相关产品推荐更多 >
万千商家帮你免费找货
0 人在求购买到急需产品
- 详细信息
- 文献和实验
- 技术资料
- 免疫原:
Purified recombinant fragment of human PBK expressed in E. Coli.
- 亚型:
IgG2b
- 形态:
Liquid
- 保存条件:
Store as concentrated solution. Centrifuge briefly prior to opening vial. For short-term storage (1-2 weeks), store at 4ºC. For long-term storage, aliquot and store at -20ºC or below. Avoid multiple freeze-thaw cycles.
- 克隆性:
Monoclonal
- 标记物:
Unconjugated
- 适应物种:
Human
- 保质期:
12 months from the shipping date of the product.
- 抗原来源:
Human
- 目录编号:
GTX60560
- 级别:
Primary Antibodies
- 库存:
Available
- 供应商:
GeneTex
- 宿主:
Mouse
- 应用范围:
WB, ICC/IF, IHC-P, FACS, ELISA
- 靶点:
PBK
- 抗体英文名:
PBK antibody [2C8]
- 抗体名:
PBK 抗体 [2C8]
- 规格:
100 μl
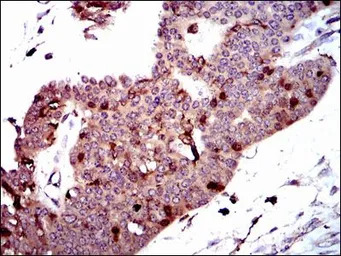
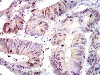
IHC-P analysis of ovarian cancer tissue using GTX60560 PBK antibody [2C8].
WB analysis of A431 cell lysate using GTX60560 PBK antibody [2C8].
IHC-P analysis of colon cancer tissue using GTX60560 PBK antibody [2C8].
WB analysis of human PBK (AA: 50-230) recombinant protein using GTX60560 PBK antibody [2C8].
ELISA analysis of antigen using GTX60560 PBK antibody [2C8].
Black : Control antigen 100ng
Purple : Antigen 10ng
Blue : Antigen 50ng
Red : Antigen 100ng
FACS analysis of HeLa cells using GTX60560 PBK antibody [2C8].
Green : PBK
Red : negative control
ICC/IF analysis of HeLa cells using GTX60560 PBK antibody [2C8].
Green : PBK
Blue: DRAQ5 fluorescent DNA dye
Red: Actin filaments
风险提示:丁香通仅作为第三方平台,为商家信息发布提供平台空间。用户咨询产品时请注意保护个人信息及财产安全,合理判断,谨慎选购商品,商家和用户对交易行为负责。对于医疗器械类产品,请先查证核实企业经营资质和医疗器械产品注册证情况。
文献和实验/sxJPmWG+fFv3AlVqqboV2rbynlezKmpzXlMlFvyYLjho+wkFvLcozBgRZk+Ig1VVpjvMtWZ9U6PbK7kWiYRs2bbQPS4v8pb/5kh01Y6Y999TTlhPRPeHEE+2nP7vR5enu6baL3nGxvfiSbJ1FaBvyeYzG98zTzrSrr75WWmQdS7t8zz332AlvO9ZJP4r1oXLjUZVB9ve+e4X9/T981c6WSckNMsF4x0UXJy8LItDI56Ioj1ZpvRtiyyx6EkNE4M1
Interaction Trap/Two‐Hybrid System to Identify Interacting Proteins
His 2× Laemmli sample buffer (see recipe ) Antibody to LexA or fusion domain H 2 O, sterile
技术资料暂无技术资料 索取技术资料





![SWAP70 antibody [2E9-E8-E9]](https://img1.dxycdn.com/2023/0711/451/6106825198874858761-14.jpg!wh200)



