相关产品推荐更多 >
万千商家帮你免费找货
0 人在求购买到急需产品
- 详细信息
- 文献和实验
- 技术资料
- 免疫原:
Purified recombinant fragment of human FN1 expressed in E. Coli.
- 亚型:
IgG1
- 形态:
Liquid
- 保存条件:
Store as concentrated solution. Centrifuge briefly prior to opening vial. For short-term storage (1-2 weeks), store at 4ºC. For long-term storage, aliquot and store at -20ºC or below. Avoid multiple freeze-thaw cycles.
- 克隆性:
Monoclonal
- 标记物:
Unconjugated
- 适应物种:
Human
- 保质期:
12 months from the shipping date of the product.
- 抗原来源:
Human
- 目录编号:
GTX60570
- 级别:
Primary Antibodies
- 库存:
Available
- 供应商:
GeneTex
- 宿主:
Mouse
- 应用范围:
WB, IHC-P, FACS, ELISA
- 靶点:
Fibronectin
- 抗体英文名:
Fibronectin antibody [2F4]
- 抗体名:
Fibronectin 抗体 [2F4]
- 规格:
100 μl
ELISA analysis of antigen using GTX60570 Fibronectin antibody [2F4].
Black : Control antigen 100ng
Purple : Antigen 10ng
Blue : Antigen 50ng
Red : Antigen 100ng
WB analysis of human Fibronectin (AA: 1965-2176) recombinant protein using GTX60570 Fibronectin antibody [2F4].
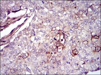
IHC-P analysis of stomach cancer tissue using GTX60570 Fibronectin antibody [2F4].
FACS analysis of HeLa cells using GTX60570 Fibronectin antibody [2F4].
Green : Fibronectin
Red : negative control
WB analysis of HEK293 (1) and Fibronectin (AA: 1965-2176)-hIgGFc transfected HEK293 (2) cell lysate using GTX60570 Fibronectin antibody [2F4].
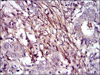
IHC-P analysis of lung cancer tissue using GTX60570 Fibronectin antibody [2F4].
风险提示:丁香通仅作为第三方平台,为商家信息发布提供平台空间。用户咨询产品时请注意保护个人信息及财产安全,合理判断,谨慎选购商品,商家和用户对交易行为负责。对于医疗器械类产品,请先查证核实企业经营资质和医疗器械产品注册证情况。
文献和实验Lee J et al., J Biol Chem 2018 (PMID:29363574)
Lee J et al., Invest Ophthalmol Vis Sci 2020 (PMID:32721022)
Cytotoxic Tumor Targeting With scFv Antibody-Modified Liposomes
molecules on the liposome surface are maleimides that are linked to phospholipids composing the liposome bilayer membrane. We illustrate the coupling method of a functionalized single-chain antibody fragment with binding specificity to ED-B fibronectin
spreading, we developed a method engaging integrin signaling by use of an immobilized anti-integrin monoclonal antibody (mab) directed against the fibronectin (FN) receptor integrin α5β1. ECV 304 cells were plated onto FN or immobilized mab JBS5 (anti
Anti-GFP/BrdU In Situ Immunostaining
Materials 24 well dishes Millicell 0.4 µm inserts (Millipore PICM01250) - coated with fibronectin Culture medium PBS Fixative: 4% paraformaldehyde in PBS (pH 7.6) Rabbit anti-GFP (Molecular Probes, A-11122) FITC-goat anti-rabbit
技术资料暂无技术资料 索取技术资料






![GOT1 antibody [AT3G11]](https://img1.dxycdn.com/2023/0711/451/6106825198874858761-14.jpg!wh200)
![RBM4B antibody [N2C3]](https://img1.dxycdn.com/2023/0516/407/0466332107306928561-14.jpg!wh200)



