相关产品推荐更多 >
万千商家帮你免费找货
0 人在求购买到急需产品
- 详细信息
- 文献和实验
- 技术资料
- 免疫原:
Purified recombinant fragment of human FOS expressed in E. Coli.
- 亚型:
IgG1
- 形态:
Liquid
- 保存条件:
Store as concentrated solution. Centrifuge briefly prior to opening vial. For short-term storage (1-2 weeks), store at 4ºC. For long-term storage, aliquot and store at -20ºC or below. Avoid multiple freeze-thaw cycles.
- 克隆性:
Monoclonal
- 标记物:
Unconjugated
- 适应物种:
Human
- 保质期:
12 months from the shipping date of the product.
- 抗原来源:
Human
- 目录编号:
GTX60591
- 级别:
Primary Antibodies
- 库存:
Available
- 供应商:
GeneTex
- 宿主:
Mouse
- 应用范围:
WB, IHC-P, FACS, ELISA
- 靶点:
c-Fos
- 抗体英文名:
c-Fos antibody [2G2]
- 抗体名:
c-Fos 抗体 [2G2]
- 规格:
100 μl
WB analysis of human c-Fos (AA: 116-298) recombinant protein using GTX60591 c-Fos antibody [2G2].
WB analysis of HeLa (1), and HeLa (2) cell lysate using GTX60591 c-Fos antibody [2G2].
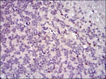
IHC-P analysis of human cerebellum tissue using GTX60591 c-Fos antibody [2G2].
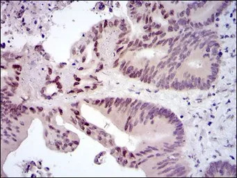
IHC-P analysis of colon cancer tissue using GTX60591 c-Fos antibody [2G2].
ELISA analysis of antigen using GTX60591 c-Fos antibody [2G2].
Black : Control antigen 100ng
Purple : Antigen 10ng
Blue : Antigen 50ng
Red : Antigen 100ng
FACS analysis of HeLa cells using GTX60591 c-Fos antibody [2G2].
Green : c-Fos
Red : negative control
风险提示:丁香通仅作为第三方平台,为商家信息发布提供平台空间。用户咨询产品时请注意保护个人信息及财产安全,合理判断,谨慎选购商品,商家和用户对交易行为负责。对于医疗器械类产品,请先查证核实企业经营资质和医疗器械产品注册证情况。
文献和实验上海西唐生物科技有限公司 021-55229872, 65333639 www.westang.com 人C-Fos ELISA 试剂盒 原理 本实验采用双抗体夹心 ABC-ELISA 法。用抗人 C-Fos 单抗包被于酶标板上,标准品和样品中的 C-Fos与单抗结合,加入生物素化的抗人 C-Fos ,形成免疫复合物连接在板上,辣根过氧化物酶标记的 Streptavidin 与生物素结合
上海西唐生物科技有限公司 021-55229872, 65333639 www.westang.com 大鼠 C-Fos ELISA 试剂盒 原理 本实验采用双抗体夹心 ABC-ELISA 法。用抗大鼠 C-Fos 单抗包被于酶标板上,标准品和样品中的 C-Fos 与单抗结合,加入生物素化的抗大鼠 C-Fos ,形成免疫复合物连接在板上,辣根过氧化物酶标记的 Streptavidin 与生物素结合,加入底物工作液显蓝
Combining Non-Isotopic Localization of NPY mRNA with Immunocytochemistry
those functions is to assess changes in neuronal activity of NPYergic cells using an antibody directed to the protein Fos. Fos is the product of the early immediate gene c-fos and is typically found in neurons after treatments that result
技术资料暂无技术资料 索取技术资料






![Placental Alkaline Phosphatase antibody [SP15] (ready-to-use)](https://img1.dxycdn.com/2023/0711/451/6106825198874858761-14.jpg!wh200)
![FOXP3 antibody [C3], C-term](https://img1.dxycdn.com/2023/0516/895/8887749495766728561-14.jpg!wh200)
