相关产品推荐更多 >
万千商家帮你免费找货
0 人在求购买到急需产品
- 详细信息
- 文献和实验
- 技术资料
- 免疫原:
Recombinant protein encompassing a sequence within the center region of human Laminin beta 3. The exact sequence is proprietary.
- 亚型:
IgG
- 形态:
Liquid
- 保存条件:
Store as concentrated solution. Centrifuge briefly prior to opening vial. For short-term storage (1-2 weeks), store at 4ºC. For long-term storage, aliquot and store at -20ºC or below. Avoid multiple freeze-thaw cycles.
- 克隆性:
Polyclonal
- 标记物:
Unconjugated
- 适应物种:
Human, Mouse
- 保质期:
12 months from the shipping date of the product.
- 抗原来源:
Human
- 目录编号:
GTX103736
- 级别:
Primary Antibodies
- 库存:
Available
- 供应商:
GeneTex
- 宿主:
Rabbit
- 应用范围:
WB, ICC/IF, IHC-P
- 浓度:
0.46 mg/ml (Please refer to the vial label for the specific concentration.)
- 靶点:
Laminin beta 3
- 抗体英文名:
Laminin beta 3 antibody [C1C2], Internal
- 抗体名:
Laminin beta 3 抗体 [C1C2], Internal
- 规格:
100 μl/25 μl
| 规格: | 100 μl | 产品价格: | ¥4000.0 |
|---|---|---|---|
| 规格: | 25 μl | 产品价格: | ¥1700.0 |
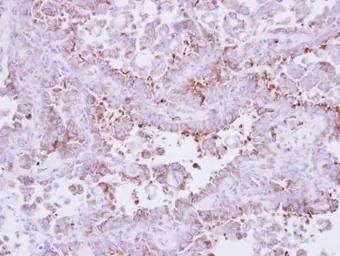
Immunohistochemical analysis of paraffin-embedded human lung cancer, using Laminin beta 3(GTX103736) antibody at 1:250 dilution.
Antigen Retrieval: Trilogy™ (EDTA based, pH 8.0) buffer, 15min
Sample (30 μg of whole cell lysate)
A:NIH-3T3
7.5% SDS PAGE
GTX103736 diluted at 1:1000
The HRP-conjugated anti-rabbit IgG antibody (GTX213110-01) was used to detect the primary antibody.
Laminin beta 3 antibody [C1C2], Internal detects Laminin beta 3 protein by immunofluorescent analysis.
Sample: A431 cells were fixed in 4% PFA at RT for 15 min.
Green: Laminin beta 3 stained by Laminin beta 3 antibody [C1C2], Internal (GTX103736) diluted at 1:500.
Blue: Hoechst 33342 staining.
Whole cell extract (30 μg) was separated by 5% SDS-PAGE, and the membrane was blotted with Laminin beta 3 antibody [C1C2], Internal (GTX103736) diluted at 1:1000. The HRP-conjugated anti-rabbit IgG antibody (GTX213110-01) was used to detect the primary antibody.
风险提示:丁香通仅作为第三方平台,为商家信息发布提供平台空间。用户咨询产品时请注意保护个人信息及财产安全,合理判断,谨慎选购商品,商家和用户对交易行为负责。对于医疗器械类产品,请先查证核实企业经营资质和医疗器械产品注册证情况。
文献和实验Uehara N et al., Lab Invest 2017 (PMID:28581488)
secondary antibody review -- data from 99 publications
cytometry used as a control to detect cell responses targeted antigen 7 Alexa Fluor 488 7 Cy3 8 goat IgG Alexa Fluor 488 1:2000 detect antibody binding in human embryonic kidney 293T cells Invitrogen 9 donkey
Antigen Design Sera Purification Tech Sheet
for antibody generation. Algorithms for predicting protein characteristics such as hydrophilicity/hydrophobicity and secondary structure regions such as alpha-helix, beta-sheet and beta-turn aid selection of a potentially exposed, immunogenic internal
Antigen Design Sera Purification Tech Sheet
should not be included in the sequence selected for antibody generation. Algorithms for predicting protein characteristics such as hydrophilicity/hydrophobicity and secondary structure regions such as alpha-helix, beta-sheet and beta-turn aid selection
技术资料暂无技术资料 索取技术资料







![PDGF beta antibody [5F66]](https://img1.dxycdn.com/2022/0328/108/8211650217269400453-14.jpg!wh200)



