相关产品推荐更多 >
万千商家帮你免费找货
0 人在求购买到急需产品
- 详细信息
- 文献和实验
- 技术资料
- 免疫原:
KLH conjugated synthetic peptide between 333-361 amino acids from the C-terminal region of mouse Csnk1g3.
- 亚型:
IgG
- 形态:
Liquid
- 保存条件:
Store as concentrated solution. Centrifuge briefly prior to opening vial. For short-term storage (1-2 weeks), store at 4ºC. For long-term storage, aliquot and store at -20ºC or below. Avoid multiple freeze-thaw cycles.
- 克隆性:
Polyclonal
- 标记物:
Unconjugated
- 适应物种:
Mouse
- 保质期:
12 months from the shipping date of the product.
- 抗原来源:
Mouse
- 目录编号:
GTX53489
- 级别:
Primary Antibodies
- 库存:
Available
- 供应商:
GeneTex
- 宿主:
Rabbit
- 应用范围:
WB, IHC-P, FACS
- 浓度:
Batch dependent (Please refer to the vial label for the specific concentration.)
- 靶点:
Casein Kinase I gamma 3
- 抗体英文名:
Casein Kinase I gamma 3 antibody
- 抗体名:
Casein Kinase I gamma 3 抗体
- 规格:
400 μl
FACS analysis of NIH3T3 cells using GTX53489 Casein Kinase I gamma 3 antibody.
Green : Casein Kinase I gamma 3
Blue : Isotype control
Dilution : 1:25
WB analysis of mouse kidney and liver tissue lysate using GTX53489 Casein Kinase I gamma 3 antibody.
Loading : 35ug per lane
Dilution : 1:1000
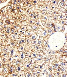
IHC-P analysis of mouse liver tissue using GTX53489 Casein Kinase I gamma 3 antibody.
Dilution : 1:25
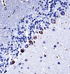
IHC-P analysis of mouse cerebellum tissue using GTX53489 Casein Kinase I gamma 3 antibody.
风险提示:丁香通仅作为第三方平台,为商家信息发布提供平台空间。用户咨询产品时请注意保护个人信息及财产安全,合理判断,谨慎选购商品,商家和用户对交易行为负责。对于医疗器械类产品,请先查证核实企业经营资质和医疗器械产品注册证情况。
文献和实验PROTOCOL To 1.5 mL eppendorf tubes add: 200 µg of protein extract (see Western blot protocol for protein sample preps) q.s. to 300 µL with RIPA (with protease and phosphatase inhibitors). Primary antibody (amount determined
Immunoprecipitation and Immune Complex kinase assay
---------------------------------------------------------------------------- KINASE ASSAY 1) Resuspend pellets in 10 microliters of kinase buffer (40 mM PIPES, pH 7.0; 10 mM MnCl2). Keep samples on ice until use. 2) Make up a ATP mix such that you have 2 or 10 microcuries of gamma-[32P] ATP
Immunoprecipitation and Immune Complex kinase assay--according to Tamara Hurley
of kinase buffer (40 mM PIPES,pH 7.0; 10 mM MnCl2).Keep samples on ice until use. 2)Make up a ATP mix such that you have 2 or 10 microcuries of gamma-[32P] ATP per 10 microliters KB.When using an exogenous substrate such as enolase,add the substrate
技术资料暂无技术资料 索取技术资料





![CD27 antibody [LPFS2/2034R]](https://img1.dxycdn.com/2023/0711/451/6106825198874858761-14.jpg!wh200)
![TRH Receptor antibody [C2C3], C-term](https://img1.dxycdn.com/2023/0516/895/8887749495766728561-14.jpg!wh200)
![VAM1 antibody [N1], N-term](https://img1.dxycdn.com/2023/0516/045/6925717576889828561-14.jpg!wh200)


