相关产品推荐更多 >
万千商家帮你免费找货
0 人在求购买到急需产品
- 详细信息
- 文献和实验
- 技术资料
- 免疫原:
Carrier-protein conjugated synthetic peptide surrounding phospho Ser345 of human Chk1. The exact sequence is proprietary.
- 亚型:
IgG
- 形态:
Liquid
- 保存条件:
Store as concentrated solution. Centrifuge briefly prior to opening vial. For short-term storage (1-2 weeks), store at 4ºC. For long-term storage, aliquot and store at -20ºC or below. Avoid multiple freeze-thaw cycles.
- 克隆性:
Polyclonal
- 标记物:
Unconjugated
- 适应物种:
Human, Mouse
- 保质期:
12 months from the shipping date of the product.
- 抗原来源:
Human
- 目录编号:
GTX100065
- 级别:
Primary Antibodies
- 库存:
Available
- 供应商:
GeneTex
- 宿主:
Rabbit
- 应用范围:
WB, ICC/IF, IHC-P
- 浓度:
1.66 mg/ml (Please refer to the vial label for the specific concentration.)
- 靶点:
Chk1 (phospho Ser345)
- 抗体英文名:
Chk1 (phospho Ser345) antibody [C1C2], Internal
- 抗体名:
Chk1 (phospho Ser345) 抗体 [C1C2], Internal
- 规格:
100 μl/25 μl
| 规格: | 100 μl | 产品价格: | ¥4000.0 |
|---|---|---|---|
| 规格: | 25 μl | 产品价格: | ¥1700.0 |
Untreated (–) and treated (+) C2C12 whole cell extract (30 μg) were separated by 10% SDS-PAGE, and the membrane was blotted with Chk1 (phospho Ser345) antibody [C1C2], Internal (GTX100065) diluted at 1:1000. The HRP-conjugated anti-rabbit IgG antibody (GTX213110-01) was used to detect the primary antibody, and the signal was developed with Trident ECL plus-Enhanced.
Chk1 (phospho Ser345) antibody [C1C2], Internal detects Chk1 (phospho Ser345) protein at nucleus by immunohistochemical analysis.
Sample: Paraffin-embedded mouse intestine.
Chk1 (phospho Ser345) stained by Chk1 (phospho Ser345) antibody [C1C2], Internal (GTX100065) diluted at 1:500.
Antigen Retrieval: Citrate buffer, pH 6.0, 15 min
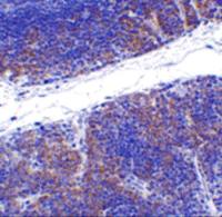
Chk1 (phospho Ser345) antibody [C1C2], Internal detects Chk1 (phospho Ser345) protein at nucleus on mouse colon by immunohistochemical analysis.
Sample: Paraffin-embedded mouse colon.
Chk1 (phospho Ser345) antibody [C1C2], Internal (GTX100065) dilution: 1:500.
Antigen Retrieval: Trilogy™ (EDTA based, pH 8.0) buffer, 15min
Chk1 (phospho Ser345) antibody [C1C2], Internal detects Chk1 (phospho Ser345) protein at nucleus by immunofluorescent analysis.
Samples: HeLa cells mock (left) and treated with 100 J/m2 UVC and recover for 8 hrs (right) were fixed in 4% PFA at RT for 15 min.
Green: Chk1 (phospho Ser345) protein stained by Chk1 (phospho Ser345) antibody [C1C2], Internal (GTX100065) diluted at 1:500.
Blue: Hoechst 33342 staining.
Scale bar = 10 μm.
Untreated (–) and treated (+) HCT116 whole cell extracts (30 μg) were separated by 10% SDS-PAGE, and the membrane was blotted with Chk1 (phospho Ser345) antibody [C1C2], Internal (GTX100065) diluted at 1:500. The HRP-conjugated anti-rabbit IgG antibody (GTX213110-01) was used to detect the primary antibody, and the signal was developed with Trident ECL plus-Enhanced.
Sample: 20 μg of HCT116 P53 whole cell lysate 10% SDS PAGE
Chk1-phopho-S345 antibody
GTX100065 diluted at 1:1000
The HRP-conjugated anti-rabbit IgG antibody (GTX213110-01) was used to detect the primary antibody.
Immunohistochemical analysis of paraffin-embedded HeLa xenograft, using Chk1 (phospho Ser345) (GTX100065) antibody at 1:500 dilution.
Antigen Retrieval: Trilogy™ (EDTA based, pH 8.0) buffer, 15min
风险提示:丁香通仅作为第三方平台,为商家信息发布提供平台空间。用户咨询产品时请注意保护个人信息及财产安全,合理判断,谨慎选购商品,商家和用户对交易行为负责。对于医疗器械类产品,请先查证核实企业经营资质和医疗器械产品注册证情况。
文献和实验Subramanian GN et al., J Cell Biol 2020 (PMID:32328643)
Luo J et al., mBio 2020 (PMID:32071277)
Hung CC et al., Oncotarget 2015 (PMID:25686830)
Yang C et al., Oncol Lett 2022 (PMID:35317026)
Sakata R et al., Cell Rep 2021 (PMID:33909997)
技术资料暂无技术资料 索取技术资料


![Chk1 (phospho Ser345) antibody [C1C2], Internal](https://img1.dxycdn.com/2022/0328/765/1765129266023200453-14.jpg)


![Cardiac Troponin I antibody [N1C3-3]](https://img1.dxycdn.com/2022/0328/148/3404790006459200453-14.jpg!wh200)

![TFF1 antibody [SPM313]](https://img1.dxycdn.com/2022/0328/311/3114483282711700453-14.jpg!wh200)


