相关产品推荐更多 >
万千商家帮你免费找货
0 人在求购买到急需产品
- 详细信息
- 文献和实验
- 技术资料
- 免疫原:
Recombinant protein encompassing a sequence within the center region of human ZAP70. The exact sequence is proprietary.
- 亚型:
IgG
- 形态:
Liquid
- 保存条件:
Store as concentrated solution. Centrifuge briefly prior to opening vial. For short-term storage (1-2 weeks), store at 4ºC. For long-term storage, aliquot and store at -20ºC or below. Avoid multiple freeze-thaw cycles.
- 克隆性:
Polyclonal
- 标记物:
Unconjugated
- 适应物种:
Human
- 保质期:
12 months from the shipping date of the product.
- 抗原来源:
Human
- 目录编号:
GTX107950
- 级别:
Primary Antibodies
- 库存:
Available
- 供应商:
GeneTex
- 宿主:
Rabbit
- 应用范围:
WB, ICC/IF, IHC-P, IP
- 浓度:
1.21 mg/ml (Please refer to the vial label for the specific concentration.)
- 靶点:
IP/MS validation was supported by references (PMID:30377390)
- 抗体英文名:
ZAP70 antibody
- 抗体名:
ZAP70 抗体
- 规格:
100 μl/25 μl
| 规格: | 100 μl | 产品价格: | ¥4000.0 |
|---|---|---|---|
| 规格: | 25 μl | 产品价格: | ¥1700.0 |
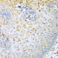
Immunohistochemical analysis of paraffin-embedded U373 xenograft, using ZAP70(GTX107950) antibody at 1:500 dilution.
Antigen Retrieval: Trilogy™ (EDTA based, pH 8.0) buffer, 15min
ZAP70 antibody detects ZAP70 protein at cell membrane and cytoplasm by immunofluorescent analysis.
Sample: Jurkat cells were fixed in 4% PFA at RT for 15 min.
Green: ZAP70 protein stained by ZAP70 antibody (GTX107950) diluted at 1:500.
Blue: Hoechst 33342 staining.
Immunoprecipitation of ZAP70 protein from Jurkat whole cell extracts using 5 μg of ZAP70 antibody (GTX107950).
Western blot analysis was performed using ZAP70 antibody (GTX107950) diluted at 1:1000.
EasyBlot anti-Rabbit IgG (GTX221666-01) was used as a secondary reagent.
Whole cell extract (30 μg) was separated by 10% SDS-PAGE, and the membrane was blotted with ZAP70 antibody (GTX107950) diluted at 1:3000 and competitor's antibody (SC-574) diluted by 1:200.
风险提示:丁香通仅作为第三方平台,为商家信息发布提供平台空间。用户咨询产品时请注意保护个人信息及财产安全,合理判断,谨慎选购商品,商家和用户对交易行为负责。对于医疗器械类产品,请先查证核实企业经营资质和医疗器械产品注册证情况。
文献和实验Sikorski K et al., Nat Methods 2018 (PMID:30377371)
技术资料暂无技术资料 索取技术资料










