相关产品推荐更多 >
万千商家帮你免费找货
0 人在求购买到急需产品
- 详细信息
- 文献和实验
- 技术资料
- 免疫原:
Recombinant BMP RII extra cellular domain
- 亚型:
IgG1
- 形态:
Liquid
- 保存条件:
Store as concentrated solution. Centrifuge briefly prior to opening vial. For short-term storage (1-2 weeks), store at 4ºC. For long-term storage, aliquot and store at -20ºC or below. Avoid multiple freeze-thaw cycles.
- 克隆性:
Monoclonal
- 标记物:
Unconjugated
- 适应物种:
Human
- 保质期:
12 months from the shipping date of the product.
- 抗原来源:
Human
- 目录编号:
GTX52511
- 级别:
Primary Antibodies
- 库存:
Available
- 供应商:
GeneTex
- 宿主:
Mouse
- 应用范围:
WB, IHC-P
- 浓度:
200 μg/ml (Please refer to the vial label for the specific concentration.)
- 靶点:
This antibody was selected for its ability to detect human BMPR2. No cross reactivity was found to BMP R1A and R1B.
- 抗体英文名:
BMPR2 antibody [9A10]
- 抗体名:
BMPR2 抗体 [9A10]
- 规格:
100 μg
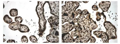
IHC-P analysis of formalin fixed human placenta tissue using GTX52511 BMPR2 antibody [9A10].
风险提示:丁香通仅作为第三方平台,为商家信息发布提供平台空间。用户咨询产品时请注意保护个人信息及财产安全,合理判断,谨慎选购商品,商家和用户对交易行为负责。对于医疗器械类产品,请先查证核实企业经营资质和医疗器械产品注册证情况。
文献和实验中科院高福院士课题组 2020 年发表了哪些重要的研究成果?
抗体的主要靶标。2020 年 3 月 11 日,高福院士联合逯光文在 Cell Host & Microbe 发文:Structural Analysis of Rabies Virus Glycoprotein Reveals pH-Dependent Conformational Changes and Interactions with a Neutralizing Antibody。该研究报告了狂犬病毒 RABV-G 的晶体结构,分别在〜pH-8.0 时以游离形式和在〜pH-6.5 时与中和
这是项什么神仙技术!Cell 封面文章揭示首个能自动检测癌细胞转移的新策略
瘤和扩散肿瘤细胞的成像技术,以及快速准确地量化大规模成像数据的算法,使得相关研究一直难以有突破性成果。2019 年 12 月 12 日,德国亥姆霍兹慕尼黑研究中心 - 组织工程与再生医学研究所的 Chenchen Pan 等 1 在 Cell 杂志上发表题为《Deep Learning Reveals Cancer Metastasis and Therapeutic Antibody Targeting in the Entire Body》的文章。该研究基于深度学习开发的新型算法 ——
Enzyme-Linked ImmunoSorbent Assay (ELISA) for NGF
A. DAY 1 PROCEDURE• ABSORPTION OF THE POLYCLONAL AND PREIMMUNE SERUMThe Goat Anti-Mouse (GAM) NGF polyclonal antibody recognizes 2.5B NGF and the Goat IgG (GIG) preimmune serum serves as a control for the antibody (Hazleton). The relative signal
技术资料暂无技术资料 索取技术资料







![alpha 1 Antichymotrypsin antibody [801]](https://custom.dxycdn.com/trademd/upload/pic/2011/12/14/1323695845.jpg!small.t.1)

