相关产品推荐更多 >
万千商家帮你免费找货
0 人在求购买到急需产品
- 详细信息
- 文献和实验
- 技术资料
- 免疫原:
Purified recombinant fragment of human MMP9 expressed in E. Coli.
- 亚型:
IgG2a
- 形态:
Liquid
- 保存条件:
Store as concentrated solution. Centrifuge briefly prior to opening vial. For short-term storage (1-2 weeks), store at 4ºC. For long-term storage, aliquot and store at -20ºC or below. Avoid multiple freeze-thaw cycles.
- 克隆性:
Monoclonal
- 标记物:
Unconjugated
- 适应物种:
Human, Mouse
- 保质期:
12 months from the shipping date of the product.
- 抗原来源:
Human
- 目录编号:
GTX60482
- 级别:
Primary Antibodies
- 库存:
Available
- 供应商:
GeneTex
- 宿主:
Mouse
- 应用范围:
WB, ICC/IF, IHC-P, FACS, ELISA
- 靶点:
MMP9
- 抗体英文名:
MMP9 antibody [5G3]
- 抗体名:
MMP9 抗体 [5G3]
- 规格:
100 μl
ICC/IF analysis of NIH3T3 cells using GTX60482 MMP9 antibody [5G3].
Green : MMP9
Blue: DRAQ5 fluorescent DNA dye
Red: Actin filaments
ELISA analysis of antigen using GTX60482 MMP9 antibody [5G3].
Red : Control antigen 100ng
Purple : Antigen 10ng
Green : Antigen 50ng
Blue : Antigen 100ng
FACS analysis of HeLa cells using GTX60482 MMP9 antibody [5G3].
Blue : MMP9
Red : negative control
WB analysis of HEK293 (1), MMP7-hIgGFc transfected HEK293 (2) cell lysate and MMP9-hIgGFc transfected HEK293 (3) cell lysate using GTX60482 MMP9 antibody [5G3].
WB analysis of human MMP9 (AA: 238-465) recombinant protein using GTX60482 MMP9 antibody [5G3].
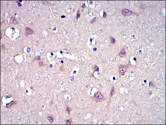
IHC-P analysis of human brain tissue using GTX60482 MMP9 antibody [5G3].
风险提示:丁香通仅作为第三方平台,为商家信息发布提供平台空间。用户咨询产品时请注意保护个人信息及财产安全,合理判断,谨慎选购商品,商家和用户对交易行为负责。对于医疗器械类产品,请先查证核实企业经营资质和医疗器械产品注册证情况。
文献和实验Sun K et al., Oncotarget 2017 (PMID:29296214)
High‐Throughput, Multiplexed Analysis of 3‐Nitrotyrosine in Individual Proteins
. In addition, modifications in single?tissue?associated proteins released into blood can provide insight into the tissue localization of the inflammation or oxidative stress. We have developed an enzyme?linked immunosorbent assay antibody microarray platform
[资源] 所有的看家基因(housekeeping genes)列表+引物设计服务
sapiens replication protein A2, 32kDa (RPA2), mRNA 537 NM_004356 Homo sapiens CD81 antigen (target of antiproliferative antibody 1) (CD81), mRNA 3638 NM_001743 Homo sapiens calmodulin 2 (phosphorylase kinase, delta) (CALM2), mRNA 4675 NM_004231
技术资料暂无技术资料 索取技术资料








