相关产品推荐更多 >
万千商家帮你免费找货
0 人在求购买到急需产品
- 详细信息
- 询价记录
- 文献和实验
- 技术资料
- 库存:
24
- 供应商:
晶抗生物工程有限公司
- 肿瘤类型:
详见说明书
- 细胞类型:
复苏或冻存
- 品系:
细胞系
- 组织来源:
详见说明书
- 相关疾病:
详见说明书
- 物种来源:
人、大鼠、小鼠
- 免疫类型:
详见说明书
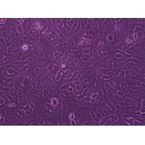
- 细胞形态:
多角形;上皮样
- 是否是肿瘤细胞:
详见说明书
- 器官来源:
详见说明书
- 运输方式:
干冰运输或活细胞运输
- 年限:
详见说明书
- 生长状态:
良好
- 规格:
详见说明书
| 目录号 | CC-Y1533 |
| 细胞英文(简称) | UT-7 |
| 细胞名称 | UT-7人原巨核细胞型白血病细胞 |
| 背景资料 | 收到细胞,请查看瓶子是否有破裂,培养基是否漏出,是否浑浊,如有请尽快和我们联系。如包装完,取出25cm2培养瓶,75%酒精消毒,拆下封口膜,在显微镜下观察细胞形态是否正常,细胞的贴壁情况以及细胞密度,然后放入37℃,5%CO2细胞培养箱中静置2-3小时,以稳定细胞状态。 |
| 细胞来源 | ATCC |
| 代次 | P3 |
| 规格 | T25 |
| 细胞数 | 50-100万 |
| 价格 | 电议 |
| 生物安全级别 | 2 |
| 组织来源 | 细胞形态 |
| 贴壁 | 细胞活力 |
| 95%(Viability by Trypan Blue Exclusion) | 细胞检测 |
| 细胞不含有HIV-1、HBV、HCV、支原体、细菌、酵母和真菌 | 培养条件 |
| RPMI-1640 +10% FBS;37℃,5% CO2 | 传代方法 |
| 建议1:2-1:3 两天换液一次 | 冻存条件 |
| 完全培养基50%+40%FBS+10%DMSO |
风险提示:丁香通仅作为第三方平台,为商家信息发布提供平台空间。用户咨询产品时请注意保护个人信息及财产安全,合理判断,谨慎选购商品,商家和用户对交易行为负责。对于医疗器械类产品,请先查证核实企业经营资质和医疗器械产品注册证情况。
- 作者
- 内容
- 询问日期
文献和实验相关实验
胞体:直径15-30μ不太规则,为所有原始细胞中胞体最大者。 胞核:巨大,圆形或不规则形,核仁2-3个,淡兰色,大小不等,不太明显。 胞浆:量很少,不规则,呈海绵样,深兰色无核周界,无颗粒但有叶呈泡沫状。
原巨核细胞: 胞体:直径15-30μ不太规则,为所有原始细胞中胞体最大者。 胞核:巨大,圆形或不规则形,核仁2-3个,淡兰色,大小不等,不太明显医`学教育网搜集整理。 胞浆:量很少,不规则,呈海绵样,深兰色无核周界,无颗粒但有叶呈泡沫状。
急性白血病的完全缓解标准包括三个方面: ①骨髓象原粒细胞Ⅰ型+Ⅱ型(原单核细胞+幼单核或原淋巴细胞+幼淋巴细胞)≤5%,红细胞及巨核细胞系统正常。 M2b型:原粒细胞Ⅰ型+Ⅱ型≤5%,中性中幼粒细胞比例在正常范围。 M3 型:原粒细胞+早幼粒细胞≤5%医`学教育网搜集整理。 M4型:原粒细胞Ⅰ、Ⅱ型+原单核细胞及幼单核细胞≤5%. M5型:原单核细胞Ⅰ、Ⅱ型+幼单核细胞≤5%. M6 型:原粒细胞Ⅰ、Ⅱ型≤5%,原红细胞及幼红细胞比例基本
技术资料暂无技术资料 索取技术资料
UT-7人原巨核细胞型白血病细胞
¥1800 - 5800










