相关产品推荐更多 >
万千商家帮你免费找货
0 人在求购买到急需产品
- 详细信息
- 技术资料
- 库存:
179
- 供应商:
晶抗生物工程有限公司
- 肿瘤类型:
详见说明书
- 细胞类型:
复苏或冻存
- 品系:
细胞系
- 组织来源:
详见说明书
- 相关疾病:
详见说明书
- 物种来源:
人、大鼠、小鼠
- 免疫类型:
详见说明书
- 细胞形态:
多角形;上皮样
- 是否是肿瘤细胞:
详见说明书
- 器官来源:
详见说明书
- 运输方式:
干冰运输或活细胞运输
- 年限:
详见说明书
- 生长状态:
良好
- 规格:
详见说明书
| 目录号 | CC-Y1363 |
| 细胞英文(简称) | MSTO-211H |
| 细胞名称 | MSTO-211H人肺癌细胞株 |
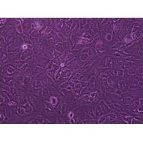
| 背景资料 | MSTO-211H细胞株是1985年从一位肺二相间皮瘤患者的胸水中建株的。这个病人接受过多种药物联合前期化疗。MSTO-211H细胞具有高亲和力的EGF结合位点,并表达神经元特异性烯醇酶(NSE)及人绒毛膜促性腺激素(HCG)的α与β亚基。未检测到左旋多巴胺脱羧酶(DDC),邦巴辛与神经tensin。细胞过表达c-myc原癌基因,并没有观察到基因重排或扩增。V-src、v-abl、v-erb B、c-raf 1、Ha-ras、Ki-ras和N-ras的表达呈阳性。未检测到N-myc、L-myc、c-myb、c-fos、v-fes、v-fms 和 v-sis癌基因的表达。这株细胞的饱和浓度能达到每平方厘米400000,但达到这个浓度时就会从表面脱落。 |
| 细胞来源 | ATCC |
| 代次 | P3 |
| 规格 | T25 |
| 细胞数 | 50-100万 |
| 价格 | 电议 |
| 生物安全级别 | 2 |
| 组织来源 | 二相间皮瘤肺转移灶 |
| 细胞形态 | 贴壁;成纤维细胞样 |
| 细胞活力 | 95%(Viability by Trypan Blue Exclusion) |
| 细胞检测 | 细胞不含有HIV-1、HBV、HCV、支原体、细菌、酵母和真菌 |
| 培养条件 | RPMI-1640 +10% FBS;37℃,5% CO2 |
| 传代方法 | 建议1:2-1:3 两天换液一次 |
| 冻存条件 | 完全培养基50%+40%FBS+10%DMSO |
风险提示:丁香通仅作为第三方平台,为商家信息发布提供平台空间。用户咨询产品时请注意保护个人信息及财产安全,合理判断,谨慎选购商品,商家和用户对交易行为负责。对于医疗器械类产品,请先查证核实企业经营资质和医疗器械产品注册证情况。
技术资料暂无技术资料 索取技术资料
MSTO-211H人肺癌细胞株
¥1800 - 5800










