相关产品推荐更多 >
万千商家帮你免费找货
0 人在求购买到急需产品
- 详细信息
- 文献和实验
- 技术资料
- 免疫原:
Purified recombinant fragment of human Rex1 (AA: 249-310) expressed in E. Coli.
- 亚型:
IgG1
- 形态:
Liquid
- 保存条件:
Store as concentrated solution. Centrifuge briefly prior to opening vial. For short-term storage (1-2 weeks), store at 4ºC. For long-term storage, aliquot and store at -20ºC or below. Avoid multiple freeze-thaw cycles.
- 克隆性:
Monoclonal
- 标记物:
Unconjugated
- 适应物种:
Human
- 保质期:
12 months from the shipping date of the product.
- 抗原来源:
Human
- 目录编号:
GTX60780
- 级别:
Primary Antibodies
- 库存:
Available
- 供应商:
GeneTex
- 宿主:
Mouse
- 应用范围:
WB, IHC-P, FACS, ELISA
- 浓度:
1 mg/ml (Please refer to the vial label for the specific concentration.)
- 靶点:
Rex1
- 抗体英文名:
Rex1 antibody [5E11E7]
- 抗体名:
Rex1 抗体 [5E11E7]
- 规格:
100 μg
FACS analysis of HEK293 cells using GTX60780 Rex1 antibody [5E11E7].
Green : Rex1
Red : negative control
ELISA analysis of antigen using GTX60780 Rex1 antibody [5E11E7].
Black : Control antigen 100ng
Purple : Antigen 10ng
Blue : Antigen 50ng
Red : Antigen 100ng
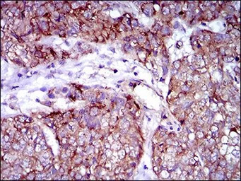
IHC-P analysis of rectum cancer tissue using GTX60780 Rex1 antibody [5E11E7].
WB analysis of Jurkat (1), HEK293 (2), Raji (3) and PC-3 (4) cell lysate using GTX60780 Rex1 antibody [5E11E7].
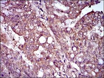
IHC-P analysis of esophagus cancer tissue using GTX60780 Rex1 antibody [5E11E7].
WB analysis of HEK293 (1) and Rex1 (AA: 249-310)-hIgGFc transfected HEK293 (2) cell lysate using GTX60780 Rex1 antibody [5E11E7].
风险提示:丁香通仅作为第三方平台,为商家信息发布提供平台空间。用户咨询产品时请注意保护个人信息及财产安全,合理判断,谨慎选购商品,商家和用户对交易行为负责。对于医疗器械类产品,请先查证核实企业经营资质和医疗器械产品注册证情况。
文献和实验Zeng YT et al., Oncogene 2019 (PMID:31409905)
Hematopoietic Stem Cell Enrichment From the AGM Region of the Mouse Embryo
in the intraembryonic aorta-gonad-mesonephros region at embryonic day (E) 10.5. After E11, these HSCs are thought to seed the liver and then the bone marrow just before birth. So far, many questions concerning the origin, properties, and functionality of these HSCs
Wholemount in situ hybridisation
. Each batch should ideally be tested. As a rough guide, use 5 min for E7.5, 7 min for E8.5, 9 min for E9.5, 11 min for E10.5, 12-14 min for E11.5. 8 Wash twice with PBTX for 5 minutes each. Be careful - the embryos are fragile
Polyclonal and Monoclonal Antibodies
Polyclonal Antibody Immunization of Mice: Injections should be made at intervals of at least two weeks.. We have been using either of the two following adjuvants with success: Freund adjuvant and MPL+TDM adjuvant ( RIBI ImmunoChem
技术资料暂无技术资料 索取技术资料





![basic Cytokeratin antibody [AE3]](https://img1.dxycdn.com/2023/0711/451/6106825198874858761-14.jpg!wh200)



