相关产品推荐更多 >
万千商家帮你免费找货
0 人在求购买到急需产品
- 详细信息
- 询价记录
- 文献和实验
- 技术资料
- 免疫原:
Recombinant protein encompassing a sequence within the center region of human ENO1. The exact sequence is proprietary.
- 亚型:
IgG
- 形态:
Liquid
- 保存条件:
Store as concentrated solution. Centrifuge briefly prior to opening vial. For short-term storage (1-2 weeks), store at 4ºC. For long-term storage, aliquot and store at -20ºC or below. Avoid multiple freeze-thaw cycles.
- 克隆性:
Polyclonal
- 标记物:
Unconjugated
- 适应物种:
Human, Mouse, Rat, Zebrafish
- 保质期:
12 months from the shipping date of the product.
- 抗原来源:
Human
- 目录编号:
GTX101803
- 级别:
Primary Antibodies
- 库存:
Available
- 供应商:
GeneTex
- 宿主:
Rabbit
- 应用范围:
WB, ICC/IF, IHC-P, IHC-Wm, Dot
- 浓度:
1 mg/ml (Please refer to the vial label for the specific concentration.)
- 靶点:
ENO1
- 抗体英文名:
ENO1 antibody [N3C3]
- 抗体名:
ENO1 抗体 [N3C3]
- 规格:
100 μl/25 μl
| 规格: | 100 μl | 产品价格: | ¥4000.0 |
|---|---|---|---|
| 规格: | 25 μl | 产品价格: | ¥1700.0 |
Non-transfected (–) and transfected (+) 293T whole cell extracts (30 μg) were separated by 10% SDS-PAGE, and the membrane was blotted with ENO1 antibody [N3C3] (GTX101803) diluted at 1:20000. The HRP-conjugated anti-rabbit IgG antibody (GTX213110-01) was used to detect the primary antibody.
Various whole cell extracts (30 μg) were separated by 10% SDS-PAGE, and the membrane was blotted with ENO1 antibody [N3C3] (GTX101803) diluted at 1:1000. The HRP-conjugated anti-rabbit IgG antibody (GTX213110-01) was used to detect the primary antibody.
Immunohistochemical analysis of paraffin-embedded zebrafish tissue, using ENO1 antibody [N3C3] (GTX101803) at 1:300 dilution.
ENO1 antibody [N3C3] detects Eno1 protein on zebrafish by whole mount immunohistochemical analysis.
Sample: 2 days-post-fertilization zebrafish embryo.
ENO1 antibody [N3C3] (GTX101803) dilution: 1:100.
Sample (30 μg of whole cell lysate)
A: zebrafish eye
10% SDS PAGE
GTX101803 diluted at 1:1000
ENO1 antibody [N3C3] detects ENO1 protein at cytoplasm by immunofluorescent analysis.
Sample: HeLa cells were fixed in 4% PFA at RT for 15 min.
Green: ENO1 protein stained by ENO1 antibody [N3C3] (GTX101803) diluted at 1:200.
Red: alpha Tubulin, a cytoskeleton marker, stained by alpha Tubulin antibody [B-5-1-2] (GTX11304) diluted at 1:10000.
Blue: Hoechst 33342 staining.
Sample (50 μg of whole cell lysate)
A: Mouse brain
10% SDS PAGE
GTX101803 diluted at 1:1000
The HRP-conjugated anti-rabbit IgG antibody (GTX213110-01) was used to detect the primary antibody.
Rat tissue extract (50 μg) was separated by 10% SDS-PAGE, and the membrane was blotted with ENO1 antibody [N3C3] (GTX101803) diluted at 1:1000. The HRP-conjugated anti-rabbit IgG antibody (GTX213110-01) was used to detect the primary antibody, and the signal was developed with Trident ECL plus-Enhanced.
Sample (30 μg of whole cell lysate)
A: A431 (GTX27909)
B: H1299
10% SDS PAGE
GTX101803 diluted at 1:3000
The HRP-conjugated anti-rabbit IgG antibody (GTX213110-01) was used to detect the primary antibody.
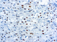
Immunohistochemical analysis of paraffin-embedded human gastric tissue, using ENO1(GTX101803) antibody at 1:100 dilution.
Antigen Retrieval: Trilogy™ (EDTA based, pH 8.0) buffer, 15min
风险提示:丁香通仅作为第三方平台,为商家信息发布提供平台空间。用户咨询产品时请注意保护个人信息及财产安全,合理判断,谨慎选购商品,商家和用户对交易行为负责。对于医疗器械类产品,请先查证核实企业经营资质和医疗器械产品注册证情况。
- 作者
- 内容
- 询问日期
文献和实验Zhou X et al., Technol Cancer Res Treat 2016 (PMID:27624754)
Hsiao KC et al., PLoS One 2013 (PMID:23894455)
Elisa De Tomi et al., Int J Mol Sci 2022 (PMID:35163570)
Chang SJ et al., Arch Biochem Biophys 2018 (PMID:29655550)
Wu YH et al., PLoS One 2013 (PMID:23990911)
Lin LL et al., BMC Genomics 2015 (PMID:25652794)
技术资料暂无技术资料 索取技术资料


![ENO1 antibody [N3C3]](https://img1.dxycdn.com/2022/0328/573/4956897289534200453-14.jpg)


![Mucin 6 antibody [MSVA-806R] HistoMAX](https://custom.dxycdn.com/trademd/upload/pic/2013/11/12/A1383891150.jpg!small.t.1)


![Myogenin antibody [F5D]](https://img1.dxycdn.com/2022/0328/233/1232692266878300453-14.jpg!wh200)
