相关产品推荐更多 >
万千商家帮你免费找货
0 人在求购买到急需产品
- 详细信息
- 文献和实验
- 技术资料
- 免疫原:
Purified recombinant fragment of human p38 MAPK (AA: 299-360) expressed in E. Coli.
- 亚型:
IgG1
- 形态:
Liquid
- 保存条件:
Store as concentrated solution. Centrifuge briefly prior to opening vial. For short-term storage (1-2 weeks), store at 4ºC. For long-term storage, aliquot and store at -20ºC or below. Avoid multiple freeze-thaw cycles.
- 克隆性:
Monoclonal
- 标记物:
Unconjugated
- 适应物种:
Human, Mouse, Rat, Monkey
- 保质期:
12 months from the shipping date of the product.
- 抗原来源:
Human
- 目录编号:
GTX60771
- 级别:
Primary Antibodies
- 库存:
Available
- 供应商:
GeneTex
- 宿主:
Mouse
- 应用范围:
WB, ICC/IF, IHC-P, FACS, ELISA
- 浓度:
1 mg/ml (Please refer to the vial label for the specific concentration.)
- 靶点:
p38 MAPK
- 抗体英文名:
p38 MAPK antibody [8G4D11]
- 抗体名:
p38 MAPK 抗体 [8G4D11]
- 规格:
100 μg
WB analysis of HeLa (1), NIH3T3 (2), Jurkat (3), Raw264.7 (4), PC-12 (5), C6 (6) and COS7 (7) cell lysate using GTX60771 p38 MAPK antibody [8G4D11].
WB analysis of HEK293 (1) and p38 MAPK (AA: 299-360)-hIgGFc transfected HEK293 (2) cell lysate using GTX60771 p38 MAPK antibody [8G4D11].
ELISA analysis of antigen using GTX60771 p38 MAPK antibody [8G4D11].
Black : Control antigen 100ng
Purple : Antigen 10ng
Blue : Antigen 50ng
Red : Antigen 100ng
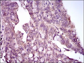
IHC-P analysis of cervical cancer tissue using GTX60771 p38 MAPK antibody [8G4D11].
IHC-P analysis of rectum cancer tissue using GTX60771 p38 MAPK antibody [8G4D11].
FACS analysis of HeLa cells using GTX60771 p38 MAPK antibody [8G4D11].
Green : p38 MAPK
Red : negative control
ICC/IF analysis of HeLa cells using GTX60771 p38 MAPK antibody [8G4D11].
Green : p38 MAPK
Blue: DRAQ5 fluorescent DNA dye
Red: Actin filaments
风险提示:丁香通仅作为第三方平台,为商家信息发布提供平台空间。用户咨询产品时请注意保护个人信息及财产安全,合理判断,谨慎选购商品,商家和用户对交易行为负责。对于医疗器械类产品,请先查证核实企业经营资质和医疗器械产品注册证情况。
文献和实验【求助】请问如何检测RAS、MAPK、p38、p21 ?参与者:liqunfeng请问如何检测RAS、MAPK、p38、p21??谁帮帮我啊参与者:xiaolx你在网上搜搜别人的实验中怎么检测的,不就知道了。p38,我师姐做过免疫组化。参与者:zhangyuelin1999检测信号通路现在用的比较多的方法应该是Western blot,它是测细胞中的蛋白含量(半定量)的最好方法了,免疫组化检测是定性的!如果时间充裕的话,你可以两种方法都可以做的。RAS:Ras蛋白是细胞内的一种小分子GTP结合
,而p38δ主要存在于腺体组织。 研究证实,p38MAPK通路的激活剂与JNK通路相似。一些能够激活JNK的促炎因子(TNFα、IL-1)、应激刺激(UV、H2O2、热休克、高渗与蛋白合成抑制剂)也可激活p38,此外,p38还可被脂多糖及G+细菌细胞壁成分所激活。p38信号通路也由三级激酶链组成,其上游激活物为MKK3、MKK4及MKK6,与MKK4不同,MKK3、MKK6仅特异性激活p38。体外细胞转染 实验表明,MEKK2。MEKK3可通过激活MKK4同时激活JNK和p38,而MEKK
yy59410 在下在做MAPK通路对皮肤成纤维细胞凋亡诱导的作用,我分别用p38,JNK,ERK相应的通路抑制剂阻断相应的通路后看给药后细胞的情况,发现这些通路的阻断并不能阻断药物对细胞的凋亡诱导,想请教坛子里的高手们这是怎么回事?我接下来需要做什么? 希望大侠们赐教。不甚感激啊。 chuckdouble yy59410 wrote: 在下在做MAPK通路对皮肤成纤维
技术资料暂无技术资料 索取技术资料





![GALNT2 antibody [N3C3]](https://img1.dxycdn.com/2023/0711/255/2344116916935858761-14.jpg!wh200)
![PPP2R5B antibody [C3], C-term](https://img1.dxycdn.com/2023/0516/045/6925717576889828561-14.jpg!wh200)


