTX213110-01) was used to detect the primary antibody.
Nucleoporin p62 antibody immunoprecipitates NUP62 protein in IP experiments.
IP samples: 293T whole cell extract
A. Control with 4 μg of preimmune Rabbit IgG
B. Immunoprecipitation of NUP62 protein by 4 μg Nucleoporin p62 antibody (GTX107973)
7.5 % SDS-PAGE
The immunoprecipitated NUP62 protein was detected by Nucleoporin p62 antibody (GTX107973) diluted at 1:1000.
[EasyBlot anti-rabbit IgG (GTX221666-01) was used as a secondary reagent]
Nucleoporin p62 antibody detects Nucleoporin p62 protein at nucleus by immunofluorescent analysis.
Sample: HeLa cells were fixed in 4% PFA at RT for 15 min.
Green: Nucleoporin p62 protein stained by Nucleoporin p62 antibody (GTX107973) diluted at 1:750.
Blue: Hoechst 33342 staining.
Scale bar = 10 μm.
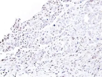
Immunohistochemical analysis of paraffin-embedded NCIN87 xenograft, using nucleoporin p62 (GTX107973) antibody at 1:500 dilution.
Antigen Retrieval: Trilogy™ (EDTA based, pH 8.0) buffer, 15min
Nucleoporin p62 antibody detects Nucleoporin p62 protein at nucleus by immunohistochemical analysis.
Sample: Paraffin-embedded rat brain.
Nucleoporin p62 stained by Nucleoporin p62 antibody (GTX107973) diluted at 1:500.
Antigen Retrieval: Citrate buffer, pH 6.0, 15 min
Nucleoporin p62 antibody detects Nucleoporin p62 protein by western blot analysis. Whole cell extracts (30 μg) was separated by 10% SDS-PAGE, and blotted with Nucleoporin p62 antibody (GTX107973) diluted by 1:5000. The HRP-conjugated anti-rabbit IgG antibody (GTX213110-01) was used to detect the primary antibody.
Sample (30 μg of whole cell lysate)
A: PC-12
7.5% SDS PAGE
GTX107973 diluted at 1:5000
The HRP-conjugated anti-rabbit IgG antibody (GTX213110-01) was used to detect the primary antibody.
风险提示:丁香通仅作为第三方平台,为商家信息发布提供平台空间。用户咨询产品时请注意保护个人信息及财产安全,合理判断,谨慎选购商品,商家和用户对交易行为负责。对于医疗器械类产品,请先查证核实企业经营资质和医疗器械产品注册证情况。
文献和实验Rodriguez-Bravo V et al., Cell 2018 (PMID:30100187)
Gu Y et al., Biochem Pharmacol 2018 (PMID:29559311)
Li-Li Wen et al., PLoS One 2021 (PMID:33471797)
Identification of Tumor-Associated Antigens as Diagnostic and Predictive Biomarkers in Cancer
be involved in malignant transformation. In this manner, several novel TAAs including HCC1, p62, p90, and others have been identified. In extension of these studies, we evaluate the sensitivity and specificity of different antigen-antibody systems as markers
TRAF‐Mediated TNFR‐Family Signaling
1) and localization to chromosome 12p13. Genomics 13:219‐224. Gamper, C., van Eyndhoven, W.G., Schweiger, E., Mossbacher, M., Koo, B., and Lederman, S. 2000. TRAF‐3 interacts with p62
技术资料暂无技术资料 索取技术资料





![Oncostatin M antibody [2B6]](https://img1.dxycdn.com/2022/0328/209/9044125507128500453-14.jpg!wh200)
![Cytokeratin 2 antibody [rKRTH/2148]](https://img1.dxycdn.com/2022/0328/471/0552263065249700453-14.jpg!wh200)
![Hexokinase 1 antibody [3A10]](https://img1.dxycdn.com/2022/0328/323/2489300458427500453-14.jpg!wh200)
![MLK1 antibody [N2N3]](https://img1.dxycdn.com/2022/0328/868/0264661327110300453-14.jpg!wh200)

