相关产品推荐更多 >
万千商家帮你免费找货
0 人在求购买到急需产品
- 详细信息
- 文献和实验
- 技术资料
- 免疫原:
Purified recombinant fragment of human CDK2 expressed in E. Coli.
- 亚型:
IgG1
- 形态:
Liquid
- 保存条件:
Store as concentrated solution. Centrifuge briefly prior to opening vial. For short-term storage (1-2 weeks), store at 4ºC. For long-term storage, aliquot and store at -20ºC or below. Avoid multiple freeze-thaw cycles.
- 克隆性:
Monoclonal
- 标记物:
Unconjugated
- 适应物种:
Human, Mouse
- 保质期:
12 months from the shipping date of the product.
- 抗原来源:
Human
- 目录编号:
GTX60572
- 级别:
Primary Antibodies
- 库存:
Available
- 供应商:
GeneTex
- 宿主:
Mouse
- 应用范围:
WB, ICC/IF, IHC-P, FACS, ELISA
- 浓度:
1 mg/ml (Please refer to the vial label for the specific concentration.)
- 靶点:
CDK2
- 抗体英文名:
CDK2 antibody [1A6]
- 抗体名:
CDK2 抗体 [1A6]
- 规格:
100 μg
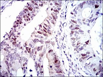
IHC-P analysis of colon cancer tissue using GTX60572 CDK2 antibody [1A6].
FACS analysis of Jurkat cells using GTX60572 CDK2 antibody [1A6].
Green : CDK2
Red : negative control
WB analysis of human CDK2 (AA: 197-295) recombinant protein using GTX60572 CDK2 antibody [1A6].
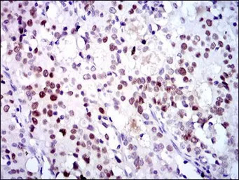
IHC-P analysis of cervical cancer tissue using GTX60572 CDK2 antibody [1A6].
ELISA analysis of antigen using GTX60572 CDK2 antibody [1A6].
Black : Control antigen 100ng
Purple : Antigen 10ng
Blue : Antigen 50ng
Red : Antigen 100ng
ICC/IF analysis of HeLa cells using GTX60572 CDK2 antibody [1A6].
Green : CDK2
Red: Actin filaments
WB analysis of Jurkat (1), HL-60 (2), K562(3), A431(4), HeLa(5), and NIH3T3 (6) cell lysate using GTX60572 CDK2 antibody [1A6].
风险提示:丁香通仅作为第三方平台,为商家信息发布提供平台空间。用户咨询产品时请注意保护个人信息及财产安全,合理判断,谨慎选购商品,商家和用户对交易行为负责。对于医疗器械类产品,请先查证核实企业经营资质和医疗器械产品注册证情况。
文献和实验Measurement of Changes in Cdk2 and Cyclin O-Associated Kinase Activity in Apoptosis
and members of the Bcl-2 protein family. In this chapter, we describe methods for measuring changes in Cdk2 activity during apoptosis. In addition, we also show the details of the generation of an antibody able to immunoprecipitate the cyclin O complexes
spreading, we developed a method engaging integrin signaling by use of an immobilized anti-integrin monoclonal antibody (mab) directed against the fibronectin (FN) receptor integrin α5β1. ECV 304 cells were plated onto FN or immobilized mab JBS5 (anti
. Y., and Yao, S. Q. (2002) Antibody-based fluorescence detection of kinase activity on a peptide array. Bioorg.Med. Chem. Lett. 1 2 , 2085-2088. 7. Fukunaga, R. and Hunter, T. (1997) M N K 1 , a n e w M A P kinase-activated protein kinase
技术资料暂无技术资料 索取技术资料






![Insulin Receptor alpha antibody [INSR/2277R]](https://img1.dxycdn.com/2023/0711/451/6106825198874858761-14.jpg!wh200)


