相关产品推荐更多 >
万千商家帮你免费找货
0 人在求购买到急需产品
- 详细信息
- 文献和实验
- 技术资料
- 免疫原:
Purified recombinant fragment of human NSE (AA: 251-433) expressed in E. Coli.
- 亚型:
IgG1
- 形态:
Liquid
- 保存条件:
Store as concentrated solution. Centrifuge briefly prior to opening vial. For short-term storage (1-2 weeks), store at 4ºC. For long-term storage, aliquot and store at -20ºC or below. Avoid multiple freeze-thaw cycles.
- 克隆性:
Monoclonal
- 标记物:
Unconjugated
- 适应物种:
Human, Mouse, Rat
- 保质期:
12 months from the shipping date of the product.
- 抗原来源:
Human
- 目录编号:
GTX60625
- 级别:
Primary Antibodies
- 库存:
Available
- 供应商:
GeneTex
- 宿主:
Mouse
- 应用范围:
WB, IHC-P, FACS, ELISA
- 浓度:
1 mg/ml (Please refer to the vial label for the specific concentration.)
- 靶点:
NSE
- 抗体英文名:
NSE antibody [5D3]
- 抗体名:
NSE 抗体 [5D3]
- 规格:
100 μg
WB analysis of Mouse brain (1), NIH3T3 (2), and C6 (3) cell lysate using GTX60625 NSE antibody [5D3].
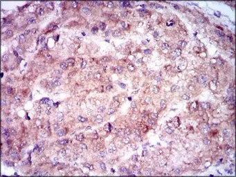
IHC-P analysis of liver cancer tissue using GTX60625 NSE antibody [5D3].
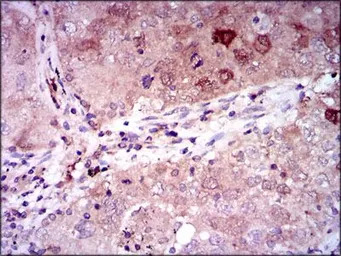
IHC-P analysis of lung cancer tissue using GTX60625 NSE antibody [5D3].
ELISA analysis of antigen using GTX60625 NSE antibody [5D3].
Black : Control antigen 100ng
Purple : Antigen 10ng
Blue : Antigen 50ng
Red : Antigen 100ng
FACS analysis of HeLa cells using GTX60625 NSE antibody [5D3].
Green : NSE
Red : negative control
风险提示:丁香通仅作为第三方平台,为商家信息发布提供平台空间。用户咨询产品时请注意保护个人信息及财产安全,合理判断,谨慎选购商品,商家和用户对交易行为负责。对于医疗器械类产品,请先查证核实企业经营资质和医疗器械产品注册证情况。
文献和实验Immunodetection of cyclin D1 and D2/D3 using flow cytometry
. It has been tested with antibodies against cyclin D1 (Pharmingen cat. no. 14561A, clone G12-4326), cyclin D2/D3 (cat. no. 14711A, clone G107-22) and cyclin E Procedure Prepare the cell type of interest as a single cell suspension and wash once with cold PBS
上海西唐生物科技有限公司 021-55229872, 65333639 www.westang.com 兔 神经元烯醇化酶 (NSE)ELISA 试剂盒 ( 用于血清、血浆、细胞培养上清液和其它生物体液内 ) 原理 本实验采用双抗体夹心 ABC-ELISA 法。用抗兔 NSE 单抗包被于酶标板上,标准品和样品中的 NSE与单抗结合,加入生物素化的抗兔 NSE ,形成
上海西唐生物科技有限公司 021-55229872, 65333639 www.westang.com 猪 神经元烯醇化酶 (NSE)ELISA 试剂盒 ( 用于血清、血浆、细胞培养上清液和其它生物体液内 ) 原理 本实验采用双抗体夹心 ABC-ELISA 法。用抗猪 NSE 单抗包被于酶标板上,标准品和样品中的 NSE与单抗结合,加入生物素化的抗猪 NSE ,形成
技术资料暂无技术资料 索取技术资料







![FOXP3 antibody [3G3] (APC)](https://img1.dxycdn.com/2023/0711/451/6106825198874858761-14.jpg!wh200)
![ICOS Ligand antibody [MIH11]](https://custom.dxycdn.com/trademd/upload/pic/2011/12/14/1323695851.jpg!small.t.1)

