相关产品推荐更多 >
万千商家帮你免费找货
0 人在求购买到急需产品
- 详细信息
- 文献和实验
- 技术资料
- 免疫原:
Purified recombinant fragment of human BMPR1A (AA: 179-378 ) expressed in E. Coli.
- 亚型:
IgG1
- 形态:
Liquid
- 保存条件:
Store as concentrated solution. Centrifuge briefly prior to opening vial. For short-term storage (1-2 weeks), store at 4ºC. For long-term storage, aliquot and store at -20ºC or below. Avoid multiple freeze-thaw cycles.
- 克隆性:
Monoclonal
- 标记物:
Unconjugated
- 适应物种:
Human
- 保质期:
12 months from the shipping date of the product.
- 抗原来源:
Human
- 目录编号:
GTX60675
- 级别:
Primary Antibodies
- 库存:
Available
- 供应商:
GeneTex
- 宿主:
Mouse
- 应用范围:
WB, IHC-P, FACS, ELISA
- 浓度:
1 mg/ml (Please refer to the vial label for the specific concentration.)
- 靶点:
BMPR1A
- 抗体英文名:
BMPR1A antibody [4B7B2]
- 抗体名:
BMPR1A 抗体 [4B7B2]
- 规格:
100 μg
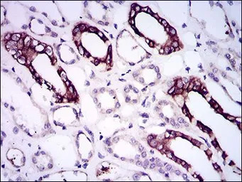
IHC-P analysis of human kidney tissue using GTX60675 BMPR1A antibody [4B7B2].
ELISA analysis of antigen using GTX60675 BMPR1A antibody [4B7B2].
Black : Control antigen 100ng
Purple : Antigen 10ng
Blue : Antigen 50ng
Red : Antigen 100ng
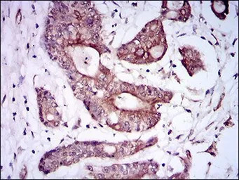
IHC-P analysis of colon cancer tissue using GTX60675 BMPR1A antibody [4B7B2].
WB analysis of HEK293 (1) and BMPR1A (AA: 179-378)-hIgGFc transfected HEK293 (2) cell lysate using GTX60675 BMPR1A antibody [4B7B2].
FACS analysis of Jurkat cells using GTX60675 BMPR1A antibody [4B7B2].
Green : BMPR1A
Purple : negative control
风险提示:丁香通仅作为第三方平台,为商家信息发布提供平台空间。用户咨询产品时请注意保护个人信息及财产安全,合理判断,谨慎选购商品,商家和用户对交易行为负责。对于医疗器械类产品,请先查证核实企业经营资质和医疗器械产品注册证情况。
文献和实验人整合素a4b1(Integrin a4b1)ELISA试剂盒 说明书
第一抗体工作液( Biotinylated Antibody ) 12ml 终止液 (Stop Solution ) 12ml 准备试剂与收集血样 1. 收集标本:血清、血浆(EDTA )、细胞培养上清液、组织匀浆等尽早检测, 2-8 ℃ 保存48 小时;更长时间须
补体成分 C4(C4a/C4b) 补体成分:C4 血清浓度(μg/ml):200~500 分子量(kDa):210 亚单位(链)及分子量(kDa):α:90β:78γ:33 激活产物:C4a;C4b 生物学活性:C4a 弱的过敏毒素作用 C4b 组成CP中的C3、C5转化
Evaluation of Complement-Dependent Cytotoxicity Using ATP Measurement and C1q/C4b Binding
method to evaluate the binding of C1q on the Fc region and the binding of C4b on cell surface. The luminescence method coupled with complement protein analysis by flow cytometry encompasses all needed methods to evaluate antibody ability to trigger CDC.
技术资料暂无技术资料 索取技术资料





![RFWD3 antibody [C1C3]](https://img1.dxycdn.com/2023/0516/045/6925717576889828561-14.jpg!wh200)

![Cytokeratin 19 antibody [A53-B/A2]](https://img1.dxycdn.com/2023/0711/451/6106825198874858761-14.jpg!wh200)

