相关产品推荐更多 >
万千商家帮你免费找货
0 人在求购买到急需产品
- 详细信息
- 文献和实验
- 技术资料
- 免疫原:
Recombinant protein encompassing a sequence within the center region of human beta-Gal. The exact sequence is proprietary.
- 亚型:
IgG
- 形态:
Liquid
- 保存条件:
Store as concentrated solution. Centrifuge briefly prior to opening vial. For short-term storage (1-2 weeks), store at 4ºC. For long-term storage, aliquot and store at -20ºC or below. Avoid multiple freeze-thaw cycles.
- 克隆性:
Polyclonal
- 标记物:
Unconjugated
- 适应物种:
Human, Rat
- 保质期:
12 months from the shipping date of the product.
- 抗原来源:
Human
- 目录编号:
GTX104360
- 级别:
Primary Antibodies
- 库存:
Available
- 供应商:
GeneTex
- 宿主:
Rabbit
- 应用范围:
WB, ICC/IF, IHC-P
- 浓度:
0.35 mg/ml (Please refer to the vial label for the specific concentration.)
- 靶点:
beta-Gal
- 抗体英文名:
beta-Gal antibody [N2C3]
- 抗体名:
beta-Gal 抗体 [N2C3]
- 规格:
100 μl/25 μl
| 规格: | 100 μl | 产品价格: | ¥4000.0 |
|---|---|---|---|
| 规格: | 25 μl | 产品价格: | ¥1700.0 |
Various whole cell extracts (30 μg) were separated by 7.5% SDS-PAGE, and the membrane was blotted with beta-Gal antibody [N2C3] (GTX104360) diluted at 1:1000.
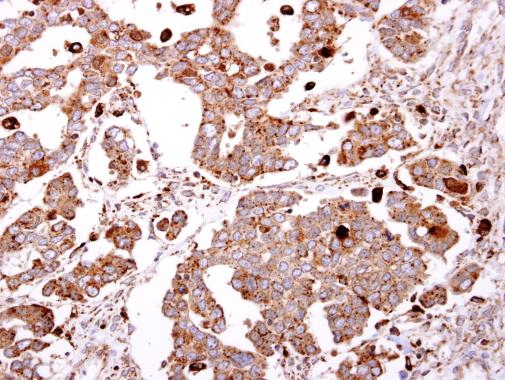
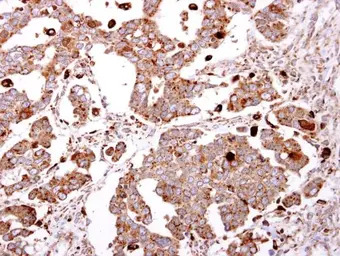
beta-Gal antibody [N2C3] detects beta-Gal protein at cytosol on human ovarian carcinoma by immunohistochemical analysis.
Sample: Paraffin-embedded human ovarian carcinoma.
beta-Gal antibody [N2C3] (GTX104360) dilution: 1:500.
Antigen Retrieval: Trilogy™ (EDTA based, pH 8.0) buffer, 15min
风险提示:丁香通仅作为第三方平台,为商家信息发布提供平台空间。用户咨询产品时请注意保护个人信息及财产安全,合理判断,谨慎选购商品,商家和用户对交易行为负责。对于医疗器械类产品,请先查证核实企业经营资质和医疗器械产品注册证情况。
文献和实验Nagai-Okatani C et al., PLoS One 2016 (PMID:27281159)
Chang YC et al., Mol Cancer 2017 (PMID:28784136)
Beta-Gal staining in primary neurons
Beta-Gal staining in primary neurons Fix cells w/ 4 ml fix soln/10cm or 60 cm dish, 37 C, 5 min Fix soln.: for 100 ml (use w/i 1 wk) 5.4 ml 37 % formaldehyde (Final 2%) 800 ul 25% Glutaraldehyde (fin
Anticardiolipin Antibody and Anti-beta 2 Glycoprotein I Antibody Assays
) antibodies and anti-beta 2 glycoprotein I (β2-GPI) antibodies. Other autoantibodies, such as those directed against anionic phospholipids, can also be assayed; however they are not of clinical significance. Participation in a quality assurance
Beta-gal staining of eukaryotic cells in vitro
incubator (T/C) for 2h - o/n. NOTE: The plate will dry out quickly if incubated in normal oven. 8. All +ve cells should stain blue (shades of from deep, royal, to light) within 2h, background shows up a/f 3-4 days incubation in X-gal soln (should include
技术资料暂无技术资料 索取技术资料





![CD62L antibody [MEL-14] (PE)](https://img1.dxycdn.com/2022/0328/417/0550757894064500453-14.gif!wh200)

![Venezuelan Equine Encephalitis Virus nsP1 antibody [HL1472]](https://img1.dxycdn.com/2022/0615/311/0213809843891064553-14.jpg!wh200)

![Chikungunya virus nsP2 antibody [HL1488]](https://img1.dxycdn.com/2023/0605/237/8408142144890755661-14.jpg!wh200)

