相关产品推荐更多 >
万千商家帮你免费找货
0 人在求购买到急需产品
- 详细信息
- 文献和实验
- 技术资料
- 免疫原:
Purified recombinant fragment of human MSH6 expressed in E. Coli.
- 亚型:
IgG2a
- 形态:
Liquid
- 保存条件:
Store as concentrated solution. Centrifuge briefly prior to opening vial. For short-term storage (1-2 weeks), store at 4ºC. For long-term storage, aliquot and store at -20ºC or below. Avoid multiple freeze-thaw cycles.
- 克隆性:
Monoclonal
- 标记物:
Unconjugated
- 适应物种:
Human
- 保质期:
12 months from the shipping date of the product.
- 抗原来源:
Human
- 目录编号:
GTX60530
- 级别:
Primary Antibodies
- 库存:
Available
- 供应商:
GeneTex
- 宿主:
Mouse
- 应用范围:
WB, ICC/IF, IHC-P, FACS, ELISA
- 靶点:
MSH6
- 抗体英文名:
MSH6 antibody [3E1]
- 抗体名:
MSH6 抗体 [3E1]
- 规格:
100 μl
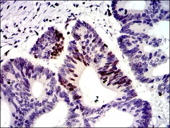
IHC-P analysis of colon cancer tissue using GTX60530 MSH6 antibody [3E1].
ELISA analysis of antigen using GTX60530 MSH6 antibody [3E1].
Black : Control antigen 100ng
Purple : Antigen 10ng
Blue : Antigen 50ng
Red : Antigen 100ng
WB analysis of HEK293 (1), HCT116 (2), A549 (3), A431 (4), MCF-7 (5) and HepG2 (6) cell lysate using GTX60530 MSH6 antibody [3E1].
ICC/IF analysis of HeLa cells using GTX60530 MSH6 antibody [3E1].
Green : MSH6
Blue: DRAQ5 fluorescent DNA dye
Red: Actin filaments
IHC-P analysis of rectum cancer tissue using GTX60530 MSH6 antibody [3E1].
FACS analysis of MCF-7 cells using GTX60530 MSH6 antibody [3E1].
Green : MSH6
Red : negative control
WB analysis of human MSH6 (AA: 217-395) recombinant protein using GTX60530 MSH6 antibody [3E1].
风险提示:丁香通仅作为第三方平台,为商家信息发布提供平台空间。用户咨询产品时请注意保护个人信息及财产安全,合理判断,谨慎选购商品,商家和用户对交易行为负责。对于医疗器械类产品,请先查证核实企业经营资质和医疗器械产品注册证情况。
文献和实验secondary antibody review -- data from 99 publications
cytometry used as a control to detect cell responses targeted antigen 7 Alexa Fluor 488 7 Cy3 8 goat IgG Alexa Fluor 488 1:2000 detect antibody binding in human embryonic kidney 293T cells Invitrogen 9 donkey
Studies of the Ubiquitin Proteasome System
modification; NEDD8; E1; E2; E3
or cellular gene, a protein product of a gene, a polypeptide fragment encoding a specific protein domain, or an RNA molecule can be delivered into a target cell and the functional consequences analyzed. Microinjection can be used to deliver antibody targeted
技术资料暂无技术资料 索取技术资料






![CD28 antibody [YTH913.12] (Biotin)](https://custom.dxycdn.com/trademd/upload/pic/2011/12/14/1323695845.jpg!small.t.1)
![PC4 antibody [04]](https://img1.dxycdn.com/2023/0711/451/6106825198874858761-14.jpg!wh200)

