相关产品推荐更多 >
万千商家帮你免费找货
0 人在求购买到急需产品
- 详细信息
- 文献和实验
- 技术资料
- 免疫原:
Carrier-protein conjugated synthetic peptide encompassing a sequence within the C-terminus region of human Apolipoprotein E. The exact sequence is proprietary.
- 亚型:
IgG
- 形态:
Liquid
- 保存条件:
Store as concentrated solution. Centrifuge briefly prior to opening vial. For short-term storage (1-2 weeks), store at 4ºC. For long-term storage, aliquot and store at -20ºC or below. Avoid multiple freeze-thaw cycles.
- 克隆性:
Polyclonal
- 标记物:
Unconjugated
- 适应物种:
Human
- 保质期:
12 months from the shipping date of the product.
- 抗原来源:
Human
- 目录编号:
GTX100053
- 级别:
Primary Antibodies
- 库存:
Available
- 供应商:
GeneTex
- 宿主:
Rabbit
- 应用范围:
WB, ICC/IF, IHC-P, IHC-Fr, IP, ELISA, Sandwich ELISA
- 浓度:
0.66 mg/ml (Please refer to the vial label for the specific concentration.)
- 靶点:
Apolipoprotein E
- 抗体英文名:
Apolipoprotein E antibody [C2C3], C-term
- 抗体名:
Apolipoprotein E 抗体 [C2C3], C-term
- 规格:
100 μl/25 μl
| 规格: | 100 μl | 产品价格: | ¥4000.0 |
|---|---|---|---|
| 规格: | 25 μl | 产品价格: | ¥1700.0 |
Sample (2.5 μg of whole cell lysate)
A: Conditional medium from human primary preadipocyte
B: Conditional medium from differentiated human primary preadipocyte
12% SDS PAGE
GTX100053 diluted at 1:2000
The HRP-conjugated anti-rabbit IgG antibody (GTX213110-01) was used to detect the primary antibody.
Apolipoprotein E antibody [C2C3], C-term detects Apolipoprotein E protein at cytoplasm by immunofluorescent analysis.
Sample: HepG2 cells were fixed in 4% PFA at RT for 15 min.
Green: Apolipoprotein E stained by Apolipoprotein E antibody [C2C3], C-term (GTX100053) diluted at 1:500.
Blue: Hoechst 33342 staining.
Sandwich ELISA detection of recombinant full-length human apolipoprotein E using Apolipoprotein E antibody [GT1627] (GTX635891) as capture antibody at concentration of 5 μg/mL and Apolipoprotein E antibody [C2C3], C-term (GTX100053) as detection antibody at concentration of 1 μg/mL. Rabbit IgG antibody (HRP) (GTX213110-01) was diluted at 1:10000 and used to detect the primary antibody.
Human plasma (30 μg) was separated by 10% SDS-PAGE, and the membrane was blotted with Apolipoprotein E antibody [C2C3], C-term (GTX100053) diluted at 1:10000. The HRP-conjugated anti-rabbit IgG antibody (GTX213110-01) was used to detect the primary antibody.
Apolipoprotein E antibody [C2C3], C-term detects Apolipoprotein E protein at cytoplasm by immunofluorescent analysis.
Sample: THP-1 cells were fixed in ice-cold MeOH for 5 min.
Green: Apolipoprotein E protein stained by Apolipoprotein E antibody [C2C3], C-term (GTX100053) diluted at 1:500.
Blue: Hoechst 33342 staining.
Apolipoprotein E antibody [C2C3], C-term immunoprecipitates Apolipoprotein E protein in IP experiments.
IP Sample: HepG2 whole cell lysate/extract
A : 30 μg whole cell lysate/extract of Apolipoprotein E protein expressing HepG2 cells
B : Control with 3 μg of pre-immune rabbit IgG
C : Immunoprecipitation of Apolipoprotein E by 3 μg of Apolipoprotein E antibody [C2C3], C-term (GTX100053)
10% SDS-PAGE
The immunoprecipitated Apolipoprotein E protein was detected by Apolipoprotein E antibody [C2C3], C-term (GTX100053) diluted at 1:1000.
EasyBlot anti-rabbit IgG (HRP) (GTX221666-01) was used as a secondary reagent.
Sandwich ELISA detection of recombinant full-length Apolipoprotein E protein using GTX100053 as capture antibody at concentration of 5 μg/mL and a mouse monoclonal anti-Apolipoprotein E antibody as detection antibody at concentration of 1 μg/mL. Mouse IgG antibody (HRP) (GTX213111-01) was diluted at 1:10000 and used to detect the primary antibody.
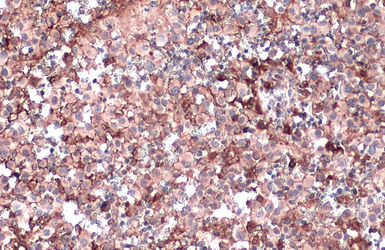
Apolipoprotein E antibody [C2C3], C-term detects secreted Apolipoprotein E protein by immunohistochemical analysis.
Sample: Paraffin-embedded human ovarian cancer.
Apolipoprotein E stained by Apolipoprotein E antibody [C2C3], C-term (GTX100053) diluted at 1:500.
Antigen Retrieval: Citrate buffer, pH 6.0, 15 min
Sandwich ELISA detection of recombinant full-length human apolipoprotein E using Apolipoprotein E antibody [GT27711] (GTX635889) as capture antibody at concentration of 5 μg/mL and Apolipoprotein E antibody [C2C3], C-term (GTX100053) as detection antibody at concentration of 1 μg/mL. Rabbit IgG antibody (HRP) (GTX213110-01) was diluted at 1:10000 and used to detect the primary antibody.
风险提示:丁香通仅作为第三方平台,为商家信息发布提供平台空间。用户咨询产品时请注意保护个人信息及财产安全,合理判断,谨慎选购商品,商家和用户对交易行为负责。对于医疗器械类产品,请先查证核实企业经营资质和医疗器械产品注册证情况。
文献和实验Seto S et al., Front Microbiol 2019 (PMID:32010116)
Thaker K et al., Neurobiol Dis 2016 (PMID:27109188)
Nilsa La Cunza et al., JCI Insight 2021 (PMID:33822768)
Lai W et al., Int J Nanomedicine 2020 (PMID:32189964)
secondary antibody review -- data from 99 publications
cytometry used as a control to detect cell responses targeted antigen 7 Alexa Fluor 488 7 Cy3 8 goat IgG Alexa Fluor 488 1:2000 detect antibody binding in human embryonic kidney 293T cells Invitrogen 9 donkey
gene encoding apolipoprotein B (apoB) after intravenous injection in mice. Administration of chemically modified siRNAs resulted in silencing of the apoB messenger RNA in liver and jejunum, decreased plasma levels of apoB protein, and reduced total
population .N Engl J Med ,1984,3111:1329-1332 6.Koren E,Puchois P,Alaupovic ,et al Quantification of two different type of apolipoprotein AI containing lipoprotein aprtices in plasma by enzyme linded differenteal antibody immunosorbent assay,Clin Chem,1987
技术资料暂无技术资料 索取技术资料








![TNFAIP2 antibody [C1C3]](https://img1.dxycdn.com/2022/0328/914/5983543576195200453-14.jpg!wh200)


