相关产品推荐更多 >
万千商家帮你免费找货
0 人在求购买到急需产品
- 详细信息
- 文献和实验
- 技术资料
- 免疫原:
Extracellular domain of Human VECadherin recombinant protein
- 亚型:
IgG1
- 形态:
Liquid
- 保存条件:
Store as concentrated solution. Centrifuge briefly prior to opening vial. For short-term storage (1-2 weeks), store at 4ºC. For long-term storage, aliquot and store at -20ºC or below. Avoid multiple freeze-thaw cycles.
- 克隆性:
Monoclonal
- 标记物:
Unconjugated
- 适应物种:
Human
- 保质期:
12 months from the shipping date of the product.
- 抗原来源:
Human
- 目录编号:
GTX52465
- 级别:
Primary Antibodies
- 库存:
Available
- 供应商:
GeneTex
- 宿主:
Mouse
- 应用范围:
WB, IHC-P, ELISA
- 浓度:
200 μg/ml (Please refer to the vial label for the specific concentration.)
- 靶点:
In western blots this antibody shows no cross-reactivity with E-Cadherin, and P-Cadherin.
- 抗体英文名:
VE-Cadherin antibody [8A03]
- 抗体名:
VE-Cadherin 抗体 [8A03]
- 规格:
100 μg
WB analysis of HUVECs cell lysates using GTX52465 VE-Cadherin antibody [8A03].
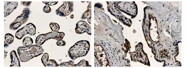
IHC-P analysis of formalin fixed human placenta tissue using GTX52465 VE-Cadherin antibody [8A03].
风险提示:丁香通仅作为第三方平台,为商家信息发布提供平台空间。用户咨询产品时请注意保护个人信息及财产安全,合理判断,谨慎选购商品,商家和用户对交易行为负责。对于医疗器械类产品,请先查证核实企业经营资质和医疗器械产品注册证情况。
文献和实验against cholera vibrios could transfer immunity to na�ve animals, and also kill the bacteria in vitro (1 ). However, although antitoxin antibodies rapidly found clinical application, there was little understanding regarding the nature of the antibody molecule
Construction of Semisynthetic Antibody Libraries
ve B-cell repertoires (3 –6 ), germline sequences (7 ) or immunized donors (8 ), it is also possible to make use of the available information on antibody structure to generate diversity by including short stretches of random sequences in carefully
Protocol for anti-HA antibody Western Blotting
) 5) Incubate in primary antibody solution: I use PBS with 0.1% TWEEN-20 plus 5% BSA as the basic solution, but you can use TBS too. I dilute the HA antibody 1:5000, just to be sure you will see a signal. I haven't EVER seen appreciable background. I've
技术资料暂无技术资料 索取技术资料






![FOXC2 antibody [1D11C8]](https://img1.dxycdn.com/2023/0711/451/6106825198874858761-14.jpg!wh200)


