相关产品推荐更多 >
万千商家帮你免费找货
0 人在求购买到急需产品
- 详细信息
- 文献和实验
- 技术资料
- 免疫原:
A synthetic phosphorylated peptide around S276 of human RELA (NP_068810.3).
- 亚型:
IgG
- 形态:
Liquid
- 保存条件:
Store as concentrated solution. Centrifuge briefly prior to opening vial. For short-term storage (1-2 weeks), store at 4ºC. For long-term storage, aliquot and store at -20ºC or below. Avoid multiple freeze-thaw cycles.
- 克隆性:
Polyclonal
- 标记物:
Unconjugated
- 适应物种:
Human, Mouse, Rat
- 保质期:
12 months from the shipping date of the product.
- 抗原来源:
Human
- 目录编号:
GTX54672
- 级别:
Primary Antibodies
- 库存:
Available
- 供应商:
GeneTex
- 宿主:
Rabbit
- 应用范围:
WB, ICC/IF, IHC-P
- 浓度:
Batch dependent (Please refer to the vial label for the specific concentration.)
- 靶点:
NFkB p65 (phospho Ser276)
- 抗体英文名:
NFkB p65 (phospho Ser276) antibody
- 抗体名:
NFkB p65 (phospho Ser276) 抗体
- 规格:
100 μl
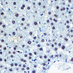
IHC-P analysis of rat liver tissue using GTX54672 NFkB p65 (phospho Ser276) antibody.
Dilution : 1:100
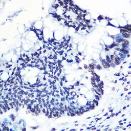
IHC-P analysis of human colon carcinoma tissue using GTX54672 NFkB p65 (phospho Ser276) antibody.
Dilution : 1:100
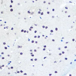
IHC-P analysis of mouse brain tissue using GTX54672 NFkB p65 (phospho Ser276) antibody.
Dilution : 1:100
WB analysis of HeLa cells, NIH/3T3, and C6 cells treated by TNF-α (20 ng/ml) at 37ºC for 30 minutes and HeLa cells treated by Calyculin A (100 nM) at 37ºC for 30 minutes after serum-starvation overnight using GTX54672 NFkB p65 (phospho Ser276) antibody.
Dilution : 1:1000
Loading : 25μg per lane
ICC/IF analysis of U2OS cells using GTX54672 NFkB p65 (phospho Ser276) antibody.
Blue : DAPI
Dilution : 1:100
风险提示:丁香通仅作为第三方平台,为商家信息发布提供平台空间。用户咨询产品时请注意保护个人信息及财产安全,合理判断,谨慎选购商品,商家和用户对交易行为负责。对于医疗器械类产品,请先查证核实企业经营资质和医疗器械产品注册证情况。
文献和实验Salama RM et al., Arch Pharm Res 2023 (PMID:36959348)
Abbas H et al., Pharmaceutics 2022 (PMID:36297441)
Zewail M et al., Pharmaceuticals (Basel) 2022 (PMID:36678533)
Mohamed ME et al., Pharmaceuticals (Basel) 2022 (PMID:36297382)
Chen MZ et al., Int J Mol Sci 2022 (PMID:36012669)
Yonghong Liu et al., Front Cell Dev Biol 2020 (PMID:33425898)
Wang Y et al., Aging (Albany NY) 2020 (PMID:33099539)
Abdelkader NF et al., Biomed Pharmacother 2022 (PMID:34775239)
【求助】于NF-KB 激活,P65磷酸化位点是ser536还是ser276?
激活。所以蛋白的磷酸化或去磷酸化不是简单的孤立现象,它始终与细胞信号转导有关系。最终将达到细胞增殖、分化、激活等功能的实现。 magichunter 楼上回答的是什么啊?人家问的是:于NF-KB 激活,P65磷酸化位点是ser536还是ser276? 你也没回答到底是哪个啊? 伽利略 chenlydd wrote: 我认为蛋白的磷酸化与其功能有关系。蛋白可被磷酸化,也可被去磷
sakura042 本新手欲研究nfkb引起内皮细胞凋亡的机制:是否通过jnk通路。 这是否是一个信号通路串话的问题? 我们用特异性抑制剂阻断nfkb后发现jnk活性下降,是否就能说明nfkb促进内皮细胞凋亡是通过jnk通路呢?还需要再阻断或者过表达jnk通路来反证吗? 这个问题困扰了我好久,请教各位高手。 sakura042 自己顶一下 三叶虫 请问一下
【求助】矛盾的实验结果:IKb alpha和NFKB同时升高
吴佰霖 我的基因过表达,结合文献,推理应该是IKb alpha下降,而NFKB升高 (IKb可磷酸化NFKB,使后者降低) 但现在我的结果是两者同时升高,请问可能的原因有哪些呢? 谢谢 woxingwosu 可否检测一下NFKB的磷酸化情况? erik NFKB是检测核内的吗?检测p65还是p50/ 吴佰霖 检测总蛋白
技术资料暂无技术资料 索取技术资料







![CD11a antibody [WT.1]](https://custom.dxycdn.com/trademd/upload/pic/2011/12/14/1323695845.jpg!small.t.1)


