相关产品推荐更多 >
万千商家帮你免费找货
0 人在求购买到急需产品
- 详细信息
- 文献和实验
- 技术资料
- 免疫原:
Recombinant protein encompassing a sequence within the center region of human Ferredoxin Reductase. The exact sequence is proprietary.
- 亚型:
IgG
- 形态:
Liquid
- 保存条件:
Store as concentrated solution. Centrifuge briefly prior to opening vial. For short-term storage (1-2 weeks), store at 4ºC. For long-term storage, aliquot and store at -20ºC or below. Avoid multiple freeze-thaw cycles.
- 克隆性:
Polyclonal
- 标记物:
Unconjugated
- 适应物种:
Human, Rat
- 保质期:
12 months from the shipping date of the product.
- 抗原来源:
Human
- 目录编号:
GTX104281
- 级别:
Primary Antibodies
- 库存:
Available
- 供应商:
GeneTex
- 宿主:
Rabbit
- 应用范围:
WB, IHC-P
- 浓度:
0.97 mg/ml (Please refer to the vial label for the specific concentration.)
- 靶点:
Ferredoxin Reductase
- 抗体英文名:
Ferredoxin Reductase antibody
- 抗体名:
Ferredoxin Reductase 抗体
- 规格:
100 μl/25 μl
| 规格: | 100 μl | 产品价格: | ¥4000.0 |
|---|---|---|---|
| 规格: | 25 μl | 产品价格: | ¥1700.0 |
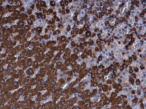
Ferredoxin Reductase antibody detects Ferredoxin Reductase protein at mitochondria in rat adrenal gland by immunohistochemical analysis.
Sample: Paraffin-embedded rat adrenal gland.
Ferredoxin Reductase antibody (GTX104281) diluted at 1:500.
Antigen Retrieval: Citrate buffer, pH 6.0, 15 min
Sample (30 ug of whole cell lysate)
A: A549
B: HCT116
10% SDS PAGE
GTX104281 diluted at 1:1000
Immunohistochemical analysis of paraffin-embedded U87 xenograft, using Ferredoxin Reductase(GTX104281) antibody at 1:500 dilution.
Antigen Retrieval: Trilogy™ (EDTA based, pH 8.0) buffer, 15min
风险提示:丁香通仅作为第三方平台,为商家信息发布提供平台空间。用户咨询产品时请注意保护个人信息及财产安全,合理判断,谨慎选购商品,商家和用户对交易行为负责。对于医疗器械类产品,请先查证核实企业经营资质和医疗器械产品注册证情况。
文献和实验secondary antibody review -- data from 99 publications
cytometry used as a control to detect cell responses targeted antigen 7 Alexa Fluor 488 7 Cy3 8 goat IgG Alexa Fluor 488 1:2000 detect antibody binding in human embryonic kidney 293T cells Invitrogen 9 donkey
Nanoscale-Engineered Cytochrome P450 System with a Branch Structure
Most of the bacterial cytochrome P450 s require two kinds of electron transfer proteins, ferredoxin and ferredoxin reductase, and thus P450 s do not show catalytic activity by themselves. A microbial transglutaminase-mediated site-specific
v468.Chapter 3 分泌型跨膜相关蛋白提纯及Wnt抑制活性
). 9. Secondary antibody to use with goat polyclonal reagent: donkeyanti-goat IgG-horseradish peroxidase (HRP) (sc-2056;Santa Cruz Biotechnology). 10. Secondary antibody to use with rabbit polyclonal reagent: donkey anti-rabbit IgG-HRP (#NA934V, GE
技术资料暂无技术资料 索取技术资料





![p27 Kip1 antibody [HL2508]](https://custom.dxycdn.com/trademd/upload/pic/2013/11/12/A1383891150.jpg!small.t.1)
![Acetyl-CoA Carboxylase 1 antibody [RM232]](https://img1.dxycdn.com/2022/0328/158/2729200995643400453-14.jpg!wh200)
![DRP1 antibody [4E11B11]](https://img1.dxycdn.com/2022/0328/372/8390736435443500453-14.jpg!wh200)

![CD44 antibody [DF1485]](https://img1.dxycdn.com/2022/0328/010/2225366287489600453-14.jpg!wh200)

