相关产品推荐更多 >
万千商家帮你免费找货
0 人在求购买到急需产品
- 详细信息
- 文献和实验
- 技术资料
- 免疫原:
Purified recombinant fragment of human CD41 (AA: 45-149) expressed in E. Coli.
- 亚型:
IgG1
- 形态:
Liquid
- 保存条件:
Store as concentrated solution. Centrifuge briefly prior to opening vial. For short-term storage (1-2 weeks), store at 4ºC. For long-term storage, aliquot and store at -20ºC or below. Avoid multiple freeze-thaw cycles.
- 克隆性:
Monoclonal
- 标记物:
Unconjugated
- 适应物种:
Human
- 保质期:
12 months from the shipping date of the product.
- 抗原来源:
Human
- 目录编号:
GTX60763
- 级别:
Primary Antibodies
- 库存:
Available
- 供应商:
GeneTex
- 宿主:
Mouse
- 应用范围:
WB, IHC-P, FACS, ELISA
- 靶点:
CD41
- 抗体英文名:
CD41 antibody [2E10C9]
- 抗体名:
CD41 抗体 [2E10C9]
- 规格:
100 μl
WB analysis of HEK293 (1) and CD41 (AA: 45-149)-hIgGFc transfected HEK293 (2) cell lysate using GTX60763 CD41 antibody [2E10C9].
ELISA analysis of antigen using GTX60763 CD41 antibody [2E10C9].
Black : Control antigen 100ng
Purple : Antigen 10ng
Blue : Antigen 50ng
Red : Antigen 100ng
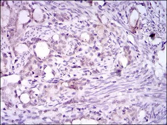
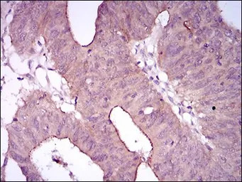
IHC-P analysis of rectum cancer tissues using GTX60763 CD41 antibody [2E10C9].
IHC-P analysis of cervical cancer tissues using GTX60763 CD41 antibody [2E10C9].
FACS analysis of HL60 cells using GTX60763 CD41 antibody [2E10C9].
Green : CD41
Purple : negative control
风险提示:丁香通仅作为第三方平台,为商家信息发布提供平台空间。用户咨询产品时请注意保护个人信息及财产安全,合理判断,谨慎选购商品,商家和用户对交易行为负责。对于医疗器械类产品,请先查证核实企业经营资质和医疗器械产品注册证情况。
文献和实验补体成分 C6/C7/C8/C9 补体成分:C6 血清浓度(μg/ml):60 分子量(kDa):128 亚单位(链)及分子量(kDa):1条 生物学活性:组成MAC,触发淋巴细胞母细胞化 补体成分:C7 血清浓度(μg/ml):60 分子量(kDa):121 亚单位(链)及分子量(kDa):1条
Coating of Platelets with Antibody in vitro
OUTLINE Antibody-coated platelets (opsnized) may be used in the subsequent thrombophagocytosis assay. PROTOCOL Resuspend 1.6x10^8 of CMFDA-labeled platelets in 200µl of BSGC-BSA (v/w 1%) either with a control Ab
Wholemount Immuno-flurescentWholemount Immuno-flurescent
as much extraembryonic membranes as possible. Puncture the amnion and in older embryos (>E10) puncture the head with a syringe or tungsten needle. 2. Fix in 4% paraformaldehyde (PFA) in PBS at 4o C overnight. 3. Wash twice for 5-10 minutes in PBS. 4. Wash
技术资料暂无技术资料 索取技术资料








