相关产品推荐更多 >
万千商家帮你免费找货
0 人在求购买到急需产品
- 详细信息
- 技术资料
- 免疫原:
Recombinant protein encompassing a sequence within the center region of human ERR alpha. The exact sequence is proprietary.
- 亚型:
IgG
- 形态:
Liquid
- 保存条件:
Store as concentrated solution. Centrifuge briefly prior to opening vial. For short-term storage (1-2 weeks), store at 4ºC. For long-term storage, aliquot and store at -20ºC or below. Avoid multiple freeze-thaw cycles.
- 克隆性:
Polyclonal
- 标记物:
Unconjugated
- 适应物种:
Human
- 保质期:
12 months from the shipping date of the product.
- 抗原来源:
Human
- 目录编号:
GTX106233
- 级别:
Primary Antibodies
- 库存:
Available
- 供应商:
GeneTex
- 宿主:
Rabbit
- 应用范围:
WB, IHC-P, IP, ChIP assay
- 浓度:
0.93 mg/ml (Please refer to the vial label for the specific concentration.)
- 靶点:
ERR alpha
- 抗体英文名:
ERR alpha antibody [N1C3]
- 抗体名:
ERR alpha 抗体 [N1C3]
- 规格:
100 μl/25 μl
| 规格: | 100 μl | 产品价格: | ¥4000.0 |
|---|---|---|---|
| 规格: | 25 μl | 产品价格: | ¥1700.0 |
Sample (30 ug of whole cell lysate)
A: 293T
10% SDS PAGE
GTX106233 diluted at 1:2000
Cross-linked ChIP was performed with MCF-7 chromatin extract and 5 μg of either control rabbit IgG or anti-ERR alpha antibody. The precipitated DNA was detected by PCR with primer set targeting to PS2 promoter or GAPDH promoter.
ERR alpha antibody immunoprecipitates ERR alpha protein in IP experiments. IP Sample: 293T whole cell lysate/extract A : 30 μg whole cell lysate/extract of ERR alpha protein expressing 293T cells B : Control with 2.5 μg of pre-immune rabbit IgG C : Immunoprecipitation of ERR alpha by 2.5 μg of ERR alpha antibody (GTX106233) 10% SDS-PAGE The immunoprecipitated ERR alpha protein was detected by ERR alpha antibody (GTX106233) diluted at 1 : 1000. EasyBlot anti-rabbit IgG (HRP) (GTX221666-01) was used as a secondary reagent.
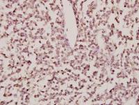
ERR alpha antibody [N1C3] detects ERR alpha protein at cytoplasm and nucleus by immunohistochemical analysis.
Sample: Paraffin-embedded human intestine.
ERR alpha stained by ERR alpha antibody [N1C3] (GTX106233) diluted at 1:500.
Antigen Retrieval: Citrate buffer, pH 6.0, 15 min
风险提示:丁香通仅作为第三方平台,为商家信息发布提供平台空间。用户咨询产品时请注意保护个人信息及财产安全,合理判断,谨慎选购商品,商家和用户对交易行为负责。对于医疗器械类产品,请先查证核实企业经营资质和医疗器械产品注册证情况。
技术资料暂无技术资料 索取技术资料


![ERR alpha antibody [N1C3]](https://img1.dxycdn.com/2022/0328/250/1344283708916200453-14.jpg)




![Venezuelan Equine Encephalitis Virus nsP1 antibody [HL1593]](https://img1.dxycdn.com/2023/0605/097/8026298232201755661-14.jpg!wh200)
![VEGFA antibody [4G3]](https://img1.dxycdn.com/2022/0328/867/7176708909387500453-14.jpg!wh200)
![HSF1 antibody [10H8]](https://custom.dxycdn.com/trademd/upload/pic/2013/11/12/A1383891150.jpg!small.t.1)
