相关产品推荐更多 >
万千商家帮你免费找货
0 人在求购买到急需产品
- 详细信息
- 文献和实验
- 技术资料
- 免疫原:
Purified recombinant fragment of human PRKAA1 expressed in E. Coli.
- 亚型:
IgG1
- 形态:
Liquid
- 保存条件:
Store as concentrated solution. Centrifuge briefly prior to opening vial. For short-term storage (1-2 weeks), store at 4ºC. For long-term storage, aliquot and store at -20ºC or below. Avoid multiple freeze-thaw cycles.
- 克隆性:
Monoclonal
- 标记物:
Unconjugated
- 适应物种:
Human, Mouse, Rat, Monkey
- 保质期:
12 months from the shipping date of the product.
- 抗原来源:
Human
- 目录编号:
GTX60403
- 级别:
Primary Antibodies
- 库存:
Available
- 供应商:
GeneTex
- 宿主:
Mouse
- 应用范围:
WB, ICC/IF, IHC-P, FACS, ELISA
- 靶点:
AMPK alpha 1
- 抗体英文名:
AMPK alpha 1 antibody [2B7]
- 抗体名:
AMPK alpha 1 抗体 [2B7]
- 规格:
100 μl
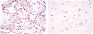
IHC-P analysis of ovarian cancer (left) and brain tissue (right) using GTX60403 AMPK alpha 1 antibody [2B7].
FACS analysis of PC-2 cells using GTX60403 AMPK alpha 1 antibody [2B7].
Green : AMPK alpha 1
Purple : negative control
ELISA analysis of antigen using GTX60403 AMPK alpha 1 antibody [2B7].
Red : Control antigen 100ng
Purple : Antigen 10ng
Green : Antigen 50ng
Blue : Antigen 100ng
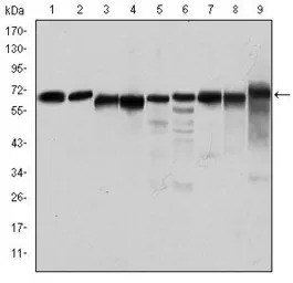
WB analysis of Jurkat (1), Hela (2), HepG2 (3), MCF-7 (4), Cos7 (5), NIH-3T3 (6), K562 (7), HEK293 (8), and PC-12 (9) cell lysate using GTX60403 AMPK alpha 1 antibody [2B7].
ICC/IF analysis of NTERA-2 cells using GTX60403 AMPK alpha 1 antibody [2B7].
Green : AMPK alpha 1
Blue: DRAQ5 fluorescent DNA dye
Red: Actin filaments
风险提示:丁香通仅作为第三方平台,为商家信息发布提供平台空间。用户咨询产品时请注意保护个人信息及财产安全,合理判断,谨慎选购商品,商家和用户对交易行为负责。对于医疗器械类产品,请先查证核实企业经营资质和医疗器械产品注册证情况。
文献和实验Wang H et al., Free Radic Biol Med 2018 (PMID:29753072)
Wan-Ping Su et al., Biomed Pharmacother 2023 (PMID:37196543)
Gao J et al., Redox Biol 2019 (PMID:31669973)
-l1-antibody-ya4674.html 兔来源、无偶联标记、抗 PD-L1 的 IgG 单克隆抗体。 Estrogen Receptor alpha Antibody (YA450) (HY-P80663) www.medchemexpress.cn/antibody/estrogen-receptor-alpha-rabbit-mab.html 兔来源、无偶联标记、抗 Estrogen Receptor alpha 的 IgG 单克隆抗体 CDX2 Antibody (YA3498
Determining In Vivo Phosphorylation Sites Using Mass Spectrometry
or TiO2 , and LC?MS/MS. Alternatively, the protein lysate can be fractionated by SDS?PAGE, followed by digestion, phosphopeptide enrichment, and LC?MS/MS. One can also immunoprecipitate only phosphotyrosine peptides using a pTyr antibody followed by LC
技术资料暂无技术资料 索取技术资料





![Cyclin B1 antibody [SPM619]](https://img1.dxycdn.com/2023/0711/451/6106825198874858761-14.jpg!wh200)
![TCP1 eta antibody [C1C3]](https://img1.dxycdn.com/2023/0711/255/2344116916935858761-14.jpg!wh200)


