相关产品推荐更多 >
万千商家帮你免费找货
0 人在求购买到急需产品
- 详细信息
- 文献和实验
- 技术资料
- 免疫原:
KLH-conjugated synthetic peptide encompassing a sequence within the C-term region of ABL. The exact sequence is proprietary.
- 亚型:
IgG
- 形态:
Liquid
- 保存条件:
Store as concentrated solution. Centrifuge briefly prior to opening vial. For short-term storage (1-2 weeks), store at 4ºC. For long-term storage, aliquot and store at -20ºC or below. Avoid multiple freeze-thaw cycles.
- 克隆性:
Polyclonal
- 标记物:
Unconjugated
- 适应物种:
Human, Mouse, Rat
- 保质期:
12 months from the shipping date of the product.
- 抗原来源:
Human
- 目录编号:
GTX54914
- 级别:
Primary Antibodies
- 库存:
Available
- 供应商:
GeneTex
- 宿主:
Rabbit
- 应用范围:
WB, IHC-P
- 浓度:
Batch dependent (Please refer to the vial label for the specific concentration.)
- 靶点:
ABL
- 抗体英文名:
ABL antibody
- 抗体名:
ABL 抗体
- 规格:
100 μl
WB analysis of HeLa (A), HEK293T (B), Raw264.7 (C), PC12 (D) whole cell lysates using GTX54914 ABL antibody.
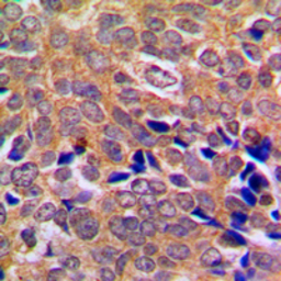
IHC-P analysis of formalin fixed human breast cancer tissue section using GTX54914 ABL antibody.
Antigen retrieval : Heat mediated antigen retrieval with sodium citrate buffer (pH 6.0)
风险提示:丁香通仅作为第三方平台,为商家信息发布提供平台空间。用户咨询产品时请注意保护个人信息及财产安全,合理判断,谨慎选购商品,商家和用户对交易行为负责。对于医疗器械类产品,请先查证核实企业经营资质和医疗器械产品注册证情况。
文献和实验Fluorescence In Situ Hybridization for BCR-ABL
The BCR-ABL fusion gene arises as a result of a reciprocal translocation between chromosomes 9 and 22, resulting in the so-called Philadelphia (Ph) chromosome (a minute chromosome 22), which is found in 95% of cases of chronic myeloid
The use of oligodeoxynucleotides (ODN) to disrupt gene function has been studied in a variety of in vitro and in vivo systems (1 –14 ). Antigene, antisense, ribozyme, and aptamer nucleic acid molecules have been shown in numerous model
Detection of BCR-ABL Mutations and Resistance to Imatinib Mesylate
The major mechanism of imatinib resistance for patients with chronic myeloid leukemia (CML) is clonal expansion of leukemic cells with mutations in the Bcr-Abl fusion tyrosine kinase that reduce the capacity of imatinib to inhibit kinase
技术资料暂无技术资料 索取技术资料





![CD55 antibody [N1C2]](https://img1.dxycdn.com/2023/0711/255/2344116916935858761-14.jpg!wh200)
![p130Cas antibody [GT331]](https://img1.dxycdn.com/2023/0711/451/6106825198874858761-14.jpg!wh200)

