相关产品推荐更多 >
万千商家帮你免费找货
0 人在求购买到急需产品
- 详细信息
- 文献和实验
- 技术资料
- 免疫原:
Recombinant protein encompassing a sequence within the center region of human GSTA2. The exact sequence is proprietary.
- 亚型:
IgG
- 形态:
Liquid
- 保存条件:
Store as concentrated solution. Centrifuge briefly prior to opening vial. For short-term storage (1-2 weeks), store at 4ºC. For long-term storage, aliquot and store at -20ºC or below. Avoid multiple freeze-thaw cycles.
- 克隆性:
Polyclonal
- 标记物:
Unconjugated
- 适应物种:
Human, Rat
- 保质期:
12 months from the shipping date of the product.
- 抗原来源:
Human
- 目录编号:
GTX105600
- 级别:
Primary Antibodies
- 库存:
Available
- 供应商:
GeneTex
- 宿主:
Rabbit
- 应用范围:
WB, ICC/IF, IHC-P
- 浓度:
1 mg/ml (Please refer to the vial label for the specific concentration.)
- 靶点:
This antibody was raised against human GSTA2 antibody. It is able to detect GSTA1, GSTA2, and GSTA3 proteins but not cross reacts with GSTA4 or GSTA5 proteins based on customer’s feedback.
- 抗体英文名:
GSAT1 / GSAT2 / GSAT3 antibody
- 抗体名:
GSAT1 / GSAT2 / GSAT3 抗体
- 规格:
100 μl/25 μl
| 规格: | 100 μl | 产品价格: | ¥4000.0 |
|---|---|---|---|
| 规格: | 25 μl | 产品价格: | ¥1700.0 |
Immunofluorescence analysis of methanol-fixed Hep G2, using GSTA1 / GSTA2 / GSTA3 antibody (GTX105600) at 1:500 dilution.
Sample(30 μg of whole cell lysate)
A:Hep G2(GTX27900)
12% SDS PAGE
GTX105600 diluted at 1:3000
The HRP-conjugated anti-rabbit IgG antibody (GTX213110-01) was used to detect the primary antibody.
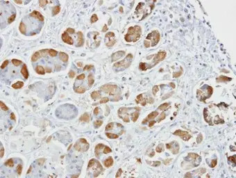
Immunohistochemical analysis of paraffin-embedded human stomach, using GSTA1 / GSTA2 / GSTA3 antibody (GTX105600) at 1:100 dilution.
Antigen Retrieval: Trilogy™ (EDTA based, pH 8.0) buffer, 15min
风险提示:丁香通仅作为第三方平台,为商家信息发布提供平台空间。用户咨询产品时请注意保护个人信息及财产安全,合理判断,谨慎选购商品,商家和用户对交易行为负责。对于医疗器械类产品,请先查证核实企业经营资质和医疗器械产品注册证情况。
文献和实验Chai J et al., PLoS One 2015 (PMID:25798860)
Feng XC et al., Int J Clin Exp Pathol 2015 (PMID:25755705)
Chai J et al., Int J Clin Exp Med 2015 (PMID:25932098)
人转录因子E2F1 ( E2F1 )ELISA 试剂盒 原理 本实验采用双抗体夹心 ABC-ELISA 法。用抗人 E2F1 单抗包被于酶标板上,标准品和样品中的 E2F1与单抗结合,加入生物素化的抗人 E2F1 ,形成免疫复合物连接在板上,辣根过氧化物酶标记的 Streptavidin 与生物素结合,加入底物工作液显蓝色,最后加终止液硫酸,在 450nm 处测 OD 值,E2F1 浓度与 OD 值成正比
Notes on Making Rat x Y3 Monoclonal Antibody Producing Hybridomas
Although Y3/Ag1.2.3 has its own myeloma light chain, their are numerous characteristics that make this a better parent line for making hybridomas than the 'Y0' chain loss variants or using NS0 to make rat x mouse hybrids. These are: a) Hybridomas
There is an increasing interest in the preparation of rat � rat hybridomas, because they have been found to be more stable in culture than mouse hybridomas and they secrete consistently high levels (10 �g/mL and above) of monoclonal antibody
技术资料暂无技术资料 索取技术资料





![Prolactin Receptor antibody [PRLR/3785R]](https://img1.dxycdn.com/2022/0328/751/1962997027059700453-14.jpg!wh200)




