相关产品推荐更多 >
万千商家帮你免费找货
0 人在求购买到急需产品
- 详细信息
- 文献和实验
- 技术资料
- 免疫原:
Purified recombinant fragment of human GPC3 expressed in E. Coli.
- 亚型:
IgG1
- 形态:
Liquid
- 保存条件:
Store as concentrated solution. Centrifuge briefly prior to opening vial. For short-term storage (1-2 weeks), store at 4ºC. For long-term storage, aliquot and store at -20ºC or below. Avoid multiple freeze-thaw cycles.
- 克隆性:
Monoclonal
- 标记物:
Unconjugated
- 适应物种:
Human, Mouse, Rat
- 保质期:
12 months from the shipping date of the product.
- 抗原来源:
Human
- 目录编号:
GTX60603
- 级别:
Primary Antibodies
- 库存:
Available
- 供应商:
GeneTex
- 宿主:
Mouse
- 应用范围:
WB, ICC/IF, IHC-P, FACS, ELISA
- 浓度:
1 mg/ml (Please refer to the vial label for the specific concentration.)
- 靶点:
Glypican-3
- 抗体英文名:
Glypican-3 antibody [9C2]
- 抗体名:
Glypican-3 抗体 [9C2]
- 规格:
100 μg
IHC-P analysis of breast cancer tissue using GTX60603 Glypican-3 antibody [9C2].
ICC/IF analysis of HeLa cells using GTX60603 Glypican-3 antibody [9C2].
Green : Glypican-3
Blue: DRAQ5 fluorescent DNA dye
Red: Actin filaments
WB analysis of HepG2 (1), HEK293 (2), Jurkat (3), SK-N-SH (4), PC-12 (5), F9 (6)and Mouse liver (7) cell lysate using GTX60603 Glypican-3 antibody [9C2].
WB analysis of human Glypican-3 (AA: 55-200) recombinant protein using GTX60603 Glypican-3 antibody [9C2].
FACS analysis of Jurkat cells using GTX60603 Glypican-3 antibody [9C2].
Green : Glypican-3
Red : negative control
ELISA analysis of antigen using GTX60603 Glypican-3 antibody [9C2].
Black : Control antigen 100ng
Purple : Antigen 10ng
Blue : Antigen 50ng
Red : Antigen 100ng
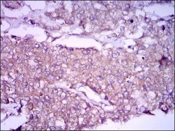
IHC-P analysis of liver cancer tissue using GTX60603 Glypican-3 antibody [9C2].
风险提示:丁香通仅作为第三方平台,为商家信息发布提供平台空间。用户咨询产品时请注意保护个人信息及财产安全,合理判断,谨慎选购商品,商家和用户对交易行为负责。对于医疗器械类产品,请先查证核实企业经营资质和医疗器械产品注册证情况。
文献和实验Lanthanide-Based Upconversion Nanoparticles for Connexin-Targeted Imaging in Co-cultures
. It was of interest to use connexin 43 gap junction protein-specific antibody on UCNs to target cardiac cell such as H9c2 and co-culture of bone marrow stem cells and H9c2.
对照组;d. 细胞定位;e. 组织专一性。例如,潜在胰脏癌标记物 Glypican-1 在许多人类恶性肿瘤表达中上调。GTX104557 Glypican-1 抗体使用多种细胞进行正交策略验证(如下图),且该抗体已通过 WB、ICC/IF、IHC-P、FACS、IP 和 ELISA 的全面验证。 另一个例子,胰脏癌标记物 KRAS。当 KRAS 基因突变,细胞分裂将不受控制,形成肿瘤。其中 KRAS G12D 和 G12V 突变占这些变化的 75% 成为研究的热点。在市面上有许多 KRAS G12
技术资料暂无技术资料 索取技术资料






![PFKM antibody [AT2F11]](https://img1.dxycdn.com/2023/0711/451/6106825198874858761-14.jpg!wh200)


