相关产品推荐更多 >
万千商家帮你免费找货
0 人在求购买到急需产品
- 详细信息
- 文献和实验
- 技术资料
- 免疫原:
Purified recombinant fragment of human FYN expressed in E. Coli.
- 亚型:
IgG1
- 形态:
Liquid
- 保存条件:
Store as concentrated solution. Centrifuge briefly prior to opening vial. For short-term storage (1-2 weeks), store at 4ºC. For long-term storage, aliquot and store at -20ºC or below. Avoid multiple freeze-thaw cycles.
- 克隆性:
Monoclonal
- 标记物:
Unconjugated
- 适应物种:
Human
- 保质期:
12 months from the shipping date of the product.
- 抗原来源:
Human
- 目录编号:
GTX60460
- 级别:
Primary Antibodies
- 库存:
Available
- 供应商:
GeneTex
- 宿主:
Mouse
- 应用范围:
WB, ICC/IF, IHC-P, FACS, ELISA
- 靶点:
FYN
- 抗体英文名:
FYN antibody [2A10]
- 抗体名:
FYN 抗体 [2A10]
- 规格:
100 μl
WB analysis of human FYN (AA: 7-176) recombinant protein using GTX60460 FYN antibody [2A10].
ICC/IF analysis of U251 cells using GTX60460 FYN antibody [2A10].
Green : FYN
Blue: DRAQ5 fluorescent DNA dye
Red: Actin filaments
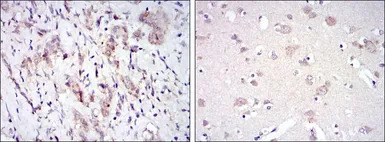
IHC-P analysis of breast cancer tissue (left) and brain tissue (right) using GTX60460 FYN antibody [2A10].
FACS analysis of HeLa cells using GTX60460 FYN antibody [2A10].
Green : FYN
Purple : negative control
ELISA analysis of antigen using GTX60460 FYN antibody [2A10].
Red : Control antigen 100ng
Purple : Antigen 10ng
Green : Antigen 50ng
Blue : Antigen 100ng
风险提示:丁香通仅作为第三方平台,为商家信息发布提供平台空间。用户咨询产品时请注意保护个人信息及财产安全,合理判断,谨慎选购商品,商家和用户对交易行为负责。对于医疗器械类产品,请先查证核实企业经营资质和医疗器械产品注册证情况。
文献和实验V294.PART II,Chapter 2 Boyden法体外趋化试验
of an inhibitor that is specificfor an intracellular signaling molecule or a functional blocking antibody that isspecific to a cell surface protein on cell motility by adding it to the upper chamber,in which cells are loaded. Actually, this type of experiment
,与TCR共价连接,肿瘤患者T细胞CD3分子的z链常常表达下降,且信号传导过程中涉及到的p56lck和p59fyn等分子的表达也会出现异常,这都会导致T细胞的活化障碍。这种T细胞障碍在体外用CD3和CD28分子的单抗以及IL-2刺激,可以使之恢复。 3、抑制性T细胞(Ts):目前尚无证据表明Ts是T细胞的亚类。以前认为Ts属于CD8+T细胞,目前对抑制性T细胞的认识有所变化,也更加复杂化。它既可以是CD8+T细胞也可来自CD4+T细胞。一些Ts作用是抗原非特异性的,如CD4+Th1和Th2辅助
技术资料暂无技术资料 索取技术资料






![KDM3A antibody [2E1]](https://img1.dxycdn.com/2023/0711/451/6106825198874858761-14.jpg!wh200)


