相关产品推荐更多 >
万千商家帮你免费找货
0 人在求购买到急需产品
- 详细信息
- 文献和实验
- 技术资料
- 免疫原:
Mouse Thymus and Spleen Tissues
- 亚型:
IgG2
- 形态:
Liquid
- 保存条件:
Store as concentrated solution. Centrifuge briefly prior to opening vial. For short-term storage (1-2 weeks), store at 4ºC. For long-term storage, aliquot and store at -20ºC or below. Avoid multiple freeze-thaw cycles.
- 克隆性:
Monoclonal
- 标记物:
Unconjugated
- 适应物种:
Mouse
- 保质期:
12 months from the shipping date of the product.
- 抗原来源:
Mouse
- 目录编号:
GTX53126
- 级别:
Primary Antibodies
- 库存:
Available
- 供应商:
GeneTex
- 宿主:
Rat
- 应用范围:
IHC-P, FACS
- 浓度:
500 μg/ml (Please refer to the vial label for the specific concentration.)
- 靶点:
CD8 alpha
- 抗体英文名:
CD8 alpha antibody [MAB0708]
- 抗体名:
CD8 alpha 抗体 [MAB0708]
- 规格:
100 μg
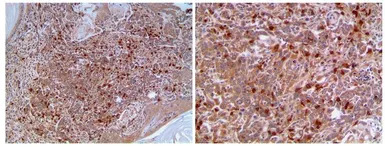
IHC-P analysis of formalin fixed mouse tumor tissue section using GTX53126 CD8 alpha antibody [MAB0708].
风险提示:丁香通仅作为第三方平台,为商家信息发布提供平台空间。用户咨询产品时请注意保护个人信息及财产安全,合理判断,谨慎选购商品,商家和用户对交易行为负责。对于医疗器械类产品,请先查证核实企业经营资质和医疗器械产品注册证情况。
文献和实验Huang CP et al., Cancer Immunol Immunother 2020 (PMID:33156394)
Song DJ et al., J Immunol 2017 (PMID:28827284)
Diagnostic Application of Monoclonal Antibody (MAb)-Based Sandwich ELISAs
diagnosis of both human and animal bacterial and mycoplasmal disease, but similar assays for the diagnostic detection of antigen rather than antibody are not as commonly used. Although many antigen-capture or sandwich ELISAs have been developed
1. Materials(1) Antibody 7E3, 2L sup grown in flasks, frozen and thawed overnight.(2) BioRad Affi-Gel Protein A MAPS II Buffers cat. #1530-6160 ($161.00)(3) 50 mM Tris pH7.8.(4) 40 g ammonium sulfate for every 100 ml Sup.(5) 4L 100 mM Tris/pH
Purification of Immature CD4+CD8+ Thymocytes by Panning with Anti-CD8 Antibody
Most T lymphocytes of the immune system differentiate within the thymus along the CD4/CD8 developmental pathway by a highly ordered process termed thymic selection ( 1 , 2 ). The maturation status of thymocytes is commonly assessed
技术资料暂无技术资料 索取技术资料





![CERD4 antibody [N1C1]](https://img1.dxycdn.com/2023/0711/255/2344116916935858761-14.jpg!wh200)
![FN3KRP antibody [N1C2]](https://img1.dxycdn.com/2023/0516/895/8887749495766728561-14.jpg!wh200)
