相关产品推荐更多 >
万千商家帮你免费找货
0 人在求购买到急需产品
- 详细信息
- 文献和实验
- 技术资料
- 免疫原:
Purified recombinant fragment of human CREB1 expressed in E. Coli.
- 亚型:
IgG1
- 形态:
Liquid
- 保存条件:
Store as concentrated solution. Centrifuge briefly prior to opening vial. For short-term storage (1-2 weeks), store at 4ºC. For long-term storage, aliquot and store at -20ºC or below. Avoid multiple freeze-thaw cycles.
- 克隆性:
Monoclonal
- 标记物:
Unconjugated
- 适应物种:
Human, Mouse, Rat, Monkey
- 保质期:
12 months from the shipping date of the product.
- 抗原来源:
Human
- 目录编号:
GTX60431
- 级别:
Primary Antibodies
- 库存:
Available
- 供应商:
GeneTex
- 宿主:
Mouse
- 应用范围:
WB, ICC/IF, IHC-P, ELISA
- 靶点:
CREB
- 抗体英文名:
CREB antibody [5G3]
- 抗体名:
CREB 抗体 [5G3]
- 规格:
100 μl
WB analysis of K562 (1), Jurkat (2), L1210 (3), HEK293 (4), A431 (5), HeLa (6), Cos7 (7), PC-12 (8), and NIH3T3 (9) cell lysate using GTX60431 CREB antibody [5G3].
ELISA analysis of antigen using GTX60431 CREB antibody [5G3].
Red : Control antigen 100ng
Purple : Antigen 10ng
Green : Antigen 50ng
Blue : Antigen 100ng
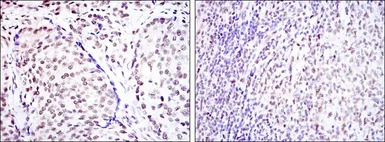
IHC-P analysis of prostate cancer tissue (left) and submaxillary tumor tissue (right) using GTX60431 CREB antibody [5G3].
ICC/IF analysis of HeLa cells using GTX60431 CREB antibody [5G3].
Green : CREB
Red: Actin filaments
风险提示:丁香通仅作为第三方平台,为商家信息发布提供平台空间。用户咨询产品时请注意保护个人信息及财产安全,合理判断,谨慎选购商品,商家和用户对交易行为负责。对于医疗器械类产品,请先查证核实企业经营资质和医疗器械产品注册证情况。
文献和实验antibody. For antiphosphoCREB (IgG, 0.7 mg/ml), I use 1:5,000 - 1:20,000 dilution in 4% BSA in TBST. This should be titrated for optimal results. I incubate with primary Ab 3 hours - overnight at room temp with shaking.10. Remove the antibody solution
% nonfat dry milk works well for anti-PCREB, but in my hands milk is not as good as BSA from USB (it seems to mask the epitope). Remove block solution and add primary antibody. For antiphosphoCREB (IgG, 0.7 mg/ml), I use 1:5,000
secondary antibody review -- data from 99 publications
cytometry used as a control to detect cell responses targeted antigen 7 Alexa Fluor 488 7 Cy3 8 goat IgG Alexa Fluor 488 1:2000 detect antibody binding in human embryonic kidney 293T cells Invitrogen 9 donkey
技术资料暂无技术资料 索取技术资料






![SEMA6A antibody [N2C1], Internal](https://custom.dxycdn.com/trademd/upload/pic/2011/12/20/1324016002.jpg!small.t.1)
![TENR antibody [N1C1]](https://img1.dxycdn.com/2023/0516/045/6925717576889828561-14.jpg!wh200)
![C15orf40 antibody [1D9]](https://img1.dxycdn.com/2023/0711/451/6106825198874858761-14.jpg!wh200)
