相关产品推荐更多 >
万千商家帮你免费找货
0 人在求购买到急需产品
- 详细信息
- 文献和实验
- 技术资料
- 免疫原:
Purified recombinant fragment of human GPNMB (AA: 31-260) expressed in E. Coli.
- 亚型:
IgG1
- 形态:
Liquid
- 保存条件:
Store as concentrated solution. Centrifuge briefly prior to opening vial. For short-term storage (1-2 weeks), store at 4ºC. For long-term storage, aliquot and store at -20ºC or below. Avoid multiple freeze-thaw cycles.
- 克隆性:
Monoclonal
- 标记物:
Unconjugated
- 适应物种:
Human
- 保质期:
12 months from the shipping date of the product.
- 抗原来源:
Human
- 目录编号:
GTX60790
- 级别:
Primary Antibodies
- 库存:
Available
- 供应商:
GeneTex
- 宿主:
Mouse
- 应用范围:
WB, IHC-P, ELISA
- 浓度:
1 mg/ml (Please refer to the vial label for the specific concentration.)
- 靶点:
GPNMB
- 抗体英文名:
GPNMB antibody [7C10E5]
- 抗体名:
GPNMB 抗体 [7C10E5]
- 规格:
100 μg
WB analysis of PANC1 (1) and PC-3 (2) cell lysate using GTX60790 GPNMB antibody [7C10E5].
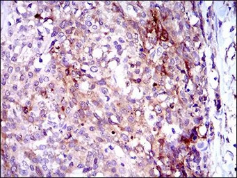
IHC-P analysis of breast cancer tissue using GTX60790 GPNMB antibody [7C10E5].
ELISA analysis of antigen using GTX60790 GPNMB antibody [7C10E5].
Black : Control antigen 100ng
Purple : Antigen 10ng
Blue : Antigen 50ng
Red : Antigen 100ng
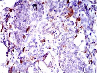
IHC-P analysis of esophagus cancer tissue using GTX60790 GPNMB antibody [7C10E5].
WB analysis of HEK293 (1) and GPNMB (AA: 31-260)-hIgGFc transfected HEK293 (2) cell lysate using GTX60790 GPNMB antibody [7C10E5].
风险提示:丁香通仅作为第三方平台,为商家信息发布提供平台空间。用户咨询产品时请注意保护个人信息及财产安全,合理判断,谨慎选购商品,商家和用户对交易行为负责。对于医疗器械类产品,请先查证核实企业经营资质和医疗器械产品注册证情况。
文献和实验Polyclonal and Monoclonal Antibodies
Polyclonal Antibody Immunization of Mice: Injections should be made at intervals of at least two weeks.. We have been using either of the two following adjuvants with success: Freund adjuvant and MPL+TDM adjuvant ( RIBI ImmunoChem
【求助】什么是micro-array analysis,怎么翻译?
zifanqie_00 什么是micro-array analysis,怎么翻译? shusheng2006 微矩阵分析,应该就是基因芯片吧 eulota 基因芯片中的微阵列分析 翻译参考 cnki翻译助手 链接为 http://dict.cnki.net/dict_result.aspx?searchword=micro-array&tjType=sentence&t=%e5
in log phase (3 E5 - 1E6 cells / ml). Determine the volume needed which will give you 100 cells. Add the 100 cells to 25 ml of IMDM-m and plate 250 ml of the suspension in each well. Therefore, each well should get 1 cell delivered
技术资料暂无技术资料 索取技术资料





![ENaC Gamma antibody [5c2] (Biotin)](https://img1.dxycdn.com/2023/0711/451/6106825198874858761-14.jpg!wh200)
![GABA B Receptor 2 antibody [N2C1], Internal](https://img1.dxycdn.com/2023/0711/255/2344116916935858761-14.jpg!wh200)


